ARG66729
anti-MOB2 / HCCA2 antibody
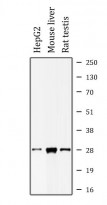
anti-MOB2 / HCCA2 antibody for Western blot and Human,Mouse,Rat
概述
| 产品描述 | Rabbit Polyclonal antibody recognizes MOB2 / HCCA2 |
|---|---|
| 反应物种 | Hu, Ms, Rat |
| 应用 | WB |
| 宿主 | Rabbit |
| 克隆 | Polyclonal |
| 同位型 | IgG |
| 靶点名称 | MOB2 / HCCA2 |
| 抗原物种 | Human |
| 抗原 | KLH-conjugated synthetic peptide within the N-terminal region of Human MOB2 / HCCA2. |
| 偶联标记 | Un-conjugated |
| 別名 | MOB kinase activator 2; Mps one binder kinase activator-like 2; HCCA2; Mob2 homolog |
应用说明
| 应用建议 |
|
||||
|---|---|---|---|---|---|
| 应用说明 | * The dilutions indicate recommended starting dilutions and the optimal dilutions or concentrations should be determined by the scientist. | ||||
| 阳性对照 | HepG2, Mouse liver and Rat testis | ||||
| 实际分子量 | ~ 28 kDa |
属性
| 形式 | Liquid |
|---|---|
| 纯化 | Affinity purification with immunogen. |
| 缓冲液 | 0.42% Potassium phosphate (pH 7.3), 0.87% NaCl, 0.01% Sodium azide and 30% Glycerol. |
| 抗菌剂 | 0.01% Sodium azide |
| 稳定剂 | 30% Glycerol |
| 存放说明 | For continuous use, store undiluted antibody at 2-8°C for up to a week. For long-term storage, aliquot and store at -20°C. Storage in frost free freezers is not recommended. Avoid repeated freeze/thaw cycles. Suggest spin the vial prior to opening. The antibody solution should be gently mixed before use. |
| 注意事项 | For laboratory research only, not for drug, diagnostic or other use. |
生物信息
| 数据库连接 | |
|---|---|
| 基因名称 | MOB2 |
| 全名 | MOB kinase activator 2 |
| 生物功能 | Stimulates the autophosphorylation and kinase activity of STK38 and STK38L. [UniProt] |
| 细胞定位 | Nucleus. Cytoplasm, perinuclear region. [UniProt] |
| 预测分子量 | 27 kDa |
| 翻译后修饰 | Phosphorylated. [UniProt] |
检测图片 (1) Click the Picture to Zoom In
