ARG43092
anti-MCUR1 antibody
anti-MCUR1 antibody for IHC-Formalin-fixed paraffin-embedded sections,Western blot and Human,Mouse,Rat
概述
| 产品描述 | Rabbit Polyclonal antibody recognizes MCUR1 |
|---|---|
| 反应物种 | Hu, Ms, Rat |
| 应用 | IHC-P, WB |
| 宿主 | Rabbit |
| 克隆 | Polyclonal |
| 同位型 | IgG |
| 靶点名称 | MCUR1 |
| 抗原物种 | Human |
| 抗原 | Synthetic peptide corresponding to a sequence of Human MCUR1. (ATQQAEIIVSALVKILEANMDIVYKDMVTKMQQE) |
| 偶联标记 | Un-conjugated |
| 別名 | CCDC90A; C6orf79; Mitochondrial calcium uniporter regulator 1; Coiled-coil domain-containing protein 90A, mitochondrial |
应用说明
| 应用建议 |
|
||||||
|---|---|---|---|---|---|---|---|
| 应用说明 | IHC-P: Antigen Retrieval: Heat mediation was performed in Citrate buffer (pH 6.0) for 20 min. * The dilutions indicate recommended starting dilutions and the optimal dilutions or concentrations should be determined by the scientist. |
||||||
| 实际分子量 | ~ 40 kDa |
属性
| 形式 | Liquid |
|---|---|
| 纯化 | Affinity purification with immunogen. |
| 缓冲液 | 0.2% Na2HPO4, 0.9% NaCl, 0.05% Sodium azide and 4% Trehalose. |
| 抗菌剂 | 0.05% Sodium azide |
| 稳定剂 | 4% Trehalose |
| 浓度 | 0.5 mg/ml |
| 存放说明 | For continuous use, store undiluted antibody at 2-8°C for up to a week. For long-term storage, aliquot and store at -20°C or below. Storage in frost free freezers is not recommended. Avoid repeated freeze/thaw cycles. Suggest spin the vial prior to opening. The antibody solution should be gently mixed before use. |
| 注意事项 | For laboratory research only, not for drug, diagnostic or other use. |
生物信息
| 数据库连接 |
Swiss-port # Q96AQ8 Human Mitochondrial calcium uniporter regulator 1 Swiss-port # Q9CXD6 Mouse Mitochondrial calcium uniporter regulator 1 |
|---|---|
| 基因名称 | MCUR1 |
| 全名 | mitochondrial calcium uniporter regulator 1 |
| 生物功能 | Key regulator of mitochondrial calcium uniporter (MCU) required for calcium entry into mitochondrion (PubMed:23178883, PubMed:26445506, PubMed:27184846, PubMed:26976564). Plays a direct role in uniporter-mediated calcium uptake via a direct interaction with MCU (PubMed:23178883). Probably involved in the assembly of the membrane components of the uniporter complex (uniplex) (PubMed:27184846). [UniProt] |
| 细胞定位 | Mitochondrion inner membrane; Multi-pass membrane protein. [UniProt] |
| 预测分子量 | 40 kDa |
检测图片 (6) Click the Picture to Zoom In
-
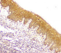
ARG43092 anti-MCUR1 antibody IHC-P image
Immunohistochemistry: Paraffin-embedded Human oesophagus squama cancer tissue. Antigen Retrieval: Heat mediation was performed in Citrate buffer (pH 6.0) for 20 min. The tissue section was blocked with 10% goat serum. The tissue section was then stained with ARG43092 anti-MCUR1 antibody at 1 µg/ml dilution, overnight at 4°C.
-
ARG43092 anti-MCUR1 antibody WB image
Western blot: 50 µg of sample under reducing conditions. HeLa, MDA-MB-231, HL-60, MDA-MB-453, A431, Caco-2, Rat spleen, Mouse lung and Ana-1 whole cell lysates stained with ARG43092 anti-MCUR1 antibody at 0.5 µg/ml dilution, overnight at 4°C.
-
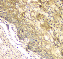
ARG43092 anti-MCUR1 antibody IHC-P image
Immunohistochemistry: Paraffin-embedded Human ovary cancer tissue. Antigen Retrieval: Heat mediation was performed in Citrate buffer (pH 6.0) for 20 min. The tissue section was blocked with 10% goat serum. The tissue section was then stained with ARG43092 anti-MCUR1 antibody at 1 µg/ml dilution, overnight at 4°C.
-
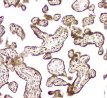
ARG43092 anti-MCUR1 antibody IHC-P image
Immunohistochemistry: Paraffin-embedded Human placenta tissue. Antigen Retrieval: Heat mediation was performed in Citrate buffer (pH 6.0) for 20 min. The tissue section was blocked with 10% goat serum. The tissue section was then stained with ARG43092 anti-MCUR1 antibody at 1 µg/ml dilution, overnight at 4°C.
-
ARG43092 anti-MCUR1 antibody IHC-P image
Immunohistochemistry: Paraffin-embedded Human tonsil tissue. Antigen Retrieval: Heat mediation was performed in Citrate buffer (pH 6.0) for 20 min. The tissue section was blocked with 10% goat serum. The tissue section was then stained with ARG43092 anti-MCUR1 antibody at 1 µg/ml dilution, overnight at 4°C.
-
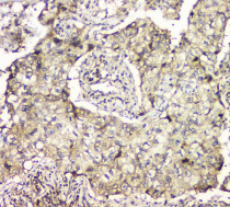
ARG43092 anti-MCUR1 antibody IHC-P image
Immunohistochemistry: Paraffin-embedded Human lung cancer tissue. Antigen Retrieval: Heat mediation was performed in Citrate buffer (pH 6.0) for 20 min. The tissue section was blocked with 10% goat serum. The tissue section was then stained with ARG43092 anti-MCUR1 antibody at 1 µg/ml dilution, overnight at 4°C.
