ARG63586
anti-MSX1 antibody
anti-MSX1 antibody for IHC-Formalin-fixed paraffin-embedded sections,Western blot and Human
Developmental Biology antibody; Gene Regulation antibody; Neuroscience antibody
概述
| 产品描述 | Goat Polyclonal antibody recognizes MSX1 |
|---|---|
| 反应物种 | Hu |
| 预测物种 | Ms, Rat, Cow, Pig |
| 应用 | IHC-P, WB |
| 宿主 | Goat |
| 克隆 | Polyclonal |
| 同位型 | IgG |
| 靶点名称 | MSX1 |
| 抗原物种 | Human |
| 抗原 | TSLPLGVKVEDS-C |
| 偶联标记 | Un-conjugated |
| 別名 | HYD1; Msh homeobox 1-like protein; HOX7; Homeobox protein Hox-7; Homeobox protein MSX-1; ECTD3; STHAG1 |
应用说明
| 应用建议 |
|
||||||
|---|---|---|---|---|---|---|---|
| 应用说明 | IHC-P: Antigen Retrieval: Steam tissue section in Citrate buffer (pH 6.0). WB: Recommend incubate at RT for 1h. * The dilutions indicate recommended starting dilutions and the optimal dilutions or concentrations should be determined by the scientist. |
属性
| 形式 | Liquid |
|---|---|
| 纯化 | Purified from goat serum by antigen affinity chromatography. |
| 缓冲液 | Tris saline (pH 7.3), 0.02% Sodium azide and 0.5% BSA. |
| 抗菌剂 | 0.02% Sodium azide |
| 稳定剂 | 0.5% BSA |
| 浓度 | 0.5 mg/ml |
| 存放说明 | For continuous use, store undiluted antibody at 2-8°C for up to a week. For long-term storage, aliquot and store at -20°C or below. Storage in frost free freezers is not recommended. Avoid repeated freeze/thaw cycles. Suggest spin the vial prior to opening. The antibody solution should be gently mixed before use. |
| 注意事项 | For laboratory research only, not for drug, diagnostic or other use. |
生物信息
| 数据库连接 | |
|---|---|
| 背景介绍 | This gene encodes a member of the muscle segment homeobox gene family. The encoded protein functions as a transcriptional repressor during embryogenesis through interactions with components of the core transcription complex and other homeoproteins. It may also have roles in limb-pattern formation, craniofacial development, particularly odontogenesis, and tumor growth inhibition. Mutations in this gene, which was once known as homeobox 7, have been associated with nonsyndromic cleft lip with or without cleft palate 5, Witkop syndrome, Wolf-Hirschom syndrome, and autosomoal dominant hypodontia. [provided by RefSeq, Jul 2008] |
| 研究领域 | Developmental Biology antibody; Gene Regulation antibody; Neuroscience antibody |
| 预测分子量 | 31 kDa |
| 翻译后修饰 | Sumoylated by PIAS1, desumoylated by SENP1. |
检测图片 (2) Click the Picture to Zoom In
-
ARG63586 anti-MSX1 antibody WB image
Western Blot: Human Prostate lysate (35 µg protein in RIPA buffer) stained with ARG63586 anti-MSX1 antibody at 0.3 µg/ml dilution.
-
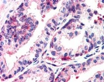
ARG63586 anti-MSX1 antibody IHC-P image
Immunohistochemistry: paraffin embedded Human Prostate. (Steamed antigen retrieval with citrate buffer pH 6) stained with ARG63586 anti-MSX1 antibody at 2.5 µg/ml dilution followed by AP-staining.
