ARG66556
anti-NCF2 / p67phox antibody
anti-NCF2 / p67phox antibody for ICC/IF,IHC-Formalin-fixed paraffin-embedded sections,Western blot and Human,Mouse
概述
| 产品描述 | Rabbit Polyclonal antibody recognizes NCF2 / p67phox |
|---|---|
| 反应物种 | Hu, Ms |
| 应用 | ICC/IF, IHC-P, WB |
| 宿主 | Rabbit |
| 克隆 | Polyclonal |
| 同位型 | IgG |
| 靶点名称 | NCF2 / p67phox |
| 抗原物种 | Human |
| 抗原 | Recombinant full length protein of Human p67 phox. |
| 偶联标记 | Un-conjugated |
| 別名 | p67-phox; P67-PHOX; NADPH oxidase activator 2; 67 kDa neutrophil oxidase factor; Neutrophil NADPH oxidase factor 2; P67PHOX; Neutrophil cytosol factor 2; NCF-2; NOXA2 |
应用说明
| 应用建议 |
|
||||||||
|---|---|---|---|---|---|---|---|---|---|
| 应用说明 | IHC-P: Antigen Retrieval: Heat mediation was performed in Sodium citrate buffer (pH 6.0). * The dilutions indicate recommended starting dilutions and the optimal dilutions or concentrations should be determined by the scientist. |
||||||||
| 实际分子量 | 68 kDa |
属性
| 形式 | Liquid |
|---|---|
| 纯化 | Affinity purification with immunogen. |
| 缓冲液 | 0.42% Potassium phosphate (pH 7.3), 0.87% NaCl, 0.01% Sodium azide and 30% Glycerol. |
| 抗菌剂 | 0.01% Sodium azide |
| 稳定剂 | 30% Glycerol |
| 存放说明 | For continuous use, store undiluted antibody at 2-8°C for up to a week. For long-term storage, aliquot and store at -20°C. Storage in frost free freezers is not recommended. Avoid repeated freeze/thaw cycles. Suggest spin the vial prior to opening. The antibody solution should be gently mixed before use. |
| 注意事项 | For laboratory research only, not for drug, diagnostic or other use. |
生物信息
| 数据库连接 | |
|---|---|
| 基因名称 | NCF2 |
| 全名 | neutrophil cytosolic factor 2 |
| 背景介绍 | This gene encodes neutrophil cytosolic factor 2, the 67-kilodalton cytosolic subunit of the multi-protein NADPH oxidase complex found in neutrophils. This oxidase produces a burst of superoxide which is delivered to the lumen of the neutrophil phagosome. Mutations in this gene, as well as in other NADPH oxidase subunits, can result in chronic granulomatous disease, a disease that causes recurrent infections by catalase-positive organisms. Alternative splicing results in multiple transcript variants encoding different isoforms. [provided by RefSeq, Jun 2010] |
| 生物功能 | NCF2, NCF1, and a membrane bound cytochrome b558 are required for activation of the latent NADPH oxidase (necessary for superoxide production). [UniProt] |
| 细胞定位 | Cytoplasm. [UniProt] |
| 预测分子量 | 60 kDa |
检测图片 (3) Click the Picture to Zoom In
-
ARG66556 anti-NCF2 / p67phox antibody ICC/IF image
Immunofluorescence: Formalin-fixed HeLa cells were permeabilized with 0.1% Triton X-100 in TBS for 5-10 minutes and blocked with 3% BSA-PBS for 30 minutes at room temperature. Cells were stained with ARG66556 anti-NCF2 / p67phox antibody (red) in 3% BSA-PBS and incubated overnight at 4°C in a hidified chamber.
-
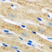
ARG66556 anti-NCF2 / p67phox antibody IHC-P image
Immunohistochemistry: Formalin-fixed and paraffin-embedded Mouse heart tissue. Antigen Retrieval: Heat mediation was performed in Sodium citrate buffer (pH 6.0). The section was then stained with ARG66556 anti-NCF2 / p67phox antibody at room temperature and detected using an HRP conjugated compact polymer system. DAB was used as the chromogen. The section was then counterstained with haematoxylin and mounted with DPX.
-
ARG66556 anti-NCF2 / p67phox antibody WB image
Western blot: THP1 and Mouse spleen lysates stained with ARG66556 anti-NCF2 / p67phox antibody.
