ARG41268
anti-MRPP3 antibody
anti-MRPP3 antibody for IHC-Formalin-fixed paraffin-embedded sections,Western blot and Human
概述
| 产品描述 | Rabbit Polyclonal antibody recognizes MRPP3 |
|---|---|
| 反应物种 | Hu |
| 应用 | IHC-P, WB |
| 宿主 | Rabbit |
| 克隆 | Polyclonal |
| 同位型 | IgG |
| 靶点名称 | MRPP3 |
| 抗原物种 | Human |
| 抗原 | Recombinant protein corresponding to aa. 314-583 of Human MRPP3. |
| 偶联标记 | Un-conjugated |
| 別名 | MRPP3; Mitochondrial RNase P protein 3; PRORP; Mitochondrial ribonuclease P protein 3 |
应用说明
| 应用建议 |
|
||||||
|---|---|---|---|---|---|---|---|
| 应用说明 | * The dilutions indicate recommended starting dilutions and the optimal dilutions or concentrations should be determined by the scientist. | ||||||
| 实际分子量 | ~ 65 kDa |
属性
| 形式 | Liquid |
|---|---|
| 纯化 | Affinity purification with immunogen. |
| 缓冲液 | PBS (pH 7.3), 0.02% Sodium azide and 50% Glycerol. |
| 抗菌剂 | 0.02% Sodium azide |
| 稳定剂 | 50% Glycerol |
| 存放说明 | For continuous use, store undiluted antibody at 2-8°C for up to a week. For long-term storage, aliquot and store at -20°C. Storage in frost free freezers is not recommended. Avoid repeated freeze/thaw cycles. Suggest spin the vial prior to opening. The antibody solution should be gently mixed before use. |
| 注意事项 | For laboratory research only, not for drug, diagnostic or other use. |
生物信息
| 数据库连接 |
Swiss-port # O15091 Human Mitochondrial ribonuclease P protein 3 |
|---|---|
| 基因名称 | KIAA0391 |
| 全名 | KIAA0391 |
| 生物功能 | Functions in mitochondrial tRNA maturation. Part of mitochondrial ribonuclease P, an enzyme composed of MRPP1/TRMT10C, MRPP2/HSD17B10 and MRPP3/KIAA0391, which cleaves tRNA molecules in their 5'-ends. [UniProt] |
| 细胞定位 | Mitochondrion. [UniProt] |
| 预测分子量 | 67 kDa |
检测图片 (3) Click the Picture to Zoom In
-
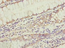
ARG41268 anti-MRPP3 antibody IHC-P image
Immunohistochemistry: Paraffin-embedded Human colon cancer tissue stained with ARG41268 anti-MRPP3 antibody at 1:100 dilution.
-
ARG41268 anti-MRPP3 antibody WB image
Western blot: LO2 and 293T whole cell lysates stained with ARG41268 anti-MRPP3 antibody at 1 µg/ml dilution.
-
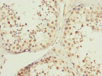
ARG41268 anti-MRPP3 antibody IHC-P image
Immunohistochemistry: Paraffin-embedded Human testis tissue stained with ARG41268 anti-MRPP3 antibody at 1:100 dilution.
