ARG66180
anti-MICU1 / CBARA1 antibody
anti-MICU1 / CBARA1 antibody for IHC-Formalin-fixed paraffin-embedded sections,Western blot and Human,Mouse,Rat
概述
| 产品描述 | Mouse Monoclonal antibody recognizes MICU1 / CBARA1 |
|---|---|
| 反应物种 | Hu, Ms, Rat |
| 应用 | IHC-P, WB |
| 特异性 | The antibody detects endogenous MICU1 protein. |
| 宿主 | Mouse |
| 克隆 | Monoclonal |
| 靶点名称 | MICU1 / CBARA1 |
| 抗原物种 | Human |
| 抗原 | Recombinant Protein of Human MICU1 / CBARA1. |
| 偶联标记 | Un-conjugated |
| 別名 | MPXPS; allergen Hom s 4; Calcium uptake protein 1, mitochondrial; Atopy-related autoantigen CALC; CBARA1; ara CALC; CALC; Calcium-binding atopy-related autoantigen 1; EFHA3 |
应用说明
| 应用建议 |
|
||||||
|---|---|---|---|---|---|---|---|
| 应用说明 | IHC-P: Antigen Retrieval: Boil tissue section in Sodium citrate buffer (pH 6.0) for 20 min. * The dilutions indicate recommended starting dilutions and the optimal dilutions or concentrations should be determined by the scientist. |
属性
| 形式 | Liquid |
|---|---|
| 纯化 | Affinity purification with immunogen. |
| 缓冲液 | PBS (pH 7.4), 0.02% Sodium azide and 50% Glycerol. |
| 抗菌剂 | 0.02% Sodium azide |
| 稳定剂 | 50% Glycerol |
| 浓度 | 1 mg/ml |
| 存放说明 | For continuous use, store undiluted antibody at 2-8°C for up to a week. For long-term storage, aliquot and store at -20°C. Storage in frost free freezers is not recommended. Avoid repeated freeze/thaw cycles. Suggest spin the vial prior to opening. The antibody solution should be gently mixed before use. |
| 注意事项 | For laboratory research only, not for drug, diagnostic or other use. |
生物信息
| 数据库连接 | |
|---|---|
| 基因名称 | MICU1 |
| 全名 | mitochondrial calcium uptake 1 |
| 背景介绍 | This gene encodes an essential regulator of mitochondrial Ca2+ uptake under basal conditions. The encoded protein interacts with the mitochondrial calcium uniporter, a mitochondrial inner membrane Ca2+ channel, and is essential in preventing mitochondrial Ca2+ overload, which can cause excessive production of reactive oxygen species and cell stress. Alternatively spliced transcript variants encoding different isoforms have been described. [provided by RefSeq, Mar 2013] |
| 生物功能 | Key regulator of mitochondrial calcium uniporter (MCU) required to increase calcium uptake by MCU when cytoplasmic calcium is high. MICU1 and MICU2 form a disulfide-linked heterodimer that stimulate and inhibit MCU activity, respectively. MICU1 acts as a stimulator of MCU that senses calcium level via its EF-hand domains: enhances MCU opening at high Ca(2+) concentration, allowing a rapid response of mitochondria to Ca(2+) signals generated in the cytoplasm. Regulates glucose-dependent insulin secretion in pancreatic beta-cells by regulating mitochondrial calcium uptake. Induces T-helper 1-mediated autoreactivity, which is accompanied by the release of IFNG. [UniProt] |
| 预测分子量 | 54 kDa |
检测图片 (15) Click the Picture to Zoom In
-
ARG66180 anti-MICU1 / CBARA1 antibody IHC-P image
Immunohistochemistry: Paraffin-embedded Human uterus tissue stained with ARG66180 anti-MICU1 / CBARA1 antibody at 1:200 dilution (4°C, overnight). Antigen Retrieval: Boil tissue section in Sodium citrate buffer (pH 6.0) for 20 min.
Negative control was used by secondary antibody only.
-
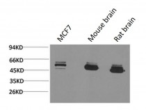
ARG66180 anti-MICU1 / CBARA1 antibody WB image
Western blot: 1) MCF7, 2) Mouse brain, and 3) Rat brain lysates stained with ARG66180 anti-MICU1 / CBARA1 antibody.
-
ARG66180 anti-MICU1 / CBARA1 antibody IHC-P image
Immunohistochemistry: Paraffin-embedded Human uterus cancer tissue stained with ARG66180 anti-MICU1 / CBARA1 antibody at 1:200 dilution (4°C, overnight). Antigen Retrieval: Boil tissue section in Sodium citrate buffer (pH 6.0) for 20 min.
Negative control was used by secondary antibody only.
-
ARG66180 anti-MICU1 / CBARA1 antibody IHC-P image
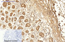
Immunohistochemistry: Paraffin-embedded Human colon tissue stained with ARG66180 anti-MICU1 / CBARA1 antibody at 1:200 dilution (4°C, overnight). Antigen Retrieval: Boil tissue section in Sodium citrate buffer (pH 6.0) for 20 min.
Negative control was used by secondary antibody only.
-
ARG66180 anti-MICU1 / CBARA1 antibody IHC-P image
Immunohistochemistry: Paraffin-embedded Human liver cancer tissue stained with ARG66180 anti-MICU1 / CBARA1 antibody at 1:200 dilution (4°C, overnight). Antigen Retrieval: Boil tissue section in Sodium citrate buffer (pH 6.0) for 20 min.
Negative control was used by secondary antibody only.
-
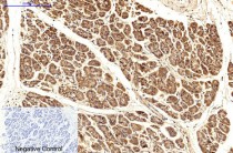
ARG66180 anti-MICU1 / CBARA1 antibody IHC-P image
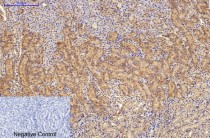
Immunohistochemistry: Paraffin-embedded Human stomach tissue stained with ARG66180 anti-MICU1 / CBARA1 antibody at 1:200 dilution (4°C, overnight). Antigen Retrieval: Boil tissue section in Sodium citrate buffer (pH 6.0) for 20 min.
Negative control was used by secondary antibody only.
-
ARG66180 anti-MICU1 / CBARA1 antibody IHC-P image
Immunohistochemistry: Paraffin-embedded Human stomach cancer tissue stained with ARG66180 anti-MICU1 / CBARA1 antibody at 1:200 dilution (4°C, overnight). Antigen Retrieval: Boil tissue section in Sodium citrate buffer (pH 6.0) for 20 min.
Negative control was used by secondary antibody only.
-
ARG66180 anti-MICU1 / CBARA1 antibody IHC-P image
Immunohistochemistry: Paraffin-embedded Rat spinal-cord tissue stained with ARG66180 anti-MICU1 / CBARA1 antibody at 1:200 dilution (4°C, overnight). Antigen Retrieval: Boil tissue section in Sodium citrate buffer (pH 6.0) for 20 min.
Negative control was used by secondary antibody only.
-
ARG66180 anti-MICU1 / CBARA1 antibody IHC-P image
Immunohistochemistry: Paraffin-embedded Rat brain tissue stained with ARG66180 anti-MICU1 / CBARA1 antibody at 1:200 dilution (4°C, overnight). Antigen Retrieval: Boil tissue section in Sodium citrate buffer (pH 6.0) for 20 min.
Negative control was used by secondary antibody only.
-
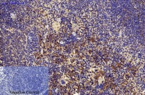
ARG66180 anti-MICU1 / CBARA1 antibody IHC-P image
Immunohistochemistry: Paraffin-embedded Rat spleen tissue stained with ARG66180 anti-MICU1 / CBARA1 antibody at 1:200 dilution (4°C, overnight). Antigen Retrieval: Boil tissue section in Sodium citrate buffer (pH 6.0) for 20 min.
Negative control was used by secondary antibody only.
-
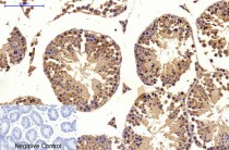
ARG66180 anti-MICU1 / CBARA1 antibody IHC-P image
Immunohistochemistry: Paraffin-embedded Mouse testis tissue stained with ARG66180 anti-MICU1 / CBARA1 antibody at 1:200 dilution (4°C, overnight). Antigen Retrieval: Boil tissue section in Sodium citrate buffer (pH 6.0) for 20 min.
Negative control was used by secondary antibody only.
-
ARG66180 anti-MICU1 / CBARA1 antibody IHC-P image
Immunohistochemistry: Paraffin-embedded Mouse kidney tissue stained with ARG66180 anti-MICU1 / CBARA1 antibody at 1:200 dilution (4°C, overnight). Antigen Retrieval: Boil tissue section in Sodium citrate buffer (pH 6.0) for 20 min.
Negative control was used by secondary antibody only.
-
ARG66180 anti-MICU1 / CBARA1 antibody IHC-P image
Immunohistochemistry: Paraffin-embedded Mouse brain tissue stained with ARG66180 anti-MICU1 / CBARA1 antibody at 1:200 dilution (4°C, overnight). Antigen Retrieval: Boil tissue section in Sodium citrate buffer (pH 6.0) for 20 min.
Negative control was used by secondary antibody only.
-
ARG66180 anti-MICU1 / CBARA1 antibody IHC-P image
Immunohistochemistry: Paraffin-embedded Mouse spleen tissue stained with ARG66180 anti-MICU1 / CBARA1 antibody at 1:200 dilution (4°C, overnight). Antigen Retrieval: Boil tissue section in Sodium citrate buffer (pH 6.0) for 20 min.
Negative control was used by secondary antibody only.
-
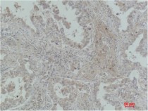
ARG66180 anti-MICU1 / CBARA1 antibody IHC-P image
Immunohistochemistry: Paraffin-embedded Human Lung Carcinoma stained with ARG66180 anti-MICU1 / CBARA1 antibody.
