ARG63727
anti-MyD88 antibody
anti-MyD88 antibody for ELISA,IHC-Formalin-fixed paraffin-embedded sections,Western blot and Human
Cell Biology and Cellular Response antibody; Immune System antibody; Signaling Transduction antibody
概述
| 产品描述 | Goat Polyclonal antibody recognizes MyD88 |
|---|---|
| 反应物种 | Hu |
| 预测物种 | Ms, Rat, Dog |
| 应用 | ELISA, IHC-P, WB |
| 宿主 | Goat |
| 克隆 | Polyclonal |
| 同位型 | IgG |
| 靶点名称 | MyD88 |
| 抗原物种 | Human |
| 抗原 | C-IKYKAMKKEFP |
| 偶联标记 | Un-conjugated |
| 別名 | MYD88D; Myeloid differentiation primary response protein MyD88 |
应用说明
| 应用建议 |
|
||||||||
|---|---|---|---|---|---|---|---|---|---|
| 应用说明 | IHC-P: Antigen Retrieval: Steam tissue section in Tris/EDTA buffer (pH 9.0). WB: Recommend incubate at RT for 1h. * The dilutions indicate recommended starting dilutions and the optimal dilutions or concentrations should be determined by the scientist. |
属性
| 形式 | Liquid |
|---|---|
| 纯化 | Purified from goat serum by antigen affinity chromatography. |
| 缓冲液 | Tris saline (pH 7.3), 0.02% Sodium azide and 0.5% BSA. |
| 抗菌剂 | 0.02% Sodium azide |
| 稳定剂 | 0.5% BSA |
| 浓度 | 0.5 mg/ml |
| 存放说明 | For continuous use, store undiluted antibody at 2-8°C for up to a week. For long-term storage, aliquot and store at -20°C or below. Storage in frost free freezers is not recommended. Avoid repeated freeze/thaw cycles. Suggest spin the vial prior to opening. The antibody solution should be gently mixed before use. |
| 注意事项 | For laboratory research only, not for drug, diagnostic or other use. |
生物信息
| 数据库连接 |
Swiss-port # Q99836 Human Myeloid differentiation primary response protein MyD88 |
|---|---|
| 背景介绍 | This gene encodes a cytosolic adapter protein that plays a central role in the innate and adaptive immune response. This protein functions as an essential signal transducer in the interleukin-1 and Toll-like receptor signaling pathways. These pathways regulate that activation of numerous proinflammatory genes. The encoded protein consists of an N-terminal death domain and a C-terminal Toll-interleukin1 receptor domain. Patients with defects in this gene have an increased susceptibility to pyogenic bacterial infections. Alternate splicing results in multiple transcript variants. [provided by RefSeq, Feb 2010] |
| 产品亮点 | Related products: MYD88 antibodies; Anti-Goat IgG secondary antibodies; Related poster download: Toll-like Receptor.pdf |
| 研究领域 | Cell Biology and Cellular Response antibody; Immune System antibody; Signaling Transduction antibody |
| 预测分子量 | 33 kDa |
检测图片 (2) Click the Picture to Zoom In
-
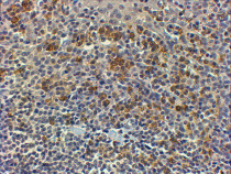
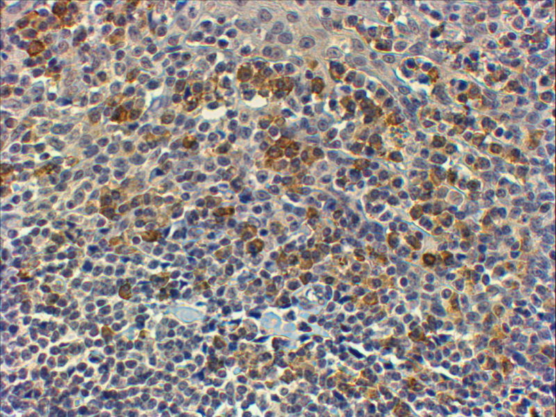
ARG63727 anti-MyD88 antibody IHC-P image
Immunohistochemistry: Paraffin embedded Human Tonsil. (Steamed antigen retrieval with Tris/EDTA buffer pH 9) stained with ARG63727 anti-MyD88 antibody at 4 µg/ml dilution followed by HRP-staining. These results could not been obtained after antigen retireval at pH6 with this batch of antibody.
-
ARG63727 anti-MyD88 antibody WB image
Western blot: 35 µg of Human thymus lysate (in RIPA buffer) stained with ARG63727 anti-MyD88 antibody at 0.2 µg/ml dilution and incubated at RT for 1 hour.
