ARG45644
anti-NDE1 antibody
anti-NDE1 antibody for Flow cytometry,IHC-Formalin-fixed paraffin-embedded sections,Western blot and Human
概述
| 产品描述 | Rabbit Polyclonal antibody recognizes NDE1 |
|---|---|
| 反应物种 | Hu |
| 应用 | FACS, IHC-P, WB |
| 宿主 | Rabbit |
| 克隆 | Polyclonal |
| 同位型 | IgG |
| 靶点名称 | NDE1 |
| 抗原物种 | Human |
| 抗原 | Recombinant protein containing to human NDE1. |
| 偶联标记 | Un-conjugated |
| 別名 | NDE1; NudE Neurodevelopment Protein 1; NudE; NDE; Nuclear Distribution Protein NudE Homolog 1; FLJ20101; NudE Nuclear Distribution Gene E Homolog 1 (A. Nidulans); NudE Nuclear Distribution E Homolog 1 (A. Nidulans); LIS1-Interacting Protein NUDE1, Rat Homolog; Epididymis Secretory Sperm Binding Protein; NudE Nuclear Distribution Gene E Homolog 1; NudE Nuclear Distribution E Homolog 1; HOM-TES-87; NUDE1; LIS4; MHAC; NUDE |
应用说明
| 应用建议 |
|
||||||||
|---|---|---|---|---|---|---|---|---|---|
| 应用说明 | * The dilutions indicate recommended starting dilutions and the optimal dilutions or concentrations should be determined by the scientist. | ||||||||
| 实际分子量 | 38 kDa |
属性
| 形式 | Liquid |
|---|---|
| 纯化 | Affinity purified |
| 缓冲液 | 0.2% Na2HPO4, 0.9% NaCl and 4% Trehalose. |
| 稳定剂 | 4% Trehalose |
| 浓度 | 0.5 mg/ml |
| 存放说明 | For continuous use, store undiluted antibody at 2-8°C for up to a week. For long-term storage, aliquot and store at -20°C or below. Storage in frost free freezers is not recommended. Avoid repeated freeze/thaw cycles. Suggest spin the vial prior to opening. The antibody solution should be gently mixed before use. |
| 注意事项 | For laboratory research only, not for drug, diagnostic or other use. |
生物信息
| 数据库连接 |
Swiss-port # Q9NXR1 Human Nuclear distribution protein nudE homolog 1 |
|---|---|
| 基因名称 | NDE1 |
| 全名 | NudE Neurodevelopment Protein 1 |
| 背景介绍 | This gene encodes a member of the nuclear distribution E (NudE) family of proteins. The encoded protein is localized at the centrosome and interacts with other centrosome components as part of a multiprotein complex that regulates dynein function. This protein plays an essential role in microtubule organization, mitosis and neuronal migration. Mutations in this gene cause lissencephaly 4, a disorder characterized by lissencephaly, severe brain atrophy, microcephaly, and severe cognitive disability. Alternative splicing results in multiple transcript variants. [provided by RefSeq, Mar 2012] |
| 生物功能 | Required for centrosome duplication and formation and function of the mitotic spindle. Essential for the development of the cerebral cortex. May regulate the production of neurons by controlling the orientation of the mitotic spindle during division of cortical neuronal progenitors of the proliferative ventricular zone of the brain. Orientation of the division plane perpendicular to the layers of the cortex gives rise to two proliferative neuronal progenitors whereas parallel orientation of the division plane yields one proliferative neuronal progenitor and a post-mitotic neuron. A premature shift towards a neuronal fate within the progenitor population may result in an overall reduction in the final number of neurons and an increase in the number of neurons in the deeper layers of the cortex. [UniProt] |
| 细胞定位 | Centromere; Chromosome; Cytoplasm; Cytoskeleton; Kinetochore; Microtubule. [UniProt] |
| 预测分子量 | 38 kDa |
| 翻译后修饰 | Lipoprotein; Palmitate; Phosphoprotein. [UniProt] |
检测图片 (3) Click the Picture to Zoom In
-
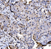
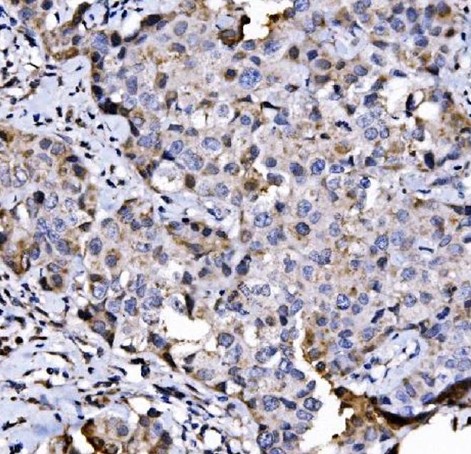
ARG45644 anti-NDE1 antibody IHC-P image
Immunohistochemistry: Human breast cancer stained with ARG45644 anti-NDE1 antibody at 2 μg/ml dilution.
-
ARG45644 anti-NDE1 antibody WB image
Western blot: Hela stained with ARG45644 anti-NDE1 antibody at 0.5 μg/ml dilution.
-
ARG45644 anti-NDE1 antibody FACS image
Flow Cytometry: A549 stained with ARG45644 anti-NDE1 antibody at 1 µg/10^6 cells dilution.
