ARG59948
anti-NASP antibody
anti-NASP antibody for IHC-Formalin-fixed paraffin-embedded sections,Western blot and Human,Mouse,Rat
概述
| 产品描述 | Rabbit Polyclonal antibody recognizes NASP |
|---|---|
| 反应物种 | Hu, Ms, Rat |
| 应用 | IHC-P, WB |
| 宿主 | Rabbit |
| 克隆 | Polyclonal |
| 同位型 | IgG |
| 靶点名称 | NASP |
| 抗原物种 | Human |
| 抗原 | Recombinant fusion protein corresponding to aa. 180-449 of Human NASP (NP_689511.2). |
| 偶联标记 | Un-conjugated |
| 別名 | Nuclear autoantigenic sperm protein; PRO1999; NASP; FLB7527; HMDRA1 |
应用说明
| 应用建议 |
|
||||||
|---|---|---|---|---|---|---|---|
| 应用说明 | * The dilutions indicate recommended starting dilutions and the optimal dilutions or concentrations should be determined by the scientist. | ||||||
| 实际分子量 | 85 kDa |
属性
| 形式 | Liquid |
|---|---|
| 纯化 | Affinity purified. |
| 缓冲液 | PBS (pH 7.3), 0.02% Sodium azide and 50% Glycerol. |
| 抗菌剂 | 0.02% Sodium azide |
| 稳定剂 | 50% Glycerol |
| 存放说明 | For continuous use, store undiluted antibody at 2-8°C for up to a week. For long-term storage, aliquot and store at -20°C. Storage in frost free freezers is not recommended. Avoid repeated freeze/thaw cycles. Suggest spin the vial prior to opening. The antibody solution should be gently mixed before use. |
| 注意事项 | For laboratory research only, not for drug, diagnostic or other use. |
生物信息
| 数据库连接 | |
|---|---|
| 基因名称 | NASP |
| 全名 | nuclear autoantigenic sperm protein (histone-binding) |
| 背景介绍 | This gene encodes a H1 histone binding protein that is involved in transporting histones into the nucleus of dividing cells. Multiple isoforms are encoded by transcript variants of this gene. The somatic form is expressed in all mitotic cells, is localized to the nucleus, and is coupled to the cell cycle. The testicular form is expressed in embryonic tissues, tumor cells, and the testis. In male germ cells, this protein is localized to the cytoplasm of primary spermatocytes, the nucleus of spermatids, and the periacrosomal region of mature spermatozoa. [provided by RefSeq, Jul 2008] |
| 生物功能 | Required for DNA replication, normal cell cycle progression and cell proliferation. Forms a cytoplasmic complex with HSP90 and H1 linker histones and stimulates HSP90 ATPase activity. NASP and H1 histone are subsequently released from the complex and translocate to the nucleus where the histone is released for binding to DNA (By similarity). [UniProt] |
| 细胞定位 | Cytoplasm. Nucleus. [UniProt] |
| 预测分子量 | 85 kDa |
检测图片 (2) Click the Picture to Zoom In
-
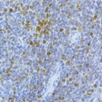
ARG59948 anti-NASP antibody IHC-P image
Immunohistochemistry: Paraffin-embedded Rat spleen stained with ARG59948 anti-NASP antibody at 1:100 dilution.
-
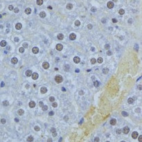
ARG59948 anti-NASP antibody IHC-P image
Immunohistochemistry: Paraffin-embedded Mouse liver stained with ARG59948 anti-NASP antibody at 1:100 dilution.
