ARG64616
anti-MRP8 / ABCC11 antibody
anti-MRP8 / ABCC11 antibody for IHC-Formalin-fixed paraffin-embedded sections,Western blot and Human
Cancer antibody; Metabolism antibody; Signaling Transduction antibody
概述
| 产品描述 | Goat Polyclonal antibody recognizes MRP8 / ABCC11 |
|---|---|
| 反应物种 | Hu |
| 应用 | IHC-P, WB |
| 特异性 | This antibody is expected to recognize both reported isoforms (NP_115972.2; NP_660187.1). Reported variants represent identical protein (NP_115972.2; NP_149163.2). |
| 宿主 | Goat |
| 克隆 | Polyclonal |
| 同位型 | IgG |
| 靶点名称 | MRP8 / ABCC11 |
| 抗原物种 | Human |
| 抗原 | C-KVVEFDRPEVLRK |
| 偶联标记 | Un-conjugated |
| 別名 | WW; MRP8; EWWD; ATP-binding cassette sub-family C member 11; Multidrug resistance-associated protein 8 |
应用说明
| 应用建议 |
|
||||||
|---|---|---|---|---|---|---|---|
| 应用说明 | WB: Recommend incubate at RT for 1h. IHC-P: Antigen Retrieval: Steam tissue section in Citrate buffer (pH 6.0). * The dilutions indicate recommended starting dilutions and the optimal dilutions or concentrations should be determined by the scientist. |
属性
| 形式 | Liquid |
|---|---|
| 纯化 | Purified from goat serum by antigen affinity chromatography. |
| 缓冲液 | Tris saline (pH 7.3), 0.02% Sodium azide and 0.5% BSA. |
| 抗菌剂 | 0.02% Sodium azide |
| 稳定剂 | 0.5% BSA |
| 浓度 | 0.5 mg/ml |
| 存放说明 | For continuous use, store undiluted antibody at 2-8°C for up to a week. For long-term storage, aliquot and store at -20°C or below. Storage in frost free freezers is not recommended. Avoid repeated freeze/thaw cycles. Suggest spin the vial prior to opening. The antibody solution should be gently mixed before use. |
| 注意事项 | For laboratory research only, not for drug, diagnostic or other use. |
生物信息
| 数据库连接 |
Swiss-port # Q96J66 Human ATP-binding cassette sub-family C member 11 |
|---|---|
| 背景介绍 | The protein encoded by this gene is a member of the superfamily of ATP-binding cassette (ABC) transporters. ABC proteins transport various molecules across extra- and intra-cellular membranes. ABC genes are divided into seven distinct subfamilies (ABC1, MDR/TAP, MRP, ALD, OABP, GCN20, White). This ABC full transporter is a member of the MRP subfamily which is involved in multi-drug resistance. The product of this gene participates in physiological processes involving bile acids, conjugated steroids, and cyclic nucleotides. In addition, a SNP in this gene is responsible for determination of human earwax type. This gene and family member ABCC12 are determined to be derived by duplication and are both localized to chromosome 16q12.1. Multiple alternatively spliced transcript variants have been described for this gene. [provided by RefSeq, Jul 2008] |
| 研究领域 | Cancer antibody; Metabolism antibody; Signaling Transduction antibody |
| 预测分子量 | 154 kDa |
检测图片 (2) Click the Picture to Zoom In
-
ARG64616 anti-MRP8 / ABCC11 antibody WB image
Western Blot: Human Breast lysate (35 µg protein in RIPA buffer) stained with ARG64616 anti-MRP8 / ABCC11 antibody at 0.5 µg/ml dilution.
-
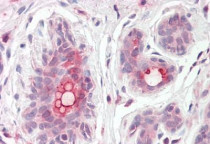
ARG64616 anti-MRP8 / ABCC11 antibody IHC-P image
Immunohistochemistry: Paraffin-embedded Human breast tissue. Antigen Retrieval: Steam tissue section in Citrate buffer (pH 6.0). The tissue section was stained with ARG64616 anti-MRP8 / ABCC11 antibody at 3.75 µg/ml dilution followed by AP-staining.
