ARG44205
anti-MOCS2 antibody
anti-MOCS2 antibody for Flow cytometry,IHC-Formalin-fixed paraffin-embedded sections,Western blot and Human
概述
| 产品描述 | Rabbit Polyclonal antibody recognizes MOCS2 |
|---|---|
| 反应物种 | Hu |
| 应用 | FACS, IHC-P, WB |
| 宿主 | Rabbit |
| 克隆 | Polyclonal |
| 同位型 | IgG |
| 靶点名称 | MOCS2 |
| 抗原物种 | Human |
| 抗原 | Recombinant protein of Human MOCS2 |
| 偶联标记 | Un-conjugated |
| Protein Full name | Molybdopterin synthase catalytic subunit |
| 別名 | MOCS2; Molybdenum Cofactor Synthesis; MOCO1; Molybdopterin Synthase Catalytic Subunit; MOCS2A; MOCS2B; Molybdopterin Synthase Sulfur Carrier Subunit; MCBPE; Molybdenum Cofactor Synthesis Protein 2 Small Subunit; Molybdenum Cofactor Synthesis Protein 2 Large Subunit; Molybdenum Cofactor Biosynthesis Protein E; Molybdenum Cofactor Synthesis Protein 2A; Molybdenum Cofactor Synthesis Protein 2B; Molybdopterin Synthase Large Subunit; Molybdopterin Synthase Small Subunit; Molybdopterin-Synthase Small Subunit; Molybdopterin-Synthase Large Subunit; Sulfur Carrier Protein MOCS2A; MPT Synthase Large Subunit; EC 2.8.1.12; MOCO1-A; MOCO1-B; MOCODB; MPTS |
应用说明
| 应用建议 |
|
||||||||
|---|---|---|---|---|---|---|---|---|---|
| 应用说明 | * The dilutions indicate recommended starting dilutions and the optimal dilutions or concentrations should be determined by the scientist. |
属性
| 形式 | Liquid |
|---|---|
| 纯化 | Affinity purification with immunogen. |
| 缓冲液 | 0.9% NaCl, 0.2% Na2HPO4, 0.05% Sodium azide and 5% BSA. |
| 抗菌剂 | 0.05% Sodium azide |
| 稳定剂 | 5% BSA |
| 浓度 | 0.5 mg/ml |
| 存放说明 | For continuous use, store undiluted antibody at 2-8°C for up to a week. For long-term storage, aliquot and store at -20°C or below. Storage in frost free freezers is not recommended. Avoid repeated freeze/thaw cycles. Suggest spin the vial prior to opening. The antibody solution should be gently mixed before use. |
| 注意事项 | For laboratory research only, not for drug, diagnostic or other use. |
生物信息
| 数据库连接 |
Swiss-port # O96033 Human Molybdopterin synthase sulfur carrier subunit |
|---|---|
| 基因名称 | MOCS2 |
| 全名 | Molybdenum Cofactor Synthesis 2 |
| 背景介绍 | Eukaryotic molybdoenzymes use a unique molybdenum cofactor (MoCo) consisting of a pterin, termed molybdopterin, and the catalytically active metal molybdenum. MoCo is synthesized from precursor Z by the heterodimeric enzyme molybdopterin synthase. The large and small subunits of molybdopterin synthase are both encoded from this gene by overlapping open reading frames. The proteins were initially thought to be encoded from a bicistronic transcript. They are now thought to be encoded from monocistronic transcripts. Alternatively spliced transcripts have been found for this locus that encode the large and small subunits. |
| 预测分子量 | 21 kDa |
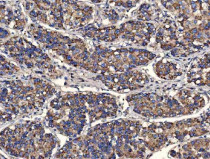
检测图片 (3) Click the Picture to Zoom In
-
ARG44205 anti-MOCS2 antibody IHC-P image
Immunohistochemistry: Human liver cancer stained with ARG44205 anti-MOCS2 antibody at 2 μg/mL dilution.
-
ARG44205 anti-MOCS2 antibody WB image
Western blot: 293T, Jurkat and K562 stained with ARG44205 anti-MOCS2 antibody at 0.5 μg/mL dilution.
-
ARG44205 anti-MOCS2 antibody FACS image
Flow Cytometry: JK stained with ARG44205 anti-MOCS2 antibody at 1 μg/1x10^6 cells dilution.
