ARG65584
anti-MRPL12 antibody
anti-MRPL12 antibody for IHC-Formalin-fixed paraffin-embedded sections,Western blot and Human
Controls and Markers antibody; Gene Regulation antibody; Metabolism antibody
概述
| 产品描述 | Rabbit Polyclonal antibody recognizes MRPL12 |
|---|---|
| 反应物种 | Hu |
| 应用 | IHC-P, WB |
| 宿主 | Rabbit |
| 克隆 | Polyclonal |
| 同位型 | IgG |
| 靶点名称 | MRPL12 |
| 抗原物种 | Human |
| 抗原 | Fusion protein of human MRPL12 |
| 偶联标记 | Un-conjugated |
| 別名 | MRP-L31/34; MRPL7/L12; MRP-L12; 39S ribosomal protein L12, mitochondrial; L12mt; MRPL7; RPML12; 5c5-2 |
应用说明
| 应用建议 |
|
||||||
|---|---|---|---|---|---|---|---|
| 应用说明 | * The dilutions indicate recommended starting dilutions and the optimal dilutions or concentrations should be determined by the scientist. | ||||||
| 阳性对照 | 293T cell |
属性
| 形式 | Liquid |
|---|---|
| 纯化 | Purified by antigen-affinity chromatography. |
| 缓冲液 | 1XPBS (pH 7.4), 0.05% Sodium azide and 40% Glycerol |
| 抗菌剂 | 0.05% Sodium azide |
| 稳定剂 | 40% Glycerol |
| 浓度 | 1.3 mg/ml |
| 存放说明 | For continuous use, store undiluted antibody at 2-8°C for up to a week. For long-term storage, aliquot and store at -20°C. Storage in frost free freezers is not recommended. Avoid repeated freeze/thaw cycles. Suggest spin the vial prior to opening. The antibody solution should be gently mixed before use. |
| 注意事项 | For laboratory research only, not for drug, diagnostic or other use. |
生物信息
| 数据库连接 |
Swiss-port # P52815 Human 39S ribosomal protein L12, mitochondrial |
|---|---|
| 基因名称 | MRPL12 |
| 全名 | mitochondrial ribosomal protein L12 |
| 背景介绍 | Mammalian mitochondrial ribosomal proteins are encoded by nuclear genes and help in protein synthesis within the mitochondrion. Mitochondrial ribosomes (mitoribosomes) consist of a small 28S subunit and a large 39S subunit. They have an estimated 75% protein to rRNA composition compared to prokaryotic ribosomes, where this ratio is reversed. Another difference between mammalian mitoribosomes and prokaryotic ribosomes is that the latter contain a 5S rRNA. Among different species, the proteins comprising the mitoribosome differ greatly in sequence, and sometimes in biochemical properties, which prevents easy recognition by sequence homology. |
| 研究领域 | Controls and Markers antibody; Gene Regulation antibody; Metabolism antibody |
| 预测分子量 | 21 kDa |
检测图片 (3) Click the Picture to Zoom In
-
ARG65584 anti-MRPL12 antibody WB image
Western blot: 40 μg of 293T cell lysate stained with ARG65584 anti-MRPL12 antibody at 1:300 dilution. Exporsure time: 5 seconds.
-
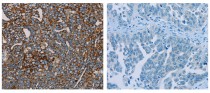
ARG65584 anti-MRPL12 antibody IHC-P image
Immunohistochemistry: Paraffin-embedded Human thyroid cancer tissue stained with ARG65584 anti-MRPL12 antibody (left) at 1:25 dilution, or the same antibody preincubated with fusion protein (right). (Original magnification: ×200)
-
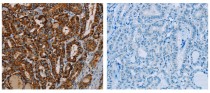
ARG65584 anti-MRPL12 antibody IHC-P image
Immunohistochemistry: Paraffin-embedded Human thyroid cancer tissue stained with ARG65584 anti-MRPL12 antibody (left) at 1:25 dilution, or the same antibody preincubated with fusion protein (right). (Original magnification: ×200)
