ARG63547
anti-MRG15 / MORF4L1 antibody
anti-MRG15 / MORF4L1 antibody for IHC-Formalin-fixed paraffin-embedded sections,Western blot and Human,Mouse,Rat,Pig
Cancer antibody; Gene Regulation antibody
概述
| 产品描述 | Goat Polyclonal antibody recognizes MRG15 / MORF4L1 |
|---|---|
| 反应物种 | Hu, Ms, Rat, Pig |
| 预测物种 | Cow |
| 应用 | IHC-P, WB |
| 特异性 | This antibody is expected to recognise isoform 1 (NP_006782.1) and isoform 2 (NP_996670.1). |
| 宿主 | Goat |
| 克隆 | Polyclonal |
| 同位型 | IgG |
| 靶点名称 | MRG15 / MORF4L1 |
| 抗原物种 | Human |
| 抗原 | APKQDPKPKFQEG-C |
| 偶联标记 | Un-conjugated |
| 別名 | MORFRG15; S863-6; MORF-related gene 15 protein; Mortality factor 4-like protein 1; HsT17725; Protein MSL3-1; MEAF3; Eaf3; FWP006; Transcription factor-like protein MRG15; MRG15 |
应用说明
| 应用建议 |
|
||||||
|---|---|---|---|---|---|---|---|
| 应用说明 | WB: Recommend incubate at RT for 1h. IHC-P: Antigen Retrieval: Steam tissue section in Citrate buffer (pH 6.0). * The dilutions indicate recommended starting dilutions and the optimal dilutions or concentrations should be determined by the scientist. |
属性
| 形式 | Liquid |
|---|---|
| 纯化 | Purified from goat serum by antigen affinity chromatography. |
| 缓冲液 | Tris saline (pH 7.3), 0.02% Sodium azide and 0.5% BSA. |
| 抗菌剂 | 0.02% Sodium azide |
| 稳定剂 | 0.5% BSA |
| 浓度 | 0.5 mg/ml |
| 存放说明 | For continuous use, store undiluted antibody at 2-8°C for up to a week. For long-term storage, aliquot and store at -20°C or below. Storage in frost free freezers is not recommended. Avoid repeated freeze/thaw cycles. Suggest spin the vial prior to opening. The antibody solution should be gently mixed before use. |
| 注意事项 | For laboratory research only, not for drug, diagnostic or other use. |
生物信息
| 数据库连接 | |
|---|---|
| 基因名称 | MORF4L1 |
| 全名 | mortality factor 4 like 1 |
| 生物功能 | Component of the NuA4 histone acetyltransferase (HAT) complex which is involved in transcriptional activation of select genes principally by acetylation of nucleosomal histones H4 and H2A. This modification may both alter nucleosome - DNA interactions and promote interaction of the modified histones with other proteins which positively regulate transcription. This complex may be required for the activation of transcriptional programs associated with oncogene and proto-oncogene mediated growth induction, tumor suppressor mediated growth arrest and replicative senescence, apoptosis, and DNA repair. The NuA4 complex ATPase and helicase activities seem to be, at least in part, contributed by the association of RUVBL1 and RUVBL2 with EP400. NuA4 may also play a direct role in DNA repair when directly recruited to sites of DNA damage. Also component of the mSin3A complex which acts to repress transcription by deacetylation of nucleosomal histones. Required for homologous recombination repair (HRR) and resistance to mitomycin C (MMC). Involved in the localization of PALB2, BRCA2 and RAD51, but not BRCA1, to DNA-damage foci. [UniProt] |
| 研究领域 | Cancer antibody; Gene Regulation antibody |
| 预测分子量 | 41 kDa |
检测图片 (5) Click the Picture to Zoom In
-
ARG63547 anti-MRG15 / MORF4L1 antibody WB image
Western Blot: Mouse Liver lysate (35 µg protein in RIPA buffer) stained with ARG63547 anti-MRG15 / MORF4L1 antibody at 0.1 µg/ml dilution.
-
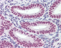
ARG63547 anti-MRG15 / MORF4L1 antibody IHC-P image
Immunohistochemistry: Paraffin-embedded Human uterus tissue. Antigen Retrieval: Steam tissue section in Citrate buffer (pH 6.0). The tissue section was stained with ARG63547 anti-MRG15 / MORF4L1 antibody at 2.5 µg/ml dilution followed by AP-staining.
-
ARG63547 anti-MRG15 / MORF4L1 antibody WB image
Western blot: 35 µg of NIH/3T3 (A) and HepG2 (B) lysates (in RIPA buffer) stained with ARG63547 anti-MRG15 / MORF4L1 antibody at 0.3 µg/ml dilution and incubated at RT for 1 hour.
-
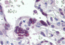
ARG63547 anti-MRG15 / MORF4L1 antibody IHC-P image
Immunohistochemistry: Paraffin-embedded Human placenta tissue. Antigen Retrieval: Steam tissue section in Citrate buffer (pH 6.0). The tissue section was stained with ARG63547 anti-MRG15 / MORF4L1 antibody at 2.5 µg/ml dilution followed by AP-staining.
-
ARG63547 anti-MRG15 / MORF4L1 antibody WB image
Western blot: 35 µg of Mouse liver (A), Rat liver (B) and Pig liver (C) lysates (in RIPA buffer) stained with ARG63547 anti-MRG15 / MORF4L1 antibody at 0.3 µg/ml dilution and incubated at RT for 1 hour.
