ARG45469
anti-MAP4K5 antibody
anti-MAP4K5 antibody for ICC/IF,IHC-Formalin-fixed paraffin-embedded sections,Western blot and Human
概述
| 产品描述 | Rabbit Polyclonal antibody recognizes MAP4K5 |
|---|---|
| 反应物种 | Hu |
| 应用 | ICC/IF, IHC-P, WB |
| 宿主 | Rabbit |
| 克隆 | Polyclonal |
| 同位型 | IgG |
| 靶点名称 | MAP4K5 |
| 抗原物种 | Human |
| 抗原 | Synthetic peptide corresponding to N-terminal region of human MAP4K5. |
| 偶联标记 | Un-conjugated |
| 別名 | MAP4K5; Mitogen-Activated Protein Kinase Kinase Kinase Kinase 5; KHS; KHS1; GCKR; MAPK/ERK Kinase Kinase Kinase 5; Kinase Homologous To SPS1/STE20; Germinal Center Kinase-Related; MEK Kinase Kinase 5 |
应用说明
| 应用建议 |
|
||||||||
|---|---|---|---|---|---|---|---|---|---|
| 应用说明 | * The dilutions indicate recommended starting dilutions and the optimal dilutions or concentrations should be determined by the scientist. | ||||||||
| 实际分子量 | 95 kDa |
属性
| 形式 | Liquid |
|---|---|
| 纯化 | Affinity purified |
| 缓冲液 | 0.9% NaCl, 0.2% Na2HPO4, 0.01% Sodium azide and 4% Trehalose. |
| 抗菌剂 | 0.01% Sodium azide |
| 稳定剂 | 4% Trehalose |
| 浓度 | 0.5 mg/ml |
| 存放说明 | For continuous use, store undiluted antibody at 2-8°C for up to a week. For long-term storage, aliquot and store at -20°C or below. Storage in frost free freezers is not recommended. Avoid repeated freeze/thaw cycles. Suggest spin the vial prior to opening. The antibody solution should be gently mixed before use. |
| 注意事项 | For laboratory research only, not for drug, diagnostic or other use. |
生物信息
| 数据库连接 |
Swiss-port # Q9Y4K4 Human Mitogen-activated protein kinase kinase kinase kinase 5 |
|---|---|
| 基因名称 | MAP4K5 |
| 全名 | Mitogen-Activated Protein Kinase Kinase Kinase Kinase 5 |
| 背景介绍 | This gene encodes a member of the serine/threonine protein kinase family, that is highly similar to yeast SPS1/STE20 kinase. Yeast SPS1/STE20 functions near the beginning of the MAP kinase signal cascades that is essential for yeast pheromone response. This kinase was shown to activate Jun kinase in mammalian cells, which suggested a role in stress response. Two alternatively spliced transcript variants encoding the same protein have been described for this gene. |
| 生物功能 | May play a role in the response to environmental stress. Appears to act upstream of the JUN N-terminal pathway. [UniProt] |
| 细胞定位 | Cytoplasm. [UniProt] |
| 预测分子量 | 95 kDa |
| 翻译后修饰 | Phosphoprotein. [UniProt] |
检测图片 (3) Click the Picture to Zoom In
-
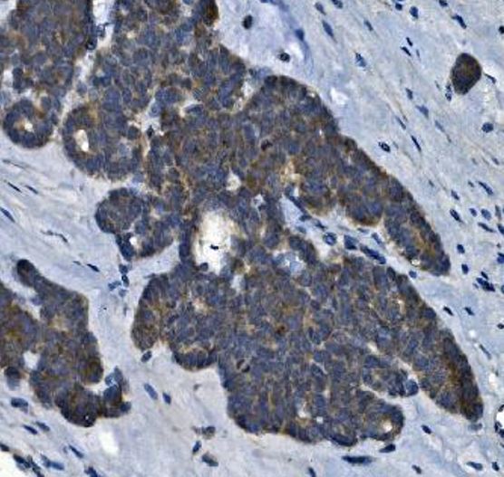
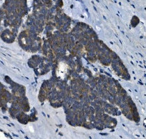
ARG45469 anti-MAP4K5 antibody IHC-P image
Immunohistochemistry: Human ovarian cancer stained with ARG45469 anti-MAP4K5 antibody at 2 μg/ml dilution.
-
ARG45469 anti-MAP4K5 antibody ICC/IF image
Immunofluorescence: A431 stained with ARG45469 anti-MAP4K5 antibody at 5 μg/ml dilution.
-
ARG45469 anti-MAP4K5 antibody WB image
Western blot: Jurkat stained with ARG45469 anti-MAP4K5 antibody at 0.5 μg/ml dilution.
