ARG44222
anti-MTCL1 antibody
anti-MTCL1 antibody for Flow cytometry,IHC-Formalin-fixed paraffin-embedded sections,Western blot and Human,Mouse,Rat
概述
| 产品描述 | Rabbit Polyclonal antibody recognizes MTCL1 |
|---|---|
| 反应物种 | Hu, Ms, Rat |
| 应用 | FACS, IHC-P, WB |
| 宿主 | Rabbit |
| 克隆 | Polyclonal |
| 同位型 | IgG |
| 靶点名称 | MTCL1 |
| 抗原物种 | Human |
| 抗原 | Recombinant protein of Human MTCL1 |
| 偶联标记 | Un-conjugated |
| Protein Full name | Microtubule cross-linking factor 1 |
| 別名 | MTCL1; Microtubule Crosslinking Factor 1; KIAA0802; SOGA Family Member 2; CCDC165; SOGA2; Coiled-Coil Domain-Containing Protein 165; Microtubule Cross-Linking Factor 1; Coiled-Coil Domain Containing 165; PAR-1-Interacting Protein |
应用说明
| 应用建议 |
|
||||||||
|---|---|---|---|---|---|---|---|---|---|
| 应用说明 | * The dilutions indicate recommended starting dilutions and the optimal dilutions or concentrations should be determined by the scientist. |
属性
| 形式 | Liquid |
|---|---|
| 纯化 | Affinity purification with immunogen. |
| 缓冲液 | 0.9% NaCl, 0.2% Na2HPO4, 0.05% Sodium azide and 5% BSA. |
| 抗菌剂 | 0.05% Sodium azide |
| 稳定剂 | 5% BSA |
| 浓度 | 0.5 mg/ml |
| 存放说明 | For continuous use, store undiluted antibody at 2-8°C for up to a week. For long-term storage, aliquot and store at -20°C or below. Storage in frost free freezers is not recommended. Avoid repeated freeze/thaw cycles. Suggest spin the vial prior to opening. The antibody solution should be gently mixed before use. |
| 注意事项 | For laboratory research only, not for drug, diagnostic or other use. |
生物信息
| 数据库连接 |
Swiss-port # Q3UHU5 Mouse Microtubule cross-linking factor 1 Swiss-port # Q9Y4B5 Human Microtubule cross-linking factor 1 |
|---|---|
| 基因名称 | MTCL1 |
| 全名 | Microtubule Crosslinking Factor 1 |
| 背景介绍 | Enables microtubule binding activity. Predicted to be involved in establishment or maintenance of epithelial cell apical/basal polarity; microtubule bundle formation; and positive regulation of protein targeting to membrane. Located in midbody and spindle pole. |
| 生物功能 | Microtubule-associated factor involved in the late phase of epithelial polarization and microtubule dynamics regulation. Plays a role in the development and maintenance of non-centrosomal microtubule bundles at the lateral membrane in polarized epithelial cells. |
| 细胞定位 | Cell membrane, Cytoplasm, Cytoskeleton, Membrane |
| 预测分子量 | 21 kDa |
| 翻译后修饰 | Phosphoprotein |
检测图片 (7) Click the Picture to Zoom In
-
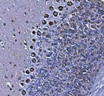
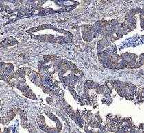
ARG44222 anti-MTCL1 antibody IHC-P image
Immunohistochemistry: Human colorectal adenocarcinoma stained with ARG44222 anti-MTCL1 antibody at 2 μg/mL dilution.
-
ARG44222 anti-MTCL1 antibody WB image
Western blot: RT4 stained with ARG44222 anti-MTCL1 antibody at 0.5 μg/mL dilution.
-
ARG44222 anti-MTCL1 antibody FACS image
Flow Cytometry: U20S stained with ARG44222 anti-MTCL1 antibody at 1 μg/1x10^6 cells dilution.
-
ARG44222 anti-MTCL1 antibody IHC-P image
Immunohistochemistry: Rat cerebellum stained with ARG44222 anti-MTCL1 antibody at 2 μg/mL dilution.
-
ARG44222 anti-MTCL1 antibody WB image
Western blot: Rat lung and Rat ovary stained with ARG44222 anti-MTCL1 antibody at 0.5 μg/mL dilution.
-
ARG44222 anti-MTCL1 antibody IHC-P image
Immunohistochemistry: Mouse cerebellum stained with ARG44222 anti-MTCL1 antibody at 2 μg/mL dilution.
-
ARG44222 anti-MTCL1 antibody WB image
Western blot: Mouse lung and Mouse ovary stained with ARG44222 anti-MTCL1 antibody at 0.5 μg/mL dilution.
