ARG64093
anti-MBD2 antibody
anti-MBD2 antibody for IHC-Formalin-fixed paraffin-embedded sections,Western blot and Human
Gene Regulation antibody
概述
| 产品描述 | Goat Polyclonal antibody recognizes MBD2 |
|---|---|
| 反应物种 | Hu |
| 预测物种 | Ms, Rat, Dog |
| 应用 | IHC-P, WB |
| 特异性 | This antibody is expected to resognize isoform 1 (NP_003918.1) only. |
| 宿主 | Goat |
| 克隆 | Polyclonal |
| 同位型 | IgG |
| 靶点名称 | MBD2 |
| 抗原物种 | Human |
| 抗原 | C-RNDPLNQNKGKPDLN |
| 偶联标记 | Un-conjugated |
| 別名 | Methyl-CpG-binding protein MBD2; Methyl-CpG-binding domain protein 2; Demethylase; NY-CO-41; DMTase |
应用说明
| 应用建议 |
|
||||||
|---|---|---|---|---|---|---|---|
| 应用说明 | WB: Recommend incubate at RT for 1h. IHC-P: Antigen Retrieval: Steam tissue section in Citrate buffer (pH 6.0). * The dilutions indicate recommended starting dilutions and the optimal dilutions or concentrations should be determined by the scientist. |
属性
| 形式 | Liquid |
|---|---|
| 纯化 | Purified from goat serum by antigen affinity chromatography. |
| 缓冲液 | Tris saline (pH 7.3), 0.02% Sodium azide and 0.5% BSA. |
| 抗菌剂 | 0.02% Sodium azide |
| 稳定剂 | 0.5% BSA |
| 浓度 | 0.5 mg/ml |
| 存放说明 | For continuous use, store undiluted antibody at 2-8°C for up to a week. For long-term storage, aliquot and store at -20°C or below. Storage in frost free freezers is not recommended. Avoid repeated freeze/thaw cycles. Suggest spin the vial prior to opening. The antibody solution should be gently mixed before use. |
| 注意事项 | For laboratory research only, not for drug, diagnostic or other use. |
生物信息
| 数据库连接 |
Swiss-port # Q9UBB5 Human Methyl-CpG-binding domain protein 2 |
|---|---|
| 背景介绍 | DNA methylation is the major modification of eukaryotic genomes and plays an essential role in mammalian development. Human proteins MECP2, MBD1, MBD2, MBD3, and MBD4 comprise a family of nuclear proteins related by the presence in each of a methyl-CpG binding domain (MBD). Each of these proteins, with the exception of MBD3, is capable of binding specifically to methylated DNA. MECP2, MBD1 and MBD2 can also repress transcription from methylated gene promoters. The protein encoded by this gene may function as a mediator of the biological consequences of the methylation signal. It is also reported that the this protein functions as a demethylase to activate transcription, as DNA methylation causes gene silencing. Two transcript variants encoding different isoforms have been found for this gene. [provided by RefSeq, Feb 2011] |
| 研究领域 | Gene Regulation antibody |
| 预测分子量 | 43 kDa |
检测图片 (4) Click the Picture to Zoom In
-
ARG64093 anti-MBD2 antibody WB image
Western Blot: Jurkat cell lysate (35 µg protein in RIPA buffer) stained with ARG64093 anti-MBD2 (isoform 1) antibody at 0.3 µg/ml dilution.
-
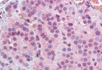
ARG64093 anti-MBD2 antibody IHC-P image
Immunohistochemistry: Paraffin-embedded Human adrenal gland tissue. Antigen Retrieval: Steam tissue section in Citrate buffer (pH 6.0). The tissue section was stained with ARG64093 anti-MBD2 antibody at 2.5 µg/ml dilution followed by AP-staining.
-
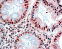
ARG64093 anti-MBD2 antibody IHC-P image
Immunohistochemistry: paraffin embedded Human Colon. (Steamed antigen retrieval with citrate buffer pH 6) stained with ARG64093 anti-MBD2 (isoform 1) antibody at 2.5 µg/ml dilution followed by AP-staining.
-
ARG64093 anti-MBD2 antibody IHC-P image
Immunohistochemistry: Paraffin-embedded Human skin tissue. Antigen Retrieval: Steam tissue section in Citrate buffer (pH 6.0). The tissue section was stained with ARG64093 anti-MBD2 antibody at 2.5 µg/ml dilution followed by AP-staining.
