ARG42225
anti-MPV17 antibody
anti-MPV17 antibody for IHC-Formalin-fixed paraffin-embedded sections,Western blot and Human
概述
| 产品描述 | Goat Polyclonal antibody recognizes MPV17 |
|---|---|
| 反应物种 | Hu |
| 预测物种 | Ms, Rat, Cow, Dog |
| 应用 | IHC-P, WB |
| 宿主 | Goat |
| 克隆 | Polyclonal |
| 同位型 | IgG |
| 靶点名称 | MPV17 |
| 抗原物种 | Human |
| 抗原 | Synthetic peptide around the internal region of Human MPV17. (C-QRALAAHPWKVQ) (NP_002428.1) |
| 偶联标记 | Un-conjugated |
| 別名 | SYM1; Protein Mpv17; MTDPS6 |
应用说明
| 应用建议 |
|
||||||
|---|---|---|---|---|---|---|---|
| 应用说明 | IHC-P: Antigen Retrieval: Steam tissue section in Citrate buffer (pH 6.0). WB: Recommend incubate at RT for 1h. * The dilutions indicate recommended starting dilutions and the optimal dilutions or concentrations should be determined by the scientist. |
||||||
| 阳性对照 | Human frontal cortex | ||||||
| 实际分子量 | ~ 19 kDa |
属性
| 形式 | Liquid |
|---|---|
| 纯化 | Affinity purified |
| 缓冲液 | Tris saline (pH 7.3), 0.02% Sodium azide and 0.5% BSA. |
| 抗菌剂 | 0.02% Sodium azide |
| 稳定剂 | 0.5% BSA |
| 浓度 | 0.5 mg/ml |
| 存放说明 | For continuous use, store undiluted antibody at 2-8°C for up to a week. For long-term storage, aliquot and store at -20°C or below. Storage in frost free freezers is not recommended. Avoid repeated freeze/thaw cycles. Suggest spin the vial prior to opening. The antibody solution should be gently mixed before use. |
| 注意事项 | For laboratory research only, not for drug, diagnostic or other use. |
生物信息
| 数据库连接 | |
|---|---|
| 基因名称 | MPV17 |
| 全名 | MpV17 mitochondrial inner membrane protein |
| 背景介绍 | This gene encodes a mitochondrial inner membrane protein that is implicated in the metabolism of reactive oxygen species. Mutations in this gene have been associated with the hepatocerebral form of mitochondrial DNA depletion syndrome (MDDS). [provided by RefSeq, Jul 2008] |
| 生物功能 | Non-selective channel that modulates the membrane potential under normal conditions and oxidative stress, and is involved in mitochondrial homeostasis (PubMed:25861990). Involved in mitochondrial deoxynucleoside triphosphates (dNTP) pool homeostasis and mitochondrial DNA (mtDNA) maintenance (PubMed:26760297). May be involved in the regulation of reactive oxygen species metabolism and the control of oxidative phosphorylation (By similarity). [UniProt] |
| 细胞定位 | Mitochondrion inner membrane; Multi-pass membrane protein. [UniProt] |
| 预测分子量 | 20 kDa |
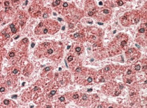
检测图片 (2) Click the Picture to Zoom In
-
ARG42225 anti-MPV17 antibody IHC-P image
Immunohistochemistry: Paraffin-embedded Human liver tissue. Antigen Retrieval: Steam tissue section in Citrate buffer (pH 6.0). The tissue section was stained with ARG42225 anti-MPV17 antibody at 5 µg/ml dilution followed by AP-staining.
-
ARG42225 anti-MPV17 antibody WB image
Western blot: 35 µg of Human frontal cortex lysate (in RIPA buffer) stained with ARG42225 anti-MPV17 antibody at 2 µg/ml dilution and incubated at RT for 1 hour.
