ARG63182
anti-MST4 antibody
anti-MST4 antibody for IHC-Formalin-fixed paraffin-embedded sections,Western blot and Human
Signaling Transduction antibody
概述
| 产品描述 | Goat Polyclonal antibody recognizes MST4 |
|---|---|
| 反应物种 | Hu |
| 预测物种 | Ms, Rat, Cow, Dog, Pig |
| 应用 | IHC-P, WB |
| 特异性 | This antibody is expected to recognize all three reported isoforms (NP_057626.2, NP_001035918.1 and NP_001035917.1). |
| 宿主 | Goat |
| 克隆 | Polyclonal |
| 同位型 | IgG |
| 靶点名称 | MST4 |
| 抗原物种 | Human |
| 抗原 | KLIEKFQKCSADESP |
| 偶联标记 | Un-conjugated |
| 別名 | Serine/threonine-protein kinase MASK; MST3 and SOK1-related kinase; MST4; STE20-like kinase MST4; MASK; MST-4; Mammalian STE20-like protein kinase 4; EC 2.7.11.1; Serine/threonine-protein kinase 26 |
应用说明
| 应用建议 |
|
||||||
|---|---|---|---|---|---|---|---|
| 应用说明 | WB: Recommend incubate at RT for 1h. IHC-P: Antigen Retrieval: Steam tissue section in Citrate buffer (pH 6.0). * The dilutions indicate recommended starting dilutions and the optimal dilutions or concentrations should be determined by the scientist. |
属性
| 形式 | Liquid |
|---|---|
| 纯化 | Purified from goat serum by antigen affinity chromatography. |
| 缓冲液 | Tris saline (pH 7.3), 0.02% Sodium azide and 0.5% BSA. |
| 抗菌剂 | 0.02% Sodium azide |
| 稳定剂 | 0.5% BSA |
| 浓度 | 0.5 mg/ml |
| 存放说明 | For continuous use, store undiluted antibody at 2-8°C for up to a week. For long-term storage, aliquot and store at -20°C or below. Storage in frost free freezers is not recommended. Avoid repeated freeze/thaw cycles. Suggest spin the vial prior to opening. The antibody solution should be gently mixed before use. |
| 注意事项 | For laboratory research only, not for drug, diagnostic or other use. |
生物信息
| 数据库连接 |
Swiss-port # Q9P289 Human Serine/threonine-protein kinase 26 |
|---|---|
| 背景介绍 | The product of this gene is a member of the GCK group III family of kinases, which are a subset of the Ste20-like kinases. The encoded protein contains an amino-terminal kinase domain, and a carboxy-terminal regulatory domain that mediates homodimerization. The protein kinase localizes to the Golgi apparatus and is specifically activated by binding to the Golgi matrix protein GM130. It is also cleaved by caspase-3 in vitro, and may function in the apoptotic pathway. Several alternatively spliced transcript variants of this gene have been described, but the full-length nature of some of these variants has not been determined. [provided by RefSeq, Jul 2008] |
| 研究领域 | Signaling Transduction antibody |
| 预测分子量 | 47 kDa |
检测图片 (2) Click the Picture to Zoom In
-
ARG63182 anti-MST4 antibody WB image
Western Blot: Jurkat lysate (RIPA buffer, 35 µg total protein per lane) stained with ARG63182 anti-MST4 antibody at 0.5 µg/ml dilution.
-
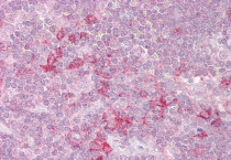
ARG63182 anti-MST4 antibody IHC-P image
Immunohistochemistry: Paraffin-embedded Human thymus tissue. Antigen Retrieval: Steam tissue section in Citrate buffer (pH 6.0). The tissue section was stained with ARG63182 anti-MST4 antibody at 2.5 µg/ml dilution followed by AP-staining.
