ARG41352
anti-Musashi 1 antibody
anti-Musashi 1 antibody for IHC-Formalin-fixed paraffin-embedded sections,Western blot and Human,Mouse,Rat
概述
| 产品描述 | Rabbit Polyclonal antibody recognizes Musashi 1 |
|---|---|
| 反应物种 | Hu, Ms, Rat |
| 应用 | IHC-P, WB |
| 宿主 | Rabbit |
| 克隆 | Polyclonal |
| 同位型 | IgG |
| 靶点名称 | Musashi 1 |
| 抗原物种 | Human |
| 抗原 | Synthetic peptide corresponding to aa. 21-54 of Human Musashi 1. (KMFIGGLSWQTTQEGLREYFGQFGEVKECLVMRD) |
| 偶联标记 | Un-conjugated |
| 別名 | Musashi-1; RNA-binding protein Musashi homolog 1 |
应用说明
| 应用建议 |
|
||||||
|---|---|---|---|---|---|---|---|
| 应用说明 | IHC-P: Antigen Retrieval: Heat mediation was performed in Citrate buffer (pH 6.0, epitope retrieval solution) for 20 min. * The dilutions indicate recommended starting dilutions and the optimal dilutions or concentrations should be determined by the scientist. |
||||||
| 实际分子量 | ~ 39 kDa |
属性
| 形式 | Liquid |
|---|---|
| 纯化 | Affinity purification with immunogen. |
| 缓冲液 | 0.2% Na2HPO4, 0.9% NaCl, 0.05% Sodium azide and 5% BSA. |
| 抗菌剂 | 0.05% Sodium azide |
| 稳定剂 | 5% BSA |
| 浓度 | 0.5 mg/ml |
| 存放说明 | For continuous use, store undiluted antibody at 2-8°C for up to a week. For long-term storage, aliquot and store at -20°C or below. Storage in frost free freezers is not recommended. Avoid repeated freeze/thaw cycles. Suggest spin the vial prior to opening. The antibody solution should be gently mixed before use. |
| 注意事项 | For laboratory research only, not for drug, diagnostic or other use. |
生物信息
| 数据库连接 | |
|---|---|
| 基因名称 | MSI1 |
| 全名 | musashi RNA-binding protein 1 |
| 背景介绍 | This gene encodes a protein containing two conserved tandem RNA recognition motifs. Similar proteins in other species function as RNA-binding proteins and play central roles in posttranscriptional gene regulation. Expression of this gene has been correlated with the grade of the malignancy and proliferative activity in gliomas and melanomas. A pseudogene for this gene is located on chromosome 11q13. [provided by RefSeq, Jul 2008] |
| 生物功能 | RNA binding protein that regulates the expression of target mRNAs at the translation level. Regulates expression of the NOTCH1 antagonist NUMB. Binds RNA containing the sequence 5'-GUUAGUUAGUUAGUU-3' and other sequences containing the pattern 5'-[GA]U(1-3)AGU-3'. May play a role in the proliferation and maintenance of stem cells in the central nervous system (By similarity). [UniProt] |
| 细胞定位 | Cytoplasm. Nucleus. [UniProt] |
| 预测分子量 | 39 kDa |
检测图片 (6) Click the Picture to Zoom In
-
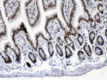
ARG41352 anti-Musashi 1 antibody IHC-P image
Immunohistochemistry: Paraffin-embedded Mouse intestine tissue. Antigen Retrieval: Heat mediation was performed in Citrate buffer (pH 6.0, epitope retrieval solution) for 20 min. The tissue section was blocked with 10% goat serum. The tissue section was then stained with ARG41352 anti-Musashi 1 antibody at 1 µg/ml dilution, overnight at 4°C.
-
ARG41352 anti-Musashi 1 antibody WB image
Western blot: 50 µg of samples under reducing conditions. Rat brain, Rat testis, Mouse brain, 293T and HepG2 whole cell lysates stained with ARG41352 anti-Musashi 1 antibody at 0.5 µg/ml dilution, overnight at 4°C.
-
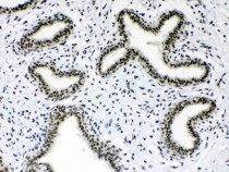
ARG41352 anti-Musashi 1 antibody IHC-P image
Immunohistochemistry: Paraffin-embedded Rat intestine tissue. Antigen Retrieval: Heat mediation was performed in Citrate buffer (pH 6.0, epitope retrieval solution) for 20 min. The tissue section was blocked with 10% goat serum. The tissue section was then stained with ARG41352 anti-Musashi 1 antibody at 1 µg/ml dilution, overnight at 4°C.
-
ARG41352 anti-Musashi 1 antibody IHC-P image
Immunohistochemistry: Paraffin-embedded Rat brain tissue. Antigen Retrieval: Heat mediation was performed in Citrate buffer (pH 6.0, epitope retrieval solution) for 20 min. The tissue section was blocked with 10% goat serum. The tissue section was then stained with ARG41352 anti-Musashi 1 antibody at 1 µg/ml dilution, overnight at 4°C.
-
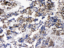
ARG41352 anti-Musashi 1 antibody IHC-P image
Immunohistochemistry: Paraffin-embedded Human lung cancer tissue. Antigen Retrieval: Heat mediation was performed in Citrate buffer (pH 6.0, epitope retrieval solution) for 20 min. The tissue section was blocked with 10% goat serum. The tissue section was then stained with ARG41352 anti-Musashi 1 antibody at 1 µg/ml dilution, overnight at 4°C.
-
ARG41352 anti-Musashi 1 antibody IHC-P image
Immunohistochemistry: Paraffin-embedded Human mammary cancer tissues. Antigen Retrieval: Heat mediation was performed in Citrate buffer (pH 6.0, epitope retrieval solution) for 20 min. The tissue section was blocked with 10% goat serum. The tissue section was then stained with ARG41352 anti-Musashi 1 antibody at 1 µg/ml dilution, overnight at 4°C.
