ARG43260
anti-MEX3A antibody
anti-MEX3A antibody for IHC-Formalin-fixed paraffin-embedded sections,Western blot and Human
概述
| 产品描述 | Rabbit Polyclonal antibody recognizes MEX3A |
|---|---|
| 反应物种 | Hu |
| 预测物种 | Ms, Rat |
| 应用 | IHC-P, WB |
| 宿主 | Rabbit |
| 克隆 | Polyclonal |
| 同位型 | IgG |
| 靶点名称 | MEX3A |
| 抗原物种 | Human |
| 抗原 | A 14-amino acid synthetic peptide within aa. 420-470 of Human MEX3A. |
| 偶联标记 | Un-conjugated |
| 別名 | RING finger and KH domain-containing protein 4; RKHD4; RNA-binding protein MEX3A; MEX-3A |
应用说明
| 应用建议 |
|
||||||
|---|---|---|---|---|---|---|---|
| 应用说明 | * The dilutions indicate recommended starting dilutions and the optimal dilutions or concentrations should be determined by the scientist. | ||||||
| 阳性对照 | SK-N-SH | ||||||
| 实际分子量 | ~ 65 kDa |
属性
| 形式 | Liquid |
|---|---|
| 纯化 | Affinity purification with immunogen. |
| 缓冲液 | PBS and 0.02% Sodium azide. |
| 抗菌剂 | 0.02% Sodium azide |
| 存放说明 | For continuous use, store undiluted antibody at 2-8°C for up to a week. For long-term storage, aliquot and store at -20°C or below. Storage in frost free freezers is not recommended. Avoid repeated freeze/thaw cycles. Suggest spin the vial prior to opening. The antibody solution should be gently mixed before use. |
| 注意事项 | For laboratory research only, not for drug, diagnostic or other use. |
生物信息
| 数据库连接 | |
|---|---|
| 基因名称 | MEX3A |
| 全名 | mex-3 RNA binding family member A |
| 生物功能 | RNA binding protein, may be involved in post-transcriptional regulatory mechanisms. [UniProt] |
| 细胞定位 | Cytoplasm. Nucleus. Cytoplasm, P-body. Note=Predominantly expressed in the cytoplasm and shuttles between the cytoplasm and the nucleus through the CRM1 export pathway. [UniProt] |
| 预测分子量 | 54 kDa |
| 翻译后修饰 | Phosphorylated. [UniProt] |
检测图片 (3) Click the Picture to Zoom In
-
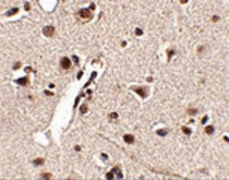
ARG43260 anti-MEX3A antibody IHC-P image
Immunohistochemistry: Paraffin-embedded Human brain tissue stained with ARG43260 anti-MEX3A antibody at 20 µg/ml dilution.
-
ARG43260 anti-MEX3A antibody WB image
Western blot: SK-N-SH cell lysate stained with ARG43260 anti-MEX3A antibody at 1 µg/ml dilution in the absence (left) and the presence of blocking peptide (right).
-
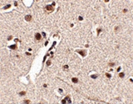
ARG43260 anti-MEX3A antibody IHC-P image
Immunohistochemistry: Paraffin-embedded Human brain tissue stained with ARG43260 anti-MEX3A antibody at 2.5 µg/ml dilution.
