ARG56057
anti-MUC3 antibody [M3.1]
anti-MUC3 antibody [M3.1] for IHC-Formalin-fixed paraffin-embedded sections and Human
概述
| 产品描述 | Mouse Monoclonal antibody [M3.1] recognizes MUC3 |
|---|---|
| 反应物种 | Hu |
| 应用 | IHC-P |
| 宿主 | Mouse |
| 克隆 | Monoclonal |
| 克隆号 | M3.1 |
| 同位型 | IgG2a, kappa |
| 靶点名称 | MUC3 |
| 抗原物种 | Human |
| 抗原 | aa. C-HSTPSFTSSITTTETTSHSTPSFTSSITTTETTS which contains two of the MUC3 tandem repeats. |
| 偶联标记 | Un-conjugated |
| 別名 | MUC3; MUC-3A; Mucin-3A; Intestinal mucin-3A |
应用说明
| 应用建议 |
|
||||
|---|---|---|---|---|---|
| 应用说明 | IHC-P: Antigen Retrieval: Boil tissue section in 10 mM Tris with 1 mM EDTA (pH 9.0) for 10-20 min, followed by cooling at RT for 20 min. * The dilutions indicate recommended starting dilutions and the optimal dilutions or concentrations should be determined by the scientist. |
属性
| 形式 | Liquid |
|---|---|
| 纯化 | Purification with Protein G. |
| 缓冲液 | PBS (pH 7.4), 0.05% Sodium azide and 0.1 mg/ml BSA |
| 抗菌剂 | 0.05% Sodium azide |
| 稳定剂 | 0.1 mg/ml BSA |
| 浓度 | 0.2 mg/ml |
| 存放说明 | For continuous use, store undiluted antibody at 2-8°C for up to a week. For long-term storage, aliquot and store at -20°C or below. Storage in frost free freezers is not recommended. Avoid repeated freeze/thaw cycles. Suggest spin the vial prior to opening. The antibody solution should be gently mixed before use. |
| 注意事项 | For laboratory research only, not for drug, diagnostic or other use. |
生物信息
| 基因名称 | MUC3A |
|---|---|
| 全名 | mucin 3A, cell surface associated |
| 背景介绍 | The mucin genes encode epithelial glycoproteins, some of which are secreted and some membrane bound. Each of the genes contains at least one large domain of tandemly repeated sequence that encodes the peptide sequence rich in serine and/or threonine residues, which carries most of the O-linked glycosylation (Gendler and Spicer, 1995 [PubMed 7778880]).[supplied by OMIM, Aug 2008] |
| 生物功能 | Major glycoprotein component of a variety of mucus gels. Thought to provide a protective, lubricating barrier against particles and infectious agents at mucosal surfaces. May be involved in ligand binding and intracellular signaling. [UniProt] |
| 细胞定位 | Cytoplasmic and cell surface |
| 预测分子量 | 345 kDa |
检测图片 (3) Click the Picture to Zoom In
-
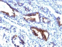
ARG56057 anti-MUC3 antibody [M3.1] IHC-P image
Immunohistochemistry: Formalin-fixed, paraffin-embedded Human colon carcinoma stained with ARG56057 anti-MUC3 antibody [M3.1].
-
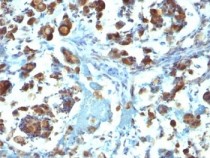
ARG56057 anti-MUC3 antibody [M3.1] IHC-P image
Immunohistochemistry: Formalin-fixed, paraffin-embedded Human gastric carcinoma stained with ARG56057 anti-MUC3 antibody [M3.1].
-
ARG56057 anti-MUC3 antibody [M3.1] IHC-P image
Immunohistochemistry: Formalin-fixed, paraffin-embedded Human gastric carcinoma stained with ARG56057 anti-MUC3 antibody [M3.1].
