ARG45538
anti-Mitochondrial dicarboxylate carrier antibody
anti-Mitochondrial dicarboxylate carrier antibody for IHC-Formalin-fixed paraffin-embedded sections,Western blot and Human,Mouse,Rat
概述
| 产品描述 | Rabbit Polyclonal antibody recognizes Mitochondrial dicarboxylate carrier |
|---|---|
| 反应物种 | Hu, Ms, Rat |
| 应用 | IHC-P, WB |
| 宿主 | Rabbit |
| 克隆 | Polyclonal |
| 同位型 | IgG |
| 靶点名称 | Mitochondrial dicarboxylate carrier |
| 抗原物种 | Human |
| 抗原 | Recombinant protein containing to human Mitochondrial dicarboxylate carrier. |
| 偶联标记 | Un-conjugated |
| 別名 | SLC25A10; Solute Carrier Family 25 Member 10; DIC; Solute Carrier Family 25 (Mitochondrial Carrier; Dicarboxylate Transporter), Member 10; Mitochondrial Dicarboxylate Carrier; Dicarboxylate Ion Carrier; MTDPS19 |
应用说明
| 应用建议 |
|
||||||
|---|---|---|---|---|---|---|---|
| 应用说明 | * The dilutions indicate recommended starting dilutions and the optimal dilutions or concentrations should be determined by the scientist. | ||||||
| 实际分子量 | 29 - 31 kDa |
属性
| 形式 | Liquid |
|---|---|
| 纯化 | Affinity purified |
| 缓冲液 | 0.2% Na2HPO4, 0.9% NaCl and 4% Trehalose. |
| 稳定剂 | 4% Trehalose |
| 浓度 | 0.5 mg/ml |
| 存放说明 | For continuous use, store undiluted antibody at 2-8°C for up to a week. For long-term storage, aliquot and store at -20°C or below. Storage in frost free freezers is not recommended. Avoid repeated freeze/thaw cycles. Suggest spin the vial prior to opening. The antibody solution should be gently mixed before use. |
| 注意事项 | For laboratory research only, not for drug, diagnostic or other use. |
生物信息
| 数据库连接 |
Swiss-port # Q9QZD8 Mouse Mitochondrial dicarboxylate carrier Swiss-port # Q9UBX3 Human Mitochondrial dicarboxylate carrier |
|---|---|
| 基因名称 | SLC25A10 |
| 全名 | Solute Carrier Family 25 Member 10 |
| 背景介绍 | This gene encodes a member of a family of proteins that translocate small metabolites across the mitochondrial membrane. The encoded protein exchanges dicarboxylates, such as malate and succinate, for phosphate, sulfate, and other small molecules, thereby providing substrates for metabolic processes including the Krebs cycle and fatty acid synthesis. Alternatively spliced transcript variants encoding multiple isoforms have been observed for this gene. [provided by RefSeq, Aug 2012] |
| 生物功能 | Catalyzes the electroneutral exchange or flux of physiologically important metabolites such as dicarboxylates (malonate, malate, succinate), inorganic sulfur-containing anions, and phosphate, across mitochondrial inner membrane. [UniProt] |
| 细胞定位 | Mitochondrion inner membrane. [UniProt] |
| 预测分子量 | 31 kDa |
检测图片 (3) Click the Picture to Zoom In
-
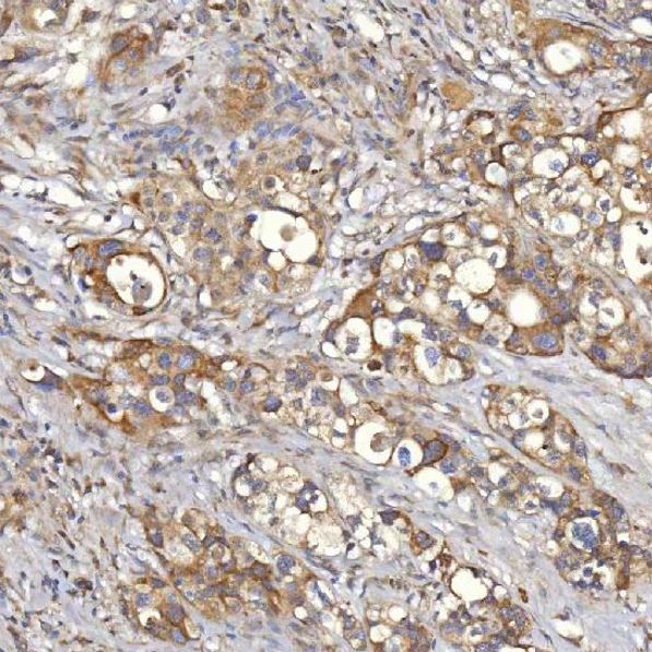
ARG45538 anti-Mitochondrial dicarboxylate carrier antibody IHC-P image
Immunohistochemistry: Human appendix adenocarcinoma stained with ARG45538 anti-Mitochondrial dicarboxylate carrier antibody at 2 μg/ml dilution.
-
ARG45538 anti-Mitochondrial dicarboxylate carrier antibody WB image
Western blot: HepG2 stained with ARG45538 anti-Mitochondrial dicarboxylate carrier antibody at 0.5 μg/ml dilution.
-
ARG45538 anti-Mitochondrial dicarboxylate carrier antibody WB image
Western blot: Rat liver stained with ARG45538 anti-Mitochondrial dicarboxylate carrier antibody at 0.5 μg/ml dilution.
