ARG10823
anti-MTF6 antibody
anti-MTF6 antibody for IHC-Formalin-fixed paraffin-embedded sections,Western blot and Human
1
概述
| 产品描述 | Rabbit Polyclonal antibody recognizes MTF6 |
|---|---|
| 反应物种 | Hu |
| 预测物种 | Ms, Rat, Cow, Dog, Goat, Gpig, Hrs, Rb, Sheep, Zfsh |
| 应用 | IHC-P, WB |
| 宿主 | Rabbit |
| 克隆 | Polyclonal |
| 同位型 | IgG |
| 靶点名称 | MTF6 |
| 抗原物种 | Human |
| 抗原 | Synthetic peptide around the N-terminus of Human MYF6. (PGLQPPHCPGQCLIWACKTCKRKSAPTDRRKAATLRERRRLKKINEAFEA) |
| 偶联标记 | Un-conjugated |
| 別名 | Muscle-specific regulatory factor 4; Myf-6; bHLHc4; myf-6; Class C basic helix-loop-helix protein 4; MRF4; Myogenic factor 6; CNM3 |
应用说明
| 应用建议 |
|
||||||
|---|---|---|---|---|---|---|---|
| 应用说明 | * The dilutions indicate recommended starting dilutions and the optimal dilutions or concentrations should be determined by the scientist. | ||||||
| 阳性对照 | Fetal heart. |
属性
| 形式 | Liquid |
|---|---|
| 纯化 | Affinity purified. |
| 缓冲液 | PBS, 0.09% (w/v) Sodium azide and 2% Sucrose. |
| 抗菌剂 | 0.09% (w/v) Sodium azide |
| 稳定剂 | 2% Sucrose |
| 浓度 | Batch dependent: 0.5 - 1 mg/ml |
| 存放说明 | For continuous use, store undiluted antibody at 2-8°C for up to a week. For long-term storage, aliquot and store at -20°C or below. Storage in frost free freezers is not recommended. Avoid repeated freeze/thaw cycles. Suggest spin the vial prior to opening. The antibody solution should be gently mixed before use. |
| 注意事项 | For laboratory research only, not for drug, diagnostic or other use. |
生物信息
| 数据库连接 | |
|---|---|
| 基因名称 | MYF6 |
| 全名 | myogenic factor 6 (herculin) |
| 背景介绍 | The protein encoded by this gene is a probable basic helix-loop-helix (bHLH) DNA binding protein involved in muscle differentiation. The encoded protein likely acts as a heterodimer with another bHLH protein. Defects in this gene are a cause of autosomal dominant centronuclear myopathy (ADCNM). [provided by RefSeq, May 2010] |
| 生物功能 | Involved in muscle differentiation (myogenic factor). Induces fibroblasts to differentiate into myoblasts. Probable sequence specific DNA-binding protein. [UniProt] |
| 预测分子量 | 27 kDa |
检测图片 (3) Click the Picture to Zoom In
-
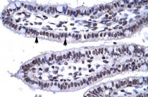
ARG10823 anti-MTF6 antibody IHC-P image
Immunohistochemistry: Paraffin-embedded Human intestine stained with ARG10823 anti-MTF6 antibody.
Magnification: 400X
-
ARG10823 anti-MTF6 antibody WB image
Western blot: Human heart lysaste stained with ARG10823 anti-MTF6 antibody.
-
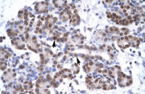
ARG10823 anti-MTF6 antibody IHC-P image
Immunohistochemistry: Paraffin-embedded Human pancreas stained with ARG10823 anti-MTF6 antibody.
Magnification: 400X
