ARG44867
anti-MAPRE2 / EB2 antibody
anti-MAPRE2 / EB2 antibody for IHC-Formalin-fixed paraffin-embedded sections,Immunoprecipitation,Western blot and Human,Mouse,Rat,Hamster,Monkey
概述
| 产品描述 | Rat Monoclonal antibody recognizes MAPRE2 / EB2 |
|---|---|
| 反应物种 | Hu, Ms, Rat, Hm, Mk |
| 应用 | IHC-P, IP, WB |
| 宿主 | Rat |
| 克隆 | Monoclonal |
| 同位型 | IgG2b |
| 靶点名称 | MAPRE2 / EB2 |
| 抗原物种 | Mouse |
| 偶联标记 | Un-conjugated |
| 別名 | MAPRE2; Microtubule Associated Protein RP/EB Family Member 2; RP1; EB2; EB1; Microtubule-Associated Protein RP/EB Family Member 2; APC-Binding Protein EB1; APC-Binding Protein EB2; End-Binding Protein 2; T-Cell Activation Protein, EB1 Family; CSCSC2 |
应用说明
| 应用建议 |
|
||||||||
|---|---|---|---|---|---|---|---|---|---|
| 应用说明 | * The dilutions indicate recommended starting dilutions and the optimal dilutions or concentrations should be determined by the scientist. |
属性
| 形式 | Liquid |
|---|---|
| 纯化 | Protein A purification |
| 缓冲液 | PBS with 0.09% sodium azide |
| 抗菌剂 | 0.09% sodium azide |
| 存放说明 | For continuous use, store undiluted antibody at 2-8°C for up to a week. For long-term storage, aliquot and store at -20°C or below. Storage in frost free freezers is not recommended. Avoid repeated freeze/thaw cycles. Suggest spin the vial prior to opening. The antibody solution should be gently mixed before use. |
生物信息
| 数据库连接 | |
|---|---|
| 基因名称 | MAPRE2 |
| 全名 | Microtubule Associated Protein RP/EB Family Member 2 |
| 背景介绍 | The protein encoded by this gene shares significant homology to the adenomatous polyposis coli (APC) protein-binding EB1 gene family. This protein is a microtubule-associated protein that is necessary for spindle symmetry during mitosis. It is thought to play a role in the tumorigenesis of colorectal cancers and the proliferative control of normal cells. Alternative splicing of this gene results in multiple transcript variants. [provided by RefSeq, Jan 2012] |
| 生物功能 | May be involved in microtubule polymerization, and spindle function by stabilizing microtubules and anchoring them at centrosomes. May play a role in cell migration. [UniProt] |
| 细胞定位 | Cytoplasm, Cytoskeleton, Microtubule. [UniProt] |
| 翻译后修饰 | Acetylation, Phosphoprotein. [UniProt] |
检测图片 (3) Click the Picture to Zoom In
-
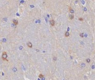
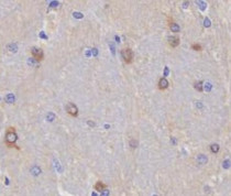
ARG44867 anti-MAPRE1/EB1 antibody IHC-P image
Immunohistochemistry: Mouse brain stained with ARG44867 anti-MAPRE1/EB1 antibody at 5 µg/mL dilution.
-
ARG44867 anti-MAPRE1/EB1 antibody WB image
Western blot: PMA treated Jurkat stained with ARG44867 anti-MAPRE1/EB1 antibody at 1 µg/mL dilution.
-
ARG44867 anti-MAPRE1/EB1 antibody IP image
Immunoprecipitation: KT52 lysate immunoprecipitated with 2.5 µg of ARG44867 anti-MAPRE1/EB1 antibody.
