ARG40405
anti-MAT1A antibody
anti-MAT1A antibody for IHC-Formalin-fixed paraffin-embedded sections,Western blot and Human
概述
| 产品描述 | Rabbit Polyclonal antibody recognizes MAT1A |
|---|---|
| 反应物种 | Hu |
| 预测物种 | Ms, Rat, Cow, Dog, Gpig, Hrs, Rb, Zfsh |
| 应用 | IHC-P, WB |
| 宿主 | Rabbit |
| 克隆 | Polyclonal |
| 同位型 | IgG |
| 靶点名称 | MAT1A |
| 抗原物种 | Human |
| 抗原 | Synthetic peptide around the N-terminal region of Human MAT1A. (within the following region: TSESVGEGHPDKICDQISDAVLDAHLKQDPNAKVACETVCKTGMVLLCGE) |
| 偶联标记 | Un-conjugated |
| 別名 | SAMS1; MAT 1; MAT; Methionine adenosyltransferase I/III; MAT-I/III; Methionine adenosyltransferase 1; MATA1; AdoMet synthase 1; EC 2.5.1.6; SAMS; S-adenosylmethionine synthase isoform type-1 |
应用说明
| 预测反应性说明 | Predicted Homology Based On Immunogen Sequence: Cow: 100%; Dog: 100%; Guinea pig: 100%; Horse: 100%; Mouse: 100%; Rabbit: 100%; Rat: 100%; Zebrafish: 93% | ||||||
|---|---|---|---|---|---|---|---|
| 应用建议 |
|
||||||
| 应用说明 | * The dilutions indicate recommended starting dilutions and the optimal dilutions or concentrations should be determined by the scientist. | ||||||
| 阳性对照 | Jurkat | ||||||
| 实际分子量 | 48 kDa |
属性
| 形式 | Liquid |
|---|---|
| 纯化 | Purification with Protein A. |
| 缓冲液 | PBS, 0.09% (w/v) Sodium azide and 2% Sucrose. |
| 抗菌剂 | 0.09% (w/v) Sodium azide |
| 稳定剂 | 2% Sucrose |
| 浓度 | Batch dependent: 0.5 - 1 mg/ml |
| 存放说明 | For continuous use, store undiluted antibody at 2-8°C for up to a week. For long-term storage, aliquot and store at -20°C or below. Storage in frost free freezers is not recommended. Avoid repeated freeze/thaw cycles. Suggest spin the vial prior to opening. The antibody solution should be gently mixed before use. |
| 注意事项 | For laboratory research only, not for drug, diagnostic or other use. |
生物信息
| 数据库连接 |
Swiss-port # Q00266 Human S-adenosylmethionine synthase isoform type-1 |
|---|---|
| 基因名称 | MAT1A |
| 全名 | methionine adenosyltransferase I, alpha |
| 背景介绍 | This gene catalyzes a two-step reaction that involves the transfer of the adenosyl moiety of ATP to methionine to form S-adenosylmethionine and tripolyphosphate, which is subsequently cleaved to PPi and Pi. S-adenosylmethionine is the source of methyl groups for most biological methylations. The encoded protein is found as a homotetramer (MAT I) or a homodimer (MAT III) whereas a third form, MAT II (gamma), is encoded by the MAT2A gene. Mutations in this gene are associated with methionine adenosyltransferase deficiency. [provided by RefSeq, Jul 2008] |
| 生物功能 | Catalyzes the formation of S-adenosylmethionine from methionine and ATP. [UniProt] |
| 预测分子量 | 44 kDa |
| 翻译后修饰 | S-nitrosylation of Cys-120 inactivates the enzyme. An intrachain disulfide bond can be formed. The protein structure shows that the relevant Cys residues are in a position that would permit formation of a disulfide bond. [UniProt] |
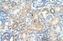
检测图片 (2) Click the Picture to Zoom In
-
ARG40405 anti-MAT1A antibody IHC-P image
Immunohistochemistry: Paraffin-embedded Human kidney (Epithelial cells of renal tubule) stained with ARG40405 anti-MAT1A antibody at 4 - 8 µg/ml dilution.
-
ARG40405 anti-MAT1A antibody WB image
Western blot: Jurkat cell lysate stained with ARG40405 anti-MAT1A antibody at 1.25 µg/ml dilution.
