ARG64034
anti-Munc13-4 / UNC13D antibody
anti-Munc13-4 / UNC13D antibody for IHC-Formalin-fixed paraffin-embedded sections,Western blot and Human,Mouse
Immune System antibody
概述
| 产品描述 | Goat Polyclonal antibody recognizes Munc13-4 / UNC13D |
|---|---|
| 反应物种 | Hu, Ms |
| 预测物种 | Cow, Rat, Dog, Pig |
| 应用 | IHC-P, WB |
| 宿主 | Goat |
| 克隆 | Polyclonal |
| 同位型 | IgG |
| 靶点名称 | Munc13-4 / UNC13D |
| 抗原物种 | Human |
| 抗原 | C-ETQKHKKDLHPLFD |
| 偶联标记 | Un-conjugated |
| 別名 | Munc13-4; FHL3; HPLH3; HLH3; Protein unc-13 homolog D |
应用说明
| 应用建议 |
|
||||||
|---|---|---|---|---|---|---|---|
| 应用说明 | IHC-P: Antigen Retrieval: Steam tissue section in Citrate buffer (pH 6.0). WB: Recommend incubate at RT for 1h. * The dilutions indicate recommended starting dilutions and the optimal dilutions or concentrations should be determined by the scientist. |
属性
| 形式 | Liquid |
|---|---|
| 纯化 | Purified from goat serum by antigen affinity chromatography. |
| 缓冲液 | Tris saline (pH 7.3), 0.02% Sodium azide and 0.5% BSA. |
| 抗菌剂 | 0.02% Sodium azide |
| 稳定剂 | 0.5% BSA |
| 浓度 | 0.5 mg/ml |
| 存放说明 | For continuous use, store undiluted antibody at 2-8°C for up to a week. For long-term storage, aliquot and store at -20°C or below. Storage in frost free freezers is not recommended. Avoid repeated freeze/thaw cycles. Suggest spin the vial prior to opening. The antibody solution should be gently mixed before use. |
| 注意事项 | For laboratory research only, not for drug, diagnostic or other use. |
生物信息
| 数据库连接 | |
|---|---|
| 背景介绍 | This gene encodes a protein that is a member of the UNC13 family, containing similar domain structure as other family members but lacking an N-terminal phorbol ester-binding C1 domain present in other Munc13 proteins. The protein appears to play a role in vesicle maturation during exocytosis and is involved in regulation of cytolytic granules secretion. Mutations in this gene are associated with familial hemophagocytic lymphohistiocytosis type 3, a genetically heterogeneous, rare autosomal recessive disorder. [provided by RefSeq, Jul 2008] |
| 研究领域 | Immune System antibody |
| 预测分子量 | 123 kDa |
检测图片 (3) Click the Picture to Zoom In
-
ARG64034 anti-Munc13-4 / UNC13D antibody WB image
Western Blot: Human T-lymphocyte lysate (35 µg protein in RIPA buffer) stained with ARG64034 anti-Munc13-4 / UNC13D antibody at 2 µg/ml dilution.
-
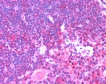
ARG64034 anti-Munc13-4 / UNC13D antibody IHC-P image
Immunohistochemistry: paraffin embedded Human Thymus. (Steamed antigen retrieval with citrate buffer pH 6) stained with ARG64034 anti-Munc13-4 / UNC13D antibody at 2.5 µg/ml dilution followed by AP-staining.
-
ARG64034 anti-Munc13-4 / UNC13D antibody IHC-P image
Immunohistochemistry: paraffin embedded Mouse Lung (wt in A and KO in B) . stained with ARG64034 anti-Munc13-4 / UNC13D antibody at 0.5 µg/ml dilution followed by
