ARG65817
anti-MEOX2 antibody
anti-MEOX2 antibody for IHC-Formalin-fixed paraffin-embedded sections,Western blot and Human
概述
| 产品描述 | Rabbit Polyclonal antibody recognizes MEOX2 |
|---|---|
| 反应物种 | Hu |
| 预测物种 | Ms, Rat, Pig |
| 应用 | IHC-P, WB |
| 特异性 | Recognizes endogenous levels of MEOX2 protein. |
| 宿主 | Rabbit |
| 克隆 | Polyclonal |
| 同位型 | IgG |
| 靶点名称 | MEOX2 |
| 抗原物种 | Human |
| 抗原 | KLH-conjugated synthetic peptide around the center region of Human MEOX2. |
| 偶联标记 | Un-conjugated |
| 別名 | Mesenchyme homeobox 2; Homeobox protein MOX-2; Growth arrest-specific homeobox; MOX2; GAX |
应用说明
| 应用建议 |
|
||||||
|---|---|---|---|---|---|---|---|
| 应用说明 | IHC-P: Antigen Retrieval: Sodium citrate buffer (10mM, pH 6.0), Boiling bathing for 20 min. * The dilutions indicate recommended starting dilutions and the optimal dilutions or concentrations should be determined by the scientist. |
属性
| 形式 | Liquid |
|---|---|
| 纯化 | Affinity purification with immunogen. |
| 缓冲液 | Liquid (pH 7.3), 0.42% Potassium phosphate, 0.87% NaCl, 0.01% Sodium azide and 30% Glycerol. |
| 抗菌剂 | 0.01% Sodium azide |
| 稳定剂 | 30% Glycerol |
| 存放说明 | For continuous use, store undiluted antibody at 2-8°C for up to a week. For long-term storage, aliquot and store at -20°C. Storage in frost free freezers is not recommended. Avoid repeated freeze/thaw cycles. Suggest spin the vial prior to opening. The antibody solution should be gently mixed before use. |
| 注意事项 | For laboratory research only, not for drug, diagnostic or other use. |
生物信息
| 数据库连接 | |
|---|---|
| 基因名称 | MEOX2 |
| 全名 | mesenchyme homeobox 2 |
| 背景介绍 | This gene encodes a member of a subfamily of non-clustered, diverged, antennapedia-like homeobox-containing genes. The encoded protein may play a role in the regulation of vertebrate limb myogenesis. Mutations in the related mouse protein may be associated with craniofacial and/or skeletal abnormalities, in addition to neurovascular dysfunction observed in Alzheimer's disease. [provided by RefSeq, Jul 2008] |
| 生物功能 | Mesodermal transcription factor that plays a key role in somitogenesis and is required for sclerotome development (By similarity). Activates expression of CDKN1A and CDKN2A in endothelial cells, acting as a regulator of vascular cell proliferation. While it activates CDKN1A in a DNA-dependent manner, it activates CDKN2A in a DNA-independent manner. May have a regulatory role when quiescent vascular smooth muscle cells reenter the cell cycle. [UniProt] |
| 预测分子量 | 34 kDa |
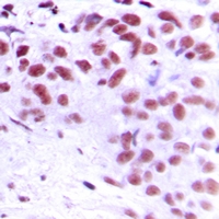
检测图片 (2) Click the Picture to Zoom In
-
ARG65817 anti-MEOX2 antibody IHC-P image
Immunohistochemistry: Formalin-fixed and paraffin-embedded Human breast cancer tissue section. Antigen retrieval: Sodium citrate buffer (10mM, pH 6.0), Boiling bathing for 20 min. The section was stained with ARG65817 anti-MEOX2 antibody at RT and detected using an HRP conjugated compact polymer system. DAB was used as the chromogen. The section was then counterstained with haematoxylin and mounted with DPX.
-
ARG65817 anti-MEOX2 antibody WB image
Western blot: HeLa whole cell lysates stained with ARG65817 anti-MEOX2 antibody.
