ARG45689
anti-MYH6 antibody
anti-MYH6 antibody for Flow cytometry,IHC-Formalin-fixed paraffin-embedded sections,Western blot and Human,Mouse,Rat
概述
| 产品描述 | Rabbit Polyclonal antibody recognizes MYH6 |
|---|---|
| 反应物种 | Hu, Ms, Rat |
| 应用 | FACS, IHC-P, WB |
| 宿主 | Rabbit |
| 克隆 | Polyclonal |
| 同位型 | IgG |
| 靶点名称 | MYH6 |
| 抗原物种 | Human |
| 抗原 | Synthetic peptide corresponding to middle region of human MYH6. |
| 偶联标记 | Un-conjugated |
| 別名 | MYH6; Myosin Heavy Chain 6; Myosin, Heavy Polypeptide 6, Cardiac Muscle, Alpha (Cardiomyopathy, Hypertrophic 1); MyHC-Alpha; Myosin-6; MYHCA; Myosin Heavy Chain, Cardiac Muscle Alpha Isoform; Cardiomyopathy, Hypertrophic 1; Alpha-MHC; CMD1EE; CMH14; ASD3; MYHC; SSS3 |
应用说明
| 应用建议 |
|
||||||||
|---|---|---|---|---|---|---|---|---|---|
| 应用说明 | * The dilutions indicate recommended starting dilutions and the optimal dilutions or concentrations should be determined by the scientist. |
属性
| 形式 | Liquid |
|---|---|
| 纯化 | Affinity purified |
| 缓冲液 | 0.2% Na2HPO4, 0.9% NaCl and 4% Trehalose. |
| 稳定剂 | 4% Trehalose |
| 浓度 | 0.5 mg/ml |
| 存放说明 | For continuous use, store undiluted antibody at 2-8°C for up to a week. For long-term storage, aliquot and store at -20°C or below. Storage in frost free freezers is not recommended. Avoid repeated freeze/thaw cycles. Suggest spin the vial prior to opening. The antibody solution should be gently mixed before use. |
| 注意事项 | For laboratory research only, not for drug, diagnostic or other use. |
生物信息
| 数据库连接 | |
|---|---|
| 基因名称 | MYH6 |
| 全名 | Myosin Heavy Chain 6 |
| 背景介绍 | Cardiac muscle myosin is a hexamer consisting of two heavy chain subunits, two light chain subunits, and two regulatory subunits. This gene encodes the alpha heavy chain subunit of cardiac myosin. The gene is located approximately 4kb downstream of the gene encoding the beta heavy chain subunit of cardiac myosin. Mutations in this gene cause familial hypertrophic cardiomyopathy and atrial septal defect 3. [provided by RefSeq, Feb 2017] |
| 生物功能 | Muscle contraction. [UniProt] |
| 细胞定位 | Cytoplasm; Thick filament. [UniProt] |
| 预测分子量 | 224 kDa |
| 翻译后修饰 | Methylation; Phosphoprotein. [UniProt] |
检测图片 (5) Click the Picture to Zoom In
-
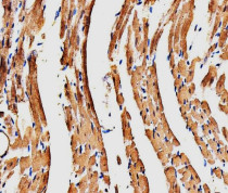
ARG45689 anti-MYH6 antibody IHC-P image
Immunohistochemistry: Human skeletal muscle stained with ARG45689 anti-MYH6 antibody at 2 μg/ml dilution.
-
ARG45689 anti-MYH6 antibody FACS image
Flow Cytometry: U937 stained with ARG45689 anti-MYH6 antibody at 1 µg/10^6 cells dilution.
-
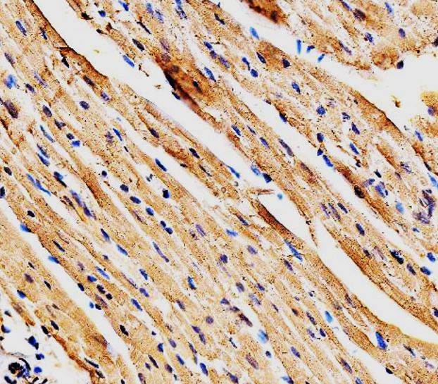
ARG45689 anti-MYH6 antibody IHC-P image
Immunohistochemistry: Rat cardiac stained with ARG45689 anti-MYH6 antibody at 2 μg/ml dilution.
-
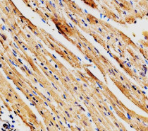
ARG45689 anti-MYH6 antibody IHC-P image
Immunohistochemistry: Mouse cardiac stained with ARG45689 anti-MYH6 antibody at 2 μg/ml dilution.
-
ARG45689 anti-MYH6 antibody WB image
Western blot: Mouse heart stained with ARG45689 anti-MYH6 antibody at 0.5 μg/ml dilution.
