ARG44181
anti-MOAP1 antibody
anti-MOAP1 antibody for Flow cytometry,IHC-Formalin-fixed paraffin-embedded sections,Western blot and Human
概述
| 产品描述 | Rabbit Polyclonal antibody recognizes MOAP1 |
|---|---|
| 反应物种 | Hu |
| 应用 | FACS, IHC-P, WB |
| 宿主 | Rabbit |
| 克隆 | Polyclonal |
| 同位型 | IgG |
| 靶点名称 | MOAP1 |
| 抗原物种 | Human |
| 抗原 | Recombinant protein of Human MOAP1 |
| 偶联标记 | Un-conjugated |
| Protein Full name | Modulator of apoptosis 1 |
| 別名 | MOAP1; Modulator Of Apoptosis 1; MAP-1; PNMA4; Paraneoplastic Ma Antigen Family Member 4; Paraneoplastic Antigen Ma4; MAP1; Paraneoplastic Antigen Like 4 |
应用说明
| 应用建议 |
|
||||||||
|---|---|---|---|---|---|---|---|---|---|
| 应用说明 | * The dilutions indicate recommended starting dilutions and the optimal dilutions or concentrations should be determined by the scientist. |
属性
| 形式 | Liquid |
|---|---|
| 纯化 | Affinity purification with immunogen. |
| 缓冲液 | 0.9% NaCl, 0.2% Na2HPO4, 0.05% Sodium azide and 5% BSA. |
| 抗菌剂 | 0.05% Sodium azide |
| 稳定剂 | 5% BSA |
| 浓度 | 0.5 mg/ml |
| 存放说明 | For continuous use, store undiluted antibody at 2-8°C for up to a week. For long-term storage, aliquot and store at -20°C or below. Storage in frost free freezers is not recommended. Avoid repeated freeze/thaw cycles. Suggest spin the vial prior to opening. The antibody solution should be gently mixed before use. |
| 注意事项 | For laboratory research only, not for drug, diagnostic or other use. |
生物信息
| 数据库连接 | |
|---|---|
| 基因名称 | MOAP1 |
| 全名 | Modulator Of Apoptosis 1 |
| 背景介绍 | The protein encoded by this gene was identified by its interaction with apoptosis regulator BAX protein. This protein contains a Bcl-2 homology 3 (BH3)-like motif, which is required for the association with BAX. When overexpressed, this gene has been shown to mediate caspase-dependent apoptosis. |
| 生物功能 | Retrotransposon-derived protein that forms virion-like capsids (By similarity). Acts as an effector of BAX during apoptosis: enriched at outer mitochondria membrane and associates with BAX upon induction of apoptosis, facilitating BAX-dependent mitochondrial outer membrane permeabilization and apoptosis. |
| 细胞定位 | Cytoplasm, Membrane, Mitochondrion, Mitochondrion outer membrane |
| 预测分子量 | 40 kDa |
| 翻译后修饰 | Ubl conjugation |
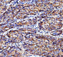
检测图片 (3) Click the Picture to Zoom In
-
ARG44181 anti-MOAP1 antibody IHC-P image
Immunohistochemistry: Human liver cancer stained with ARG44181 anti-MOAP1 antibody at 2 μg/mL dilution.
-
ARG44181 anti-MOAP1 antibody WB image
Western blot: RT4 stained with ARG44181 anti-MOAP1 antibody at 0.5 μg/mL dilution.
-
ARG44181 anti-MOAP1 antibody FACS image
Flow Cytometry: U251 stained with ARG44181 anti-MOAP1 antibody at 1 μg/1x10^6 cells dilution.
