ARG66550
anti-NAB2 antibody
anti-NAB2 antibody for IHC-Formalin-fixed paraffin-embedded sections,Western blot and Human,Mouse
概述
| 产品描述 | Rabbit Polyclonal antibody recognizes NAB2 |
|---|---|
| 反应物种 | Hu, Ms |
| 应用 | IHC-P, WB |
| 宿主 | Rabbit |
| 克隆 | Polyclonal |
| 同位型 | IgG |
| 靶点名称 | NAB2 |
| 抗原物种 | Human |
| 抗原 | KLH-conjugated synthetic peptide encompassing a sequence within the center region of Human NAB2. |
| 偶联标记 | Un-conjugated |
| 別名 | EGR-1-binding protein 2; MADER; Protein MADER; Melanoma-associated delayed early response protein; NGFI-A-binding protein 2 |
应用说明
| 应用建议 |
|
||||||
|---|---|---|---|---|---|---|---|
| 应用说明 | IHC-P: Antigen Retrieval: Heat mediation was performed in Sodium citrate buffer (pH 6.0). * The dilutions indicate recommended starting dilutions and the optimal dilutions or concentrations should be determined by the scientist. |
||||||
| 实际分子量 | 57 kDa |
属性
| 形式 | Liquid |
|---|---|
| 纯化 | Affinity purification with immunogen. |
| 缓冲液 | 0.42% Potassium phosphate (pH 7.3), 0.87% NaCl, 0.01% Sodium azide and 30% Glycerol. |
| 抗菌剂 | 0.01% Sodium azide |
| 稳定剂 | 30% Glycerol |
| 存放说明 | For continuous use, store undiluted antibody at 2-8°C for up to a week. For long-term storage, aliquot and store at -20°C. Storage in frost free freezers is not recommended. Avoid repeated freeze/thaw cycles. Suggest spin the vial prior to opening. The antibody solution should be gently mixed before use. |
| 注意事项 | For laboratory research only, not for drug, diagnostic or other use. |
生物信息
| 数据库连接 | |
|---|---|
| 基因名称 | NAB2 |
| 全名 | NGFI-A binding protein 2 (EGR1 binding protein 2) |
| 背景介绍 | This gene encodes a member of the family of NGFI-A binding (NAB) proteins, which function in the nucleus to repress transcription induced by some members of the EGR (early growth response) family of transactivators. NAB proteins can homo- or hetero-multimerize with other EGR or NAB proteins through a conserved N-terminal domain, and repress transcription through two partially redundant C-terminal domains. Transcriptional repression by the encoded protein is mediated in part by interactions with the nucleosome remodeling and deactylase (NuRD) complex. Alternatively spliced transcript variants have been described, but their biological validity has not been determined. [provided by RefSeq, Jul 2008] |
| 生物功能 | Acts as a transcriptional repressor for zinc finger transcription factors EGR1 and EGR2. Isoform 2 lacks repression ability (By similarity). [UniProt] |
| 细胞定位 | Nucleus. Note=Isoform 2 is not localized to the nucleus. [UniProt] |
| 预测分子量 | 57 kDa |
| 翻译后修饰 | Sumoylation by EGR2 represses EGR2 transcriptional activity in hindbrain. [UniProt] |
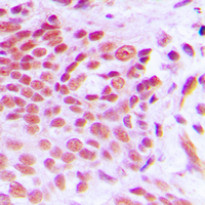
检测图片 (2) Click the Picture to Zoom In
-
ARG66550 anti-NAB2 antibody IHC-P image
Immunohistochemistry: Formalin-fixed and paraffin-embedded Human breast cancer tissue. Antigen Retrieval: Heat mediation was performed in Sodium citrate buffer (pH 6.0). The section was then stained with ARG66550 anti-NAB2 antibody at room temperature and detected using an HRP conjugated compact polymer system. DAB was used as the chromogen. The section was then counterstained with haematoxylin and mounted with DPX.
-
ARG66550 anti-NAB2 antibody WB image
Western blot: HepG2, HeLa and Raw264.7 whole cell lysates stained with ARG66550 anti-NAB2 antibody.
