ARG44710
anti-MYH9 antibody
anti-MYH9 antibody for IHC-Formalin-fixed paraffin-embedded sections,Immunoprecipitation,Western blot and Human
概述
| 产品描述 | Mouse Monoclonal antibody recognizes MYH9 |
|---|---|
| 反应物种 | Hu |
| 应用 | IHC-P, IP, WB |
| 宿主 | Mouse |
| 克隆 | Monoclonal |
| 同位型 | IgG2a |
| 靶点名称 | MYH9 |
| 抗原物种 | Human |
| 偶联标记 | Un-conjugated |
| 別名 | NMHC-II-A; Myosin heavy chain 9; FTNS; Non-muscle myosin heavy chain IIa; Non-muscle myosin heavy chain A; BDPLT6; EPSTS; NMMHCA; MHA; Myosin-9; DFNA17; Myosin heavy chain, non-muscle IIa; NMMHC-IIA; NMMHC II-a; NMMHC-A; Cellular myosin heavy chain, type A |
应用说明
| 应用建议 |
|
||||||||
|---|---|---|---|---|---|---|---|---|---|
| 应用说明 | * The dilutions indicate recommended starting dilutions and the optimal dilutions or concentrations should be determined by the scientist. |
属性
| 形式 | Liquid |
|---|---|
| 纯化 | Protein A purification |
| 缓冲液 | PBS with 0.09% sodium azide |
| 存放说明 | For continuous use, store undiluted antibody at 2-8°C for up to a week. For long-term storage, aliquot and store at -20°C or below. Storage in frost free freezers is not recommended. Avoid repeated freeze/thaw cycles. Suggest spin the vial prior to opening. The antibody solution should be gently mixed before use. |
| 注意事项 | For laboratory research only, not for drug, diagnostic or other use. |
生物信息
| 数据库连接 | |
|---|---|
| 基因名称 | MYH9 |
| 全名 | myosin, heavy chain 9, non-muscle |
| 背景介绍 | Cellular myosin that appears to play a role in cytokinesis, cell shape, and specialized functions such as secretion and capping. During cell spreading, plays an important role in cytoskeleton reorganization, focal contacts formation (in the margins but not the central part of spreading cells), and lamellipodial retraction; this function is mechanically antagonized by MYH10. [UniProt] |
| 翻译后修饰 | ISGylated. |
检测图片 (3) Click the Picture to Zoom In
-
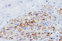
ARG44710 anti-MYH9 antibody IHC-P image
Immunohistochemistry: Human kidney stained with ARG44710 anti-MYH9 antibody at 5 µg/mL dilution.
-
ARG44710 anti-MYH9 antibody WB image
Western blot: HeLa, HT29, A431 stained with ARG44710 anti-MYH9 antibody at 1 µg/mL dilution.
-
ARG44710 anti-MYH9 antibody IP image
Immunoprecipitation: HeLa lysate immunoprecipitated with 2.5 µg of ARG44710 anti-MYH9 antibody.
