ARG45579
anti-MIRO1 antibody
anti-MIRO1 antibody for ICC/IF,IHC-Formalin-fixed paraffin-embedded sections,Western blot and Human,Mouse,Rat
概述
| 产品描述 | Rabbit Polyclonal antibody recognizes MIRO1 |
|---|---|
| 反应物种 | Hu, Ms, Rat |
| 应用 | ICC/IF, IHC-P, WB |
| 宿主 | Rabbit |
| 克隆 | Polyclonal |
| 同位型 | IgG |
| 靶点名称 | MIRO1 |
| 抗原物种 | Human |
| 抗原 | Recombinant protein containing to human MIRO1. |
| 偶联标记 | Un-conjugated |
| 別名 | RHOT1; Ras Homolog Family Member T1; MIRO-1; MIRO1; ARHT1; Ras Homolog Gene Family, Member T1; Mitochondrial Rho (MIRO) GTPase 1; Mitochondrial Rho GTPase 1; FLJ11040; Rac-GTP Binding Protein-Like Protein; Rac-GTP-Binding Protein-Like Protein; Ras Homolog Gene Family Member T1; EC 3.6.5.-; EC 3.6.5; HMiro-1 |
应用说明
| 应用建议 |
|
||||||||
|---|---|---|---|---|---|---|---|---|---|
| 应用说明 | * The dilutions indicate recommended starting dilutions and the optimal dilutions or concentrations should be determined by the scientist. | ||||||||
| 实际分子量 | 71 kDa |
属性
| 形式 | Liquid |
|---|---|
| 纯化 | Affinity purified |
| 缓冲液 | 0.2% Na2HPO4, 0.9% NaCl and 4% Trehalose. |
| 稳定剂 | 4% Trehalose |
| 浓度 | 0.5 mg/ml |
| 存放说明 | For continuous use, store undiluted antibody at 2-8°C for up to a week. For long-term storage, aliquot and store at -20°C or below. Storage in frost free freezers is not recommended. Avoid repeated freeze/thaw cycles. Suggest spin the vial prior to opening. The antibody solution should be gently mixed before use. |
| 注意事项 | For laboratory research only, not for drug, diagnostic or other use. |
生物信息
| 数据库连接 | |
|---|---|
| 基因名称 | RHOT1 |
| 全名 | Ras Homolog Family Member T1 |
| 背景介绍 | Predicted to enable GTP binding activity and GTPase activity. Involved in several processes, including mitochondrial outer membrane permeabilization; mitochondrion transport along microtubule; and regulation of mitochondrion organization. Located in mitochondrial outer membrane. [provided by Alliance of Genome Resources, Feb 2025] |
| 生物功能 | Mitochondrial GTPase involved in mitochondrial trafficking. [UniProt] |
| 细胞定位 | Mitochondrion outer membrane. [UniProt] |
| 预测分子量 | 71 kDa |
| 翻译后修饰 | Ubl conjugation. [UniProt] |
检测图片 (5) Click the Picture to Zoom In
-
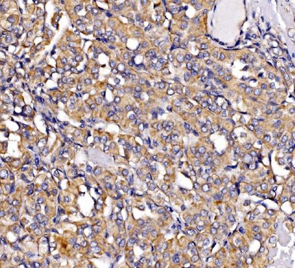
ARG45579 anti-MIRO1 antibody IHC-P image
Immunohistochemistry: Human thyroid papillary carcinoma stained with ARG45579 anti-MIRO1 antibody at 2 μg/ml dilution.
-
ARG45579 anti-MIRO1 antibody ICC/IF image
Immunofluorescence: T47D stained with ARG45579 anti-MIRO1 antibody at 5 μg/ml dilution.
-
ARG45579 anti-MIRO1 antibody WB image
Western blot: HepG2 stained with ARG45579 anti-MIRO1 antibody at 0.5 μg/ml dilution.
-
ARG45579 anti-MIRO1 antibody WB image
Western blot: Rat liver stained with ARG45579 anti-MIRO1 antibody at 0.5 μg/ml dilution.
-
ARG45579 anti-MIRO1 antibody WB image
Western blot: Mouse liver stained with ARG45579 anti-MIRO1 antibody at 0.5 μg/ml dilution.
