ARG43601
anti-MTCO1 antibody
anti-MTCO1 antibody for ICC/IF,IHC-Formalin-fixed paraffin-embedded sections,Western blot and Mouse,Rat
概述
| 产品描述 | Rabbit Polyclonal antibody recognizes MTCO1 |
|---|---|
| 反应物种 | Ms, Rat |
| 应用 | ICC/IF, IHC-P, WB |
| 宿主 | Rabbit |
| 克隆 | Polyclonal |
| 同位型 | IgG |
| 靶点名称 | MTCO1 |
| 抗原物种 | Mouse |
| 抗原 | Synthetic peptide corresponding to a sequence at the C-terminus of Human MTCO1(501-514aa PYHTFEEPVYMKS). |
| 偶联标记 | Un-conjugated |
| Protein Full name | Cytochrome c oxidase subunit 1 |
| 別名 | Cytochrome c oxidase subunit 1; EC 1.9.3.1; COX1; Cytochrome c oxidase polypeptide I; MTCO1; COI |
应用说明
| 应用建议 |
|
||||||||
|---|---|---|---|---|---|---|---|---|---|
| 应用说明 | IHC-P: Antigen Retrieval: By heat mediation. * The dilutions indicate recommended starting dilutions and the optimal dilutions or concentrations should be determined by the scientist. |
||||||||
| 阳性对照 | Mouse heart, Rat brain, Hepa 1-6 | ||||||||
| 实际分子量 | 37 kDa |
属性
| 形式 | Liquid |
|---|---|
| 纯化 | Affinity purification with immunogen. |
| 缓冲液 | 0.9% NaCl, 0.2% Na2HPO4, 0.05% Thimerosal, 0.05% Sodium azide and 5% BSA. |
| 抗菌剂 | 0.05% Thimerosal and 0.05% Sodium azide |
| 稳定剂 | 5% BSA |
| 浓度 | 0.5 mg/ml |
| 存放说明 | For continuous use, store undiluted antibody at 2-8°C for up to a week. For long-term storage, aliquot and store at -20°C or below. Storage in frost free freezers is not recommended. Avoid repeated freeze/thaw cycles. Suggest spin the vial prior to opening. The antibody solution should be gently mixed before use. |
| 注意事项 | For laboratory research only, not for drug, diagnostic or other use. |
生物信息
| 数据库连接 | |
|---|---|
| 基因名称 | MT-CO1 |
| 全名 | mitochondrially encoded cytochrome c oxidase I |
| 生物功能 | Cytochrome c oxidase is the component of the respiratory chain that catalyzes the reduction of oxygen to water. Subunits 1-3 form the functional core of the enzyme complex. CO I is the catalytic subunit of the enzyme. Electrons originating in cytochrome c are transferred via the copper A center of subunit 2 and heme A of subunit 1 to the bimetallic center formed by heme A3 and copper B. [UniProt] |
| 细胞定位 | Mitochondrion inner membrane; Multi-pass membrane protein. [UniProt] |
| 预测分子量 | 57 kDa |
检测图片 (3) Click the Picture to Zoom In
-
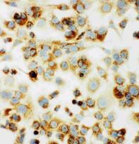
ARG43601 anti-MTCO1 antibody ICC image
Immunocytochemistry: Hepa 1-6 cells stained with ARG43601 anti-MTCO1 antibody.
-
ARG43601 anti-MTCO1 antibody IHC-P image
Immunohistochemistry: Paraffin-embedded Rat Brain Tissue stained with ARG43601 anti-MTCO1 antibody.
-
ARG43601 anti-MTCO1 antibody WB image
Western blot: Mouse Heart and Rat Heart Tissue Lysate stained with ARG43601 anti-MTCO1 antibody.
