ARG44711
anti-MYO6 antibody
anti-MYO6 antibody for IHC-Formalin-fixed paraffin-embedded sections,Immunoprecipitation,Western blot and Human
概述
| 产品描述 | Mouse Monoclonal antibody recognizes MYO6 |
|---|---|
| 反应物种 | Hu |
| 应用 | IHC-P, IP, WB |
| 宿主 | Mouse |
| 克隆 | Monoclonal |
| 同位型 | IgG1 |
| 靶点名称 | MYO6 |
| 抗原物种 | Human |
| 偶联标记 | Un-conjugated |
| 別名 | MYO6; Myosin VI; KIAA0389; Unconventional Myosin-VI; Unconventional Myosin-6; DFNA22; DFNB37; Deafness, Autosomal Recessive 37 |
应用说明
| 应用建议 |
|
||||||||
|---|---|---|---|---|---|---|---|---|---|
| 应用说明 | * The dilutions indicate recommended starting dilutions and the optimal dilutions or concentrations should be determined by the scientist. |
属性
| 形式 | Liquid |
|---|---|
| 纯化 | Protein A purification |
| 缓冲液 | PBS with 0.09% sodium azide |
| 存放说明 | For continuous use, store undiluted antibody at 2-8°C for up to a week. For long-term storage, aliquot and store at -20°C or below. Storage in frost free freezers is not recommended. Avoid repeated freeze/thaw cycles. Suggest spin the vial prior to opening. The antibody solution should be gently mixed before use. |
| 注意事项 | For laboratory research only, not for drug, diagnostic or other use. |
生物信息
| 数据库连接 | |
|---|---|
| 基因名称 | MYO6 |
| 全名 | Myosin Vi |
| 背景介绍 | This gene encodes a reverse-direction motor protein that moves toward the minus end of actin filaments and plays a role in intracellular vesicle and organelle transport. The protein consists of a motor domain containing an ATP- and an actin-binding site and a globular tail which interacts with other proteins. This protein maintains the structural integrity of inner ear hair cells and mutations in this gene cause non-syndromic autosomal dominant and recessive hearing loss. Alternative splicing results in multiple transcript variants encoding distinct isoforms. |
| 生物功能 | Myosins are actin-based motor molecules with ATPase activity. |
| 细胞定位 | Cell membrane, Cell projection, Coated pit, #Cytoplasm, Cytoplasmic vesicle, Endosome, Golgi apparatus, Membrane, Nucleus |
| 预测分子量 | 150 kDa |
| 翻译后修饰 | Phosphoprotein |
检测图片 (3) Click the Picture to Zoom In
-
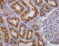
ARG44711 anti-MYO6 antibody IHC-P image
Immunohistochemistry: Human kidney stained with ARG44711 anti-MYO6 antibody at 5 µg/mL dilution.
-
ARG44711 anti-MYO6 antibody WB image
Western blot: HT29 stained with ARG44711 anti-MYO6 antibody at 1 µg/mL dilution.
-
ARG44711 anti-MYO6 antibody IP image
Immunoprecipitation: HT29 lysate immunoprecipitated with 2.5 µg of ARG44711 anti-MYO6 antibody.
