ARG44228
anti-MAP1S antibody
anti-MAP1S antibody for Flow cytometry,IHC-Formalin-fixed paraffin-embedded sections,Western blot and Human,Mouse,Rat
概述
| 产品描述 | Rabbit Polyclonal antibody recognizes MAP1S |
|---|---|
| 反应物种 | Hu, Ms, Rat |
| 应用 | FACS, IHC-P, WB |
| 宿主 | Rabbit |
| 克隆 | Polyclonal |
| 同位型 | IgG |
| 靶点名称 | MAP1S |
| 抗原物种 | Human |
| 抗原 | Recombinant protein of Human MAP1S |
| 偶联标记 | Un-conjugated |
| Protein Full name | Microtubule-associated protein 1S |
| 別名 | MAP1S; Microtubule Associated Protein 1S; MAP8; BPY2IP1; VCY2IP1; Variable Charge Y Chromosome 2-Interacting Protein 1; Microtubule-Associated Protein 1S; Microtubule-Associated Protein 8; BPY2-Interacting Protein 1; VCY2-Interacting Protein 1; FLJ10669; VCY2IP-1; C19orf5; MAP-1S; Chromosome 19 Open Reading Frame 5; VCY2 Interacting Protein 1; BPY2 Interacting Protein 1; C19ORF5 |
应用说明
| 应用建议 |
|
||||||||
|---|---|---|---|---|---|---|---|---|---|
| 应用说明 | * The dilutions indicate recommended starting dilutions and the optimal dilutions or concentrations should be determined by the scientist. |
属性
| 形式 | Liquid |
|---|---|
| 纯化 | Affinity purification with immunogen. |
| 缓冲液 | 0.9% NaCl, 0.2% Na2HPO4, 0.05% Sodium azide and 5% BSA. |
| 抗菌剂 | 0.05% Sodium azide |
| 稳定剂 | 5% BSA |
| 浓度 | 0.5 mg/ml |
| 存放说明 | For continuous use, store undiluted antibody at 2-8°C for up to a week. For long-term storage, aliquot and store at -20°C or below. Storage in frost free freezers is not recommended. Avoid repeated freeze/thaw cycles. Suggest spin the vial prior to opening. The antibody solution should be gently mixed before use. |
| 注意事项 | For laboratory research only, not for drug, diagnostic or other use. |
生物信息
| 数据库连接 | |
|---|---|
| 基因名称 | MAP1S |
| 全名 | Microtubule Associated Protein 1S |
| 背景介绍 | Enables DNA binding activity and cytoskeletal protein binding activity. Involved in microtubule bundle formation; neuron projection morphogenesis; and regulation of chromatin disassembly. Located in several cellular components, including microtubule cytoskeleton; nuclear lumen; and perinuclear region of cytoplasm. |
| 生物功能 | Microtubule-associated protein that mediates aggregation of mitochondria resulting in cell death and genomic destruction (MAGD). Plays a role in anchoring the microtubule organizing center to the centrosomes. Binds to DNA. Plays a role in apoptosis. Involved in the formation of microtubule bundles. |
| 细胞定位 | Cytoplasm, Cytoskeleton, Microtubule, Nucleus |
| 预测分子量 | 112 kDa |
| 翻译后修饰 | Phosphoprotein |
检测图片 (3) Click the Picture to Zoom In
-
ARG44228 anti-MAP1S antibody WB image
Western blot: Hela, RT4 and HepG2 stained with ARG44228 anti-MAP1S antibody at 0.5 μg/mL dilution.
-
ARG44228 anti-MAP1S antibody IHC-P image
Immunohistochemistry: Rat brain stained with ARG44228 anti-MAP1S antibody at 2 μg/ml dilution.
-
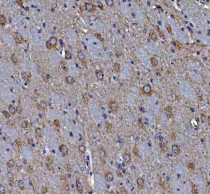
ARG44228 anti-MAP1S antibody IHC-P image
Immunohistochemistry: Mouse brain stained with ARG44228 anti-MAP1S antibody at 2 μg/ml dilution.
