ARG55951
anti-MART1 / Melan A antibody [M2-9E3]
anti-MART1 / Melan A antibody [M2-9E3] for Flow cytometry,ICC/IF,IHC-Formalin-fixed paraffin-embedded sections,Western blot and Human,Mouse,Rat
概述
| 产品描述 | Mouse Monoclonal antibody [M2-9E3] recognizes MART1 / Melan A |
|---|---|
| 反应物种 | Hu, Ms, Rat |
| 应用 | FACS, ICC/IF, IHC-P, WB |
| 宿主 | Mouse |
| 克隆 | Monoclonal |
| 克隆号 | M2-9E3 |
| 同位型 | IgG2b, kappa |
| 靶点名称 | MART1 / Melan A |
| 抗原物种 | Human |
| 抗原 | Recombinant Human MART-1 protein. |
| 偶联标记 | Un-conjugated |
| 別名 | MART-1; MART1; Protein Melan-A; Antigen SK29-AA; Antigen LB39-AA; Melanoma antigen recognized by T-cells 1 |
应用说明
| 应用建议 |
|
||||||||||
|---|---|---|---|---|---|---|---|---|---|---|---|
| 应用说明 | IHC-P: Antigen Retrieval: Boil tissue section in 10 mM Citrate buffer (pH 6.0) for 10-20 min, followed by cooling at RT for 20 min. * The dilutions indicate recommended starting dilutions and the optimal dilutions or concentrations should be determined by the scientist. |
属性
| 形式 | Liquid |
|---|---|
| 纯化 | Purification with Protein G. |
| 缓冲液 | PBS (pH 7.4), 0.05% Sodium azide and 0.1 mg/ml BSA |
| 抗菌剂 | 0.05% Sodium azide |
| 稳定剂 | 0.1 mg/ml BSA |
| 浓度 | 0.2 mg/ml |
| 存放说明 | For continuous use, store undiluted antibody at 2-8°C for up to a week. For long-term storage, aliquot and store at -20°C or below. Storage in frost free freezers is not recommended. Avoid repeated freeze/thaw cycles. Suggest spin the vial prior to opening. The antibody solution should be gently mixed before use. |
| 注意事项 | For laboratory research only, not for drug, diagnostic or other use. |
生物信息
| 数据库连接 |
Swiss-port # Q16655 Human Melanoma antigen recognized by T-cells 1 |
|---|---|
| 基因名称 | MLANA |
| 全名 | melan-A |
| 生物功能 | Involved in melanosome biogenesis by ensuring the stability of GPR143. Plays a vital role in the expression, stability, trafficking, and processing of melanocyte protein PMEL, which is critical to the formation of stage II melanosomes. [UniProt] |
| 细胞定位 | Cytoplasmic |
| 预测分子量 | 13 kDa |
| 翻译后修饰 | Acylated. |
检测图片 (2) Click the Picture to Zoom In
-
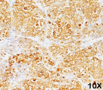
ARG55951 anti-MART1 / Melan A antibody [M2-9E3] IHC-P image
Immunohistochemistry: Formalin-fixed, paraffin-embedded Human melanoma stained with ARG55951 anti-MART1 / Melan A antibody [M2-9E3]. Note cytoplasmic cells.
-
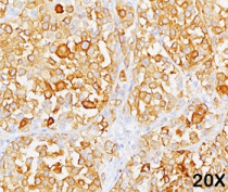
ARG55951 anti-MART1 / Melan A antibody [M2-9E3] IHC-P image
Immunohistochemistry: Formalin-fixed, paraffin-embedded Human melanoma stained with ARG55951 anti-MART1 / Melan A antibody [M2-9E3]. Note cytoplasmic cells.
