ARG56197
anti-NAPSIN A antibody [NAPSA/1238]
anti-NAPSIN A antibody [NAPSA/1238] for IHC-Formalin-fixed paraffin-embedded sections,Western blot and Human
概述
| 产品描述 | Mouse Monoclonal antibody [NAPSA/1238] recognizes NAPSIN A |
|---|---|
| 反应物种 | Hu |
| 应用 | IHC-P, WB |
| 宿主 | Mouse |
| 克隆 | Monoclonal |
| 克隆号 | NAPSA/1238 |
| 同位型 | IgG, kappa |
| 靶点名称 | NAPSIN A |
| 抗原物种 | Human |
| 抗原 | A recombinant fragment from the human NAPSIN A protein. |
| 偶联标记 | Un-conjugated |
| 別名 | ASP4; EC 3.4.23.-; NAP1; TA01/TA02; Napsin-1; SNAPA; Asp 4; KAP; NAPA; Aspartyl protease 4; Kdap; Napsin-A |
应用说明
| 应用建议 |
|
||||||
|---|---|---|---|---|---|---|---|
| 应用说明 | IHC-P: Antigen Retrieval: Boil tissue section in 10 mM Citrate buffer (pH 6.0) for 10-20 min, followed by cooling at RT for 20 min. * The dilutions indicate recommended starting dilutions and the optimal dilutions or concentrations should be determined by the scientist. |
属性
| 形式 | Liquid |
|---|---|
| 纯化 | Purification with Protein G. |
| 缓冲液 | PBS (pH 7.4), 0.05% Sodium azide and 0.1 mg/ml BSA. |
| 抗菌剂 | 0.05% Sodium azide |
| 稳定剂 | 0.1 mg/ml BSA |
| 浓度 | 0.2 mg/ml |
| 存放说明 | For continuous use, store undiluted antibody at 2-8°C for up to a week. For long-term storage, aliquot and store at -20°C or below. Storage in frost free freezers is not recommended. Avoid repeated freeze/thaw cycles. Suggest spin the vial prior to opening. The antibody solution should be gently mixed before use. |
| 注意事项 | For laboratory research only, not for drug, diagnostic or other use. |
生物信息
| 数据库连接 | |
|---|---|
| 基因名称 | NAPSA |
| 全名 | napsin A aspartic peptidase |
| 背景介绍 | The activation peptides of aspartic proteinases plays role as inhibitors of the active site. These peptide segments, or pro-parts, are deemed important for correct folding, targeting, and control of the activation of aspartic proteinase zymogens. The pronapsin A gene is expressed predominantly in lung and kidney. Its translation product is predicted to be a fully functional, glycosylated aspartic proteinase precursor containing an RGD motif and an additional 18 residues at its C-terminus. [provided by RefSeq, Jul 2008] |
| 生物功能 | May be involved in processing of pneumocyte surfactant precursors. [UniProt] |
| 细胞定位 | Cytoplasmic |
| 预测分子量 | 45 kDa |
检测图片 (2) Click the Picture to Zoom In
-
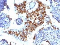
ARG56197 anti-NAPSIN A antibody [NAPSA/1238] IHC-P image
Immunohistochemistry: Formalin-fixed and paraffin-embedded Human lung Adenocarcinoma stained with ARG56197 anti-NAPSIN A antibody [NAPSA/1238].
-
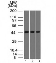
ARG56197 anti-NAPSIN A antibody [NAPSA/1238] WB image
Western blot: 1) K562, 2) HEK293, and 3) A549 cell lysates stained with ARG56197 anti-NAPSIN A antibody [NAPSA/1238].
