ARG40379
anti-MAOB antibody
anti-MAOB antibody for IHC-Formalin-fixed paraffin-embedded sections,Western blot and Human,Mouse,Rat
概述
| 产品描述 | Rabbit Polyclonal antibody recognizes MAOB |
|---|---|
| 反应物种 | Hu, Ms, Rat |
| 应用 | IHC-P, WB |
| 宿主 | Rabbit |
| 克隆 | Polyclonal |
| 同位型 | IgG |
| 靶点名称 | MAOB |
| 抗原物种 | Human |
| 抗原 | Synthetic peptide corresponding to aa. 448-484 of Human MAOB. (REILHAMGKIPEDEIWQSEPESVDVPAQPITTTFLER) |
| 偶联标记 | Un-conjugated |
| 別名 | MAO-B; Monoamine oxidase type B; Amine oxidase [flavin-containing] B; EC 1.4.3.4 |
应用说明
| 应用建议 |
|
||||||
|---|---|---|---|---|---|---|---|
| 应用说明 | IHC-P: Antigen Retrieval: By heat mediation. * The dilutions indicate recommended starting dilutions and the optimal dilutions or concentrations should be determined by the scientist. |
||||||
| 实际分子量 | ~ 60 kDa |
属性
| 形式 | Liquid |
|---|---|
| 纯化 | Affinity purification with immunogen. |
| 缓冲液 | 0.2% Na2HPO4, 0.9% NaCl, 0.05% Sodium azide and 5% BSA. |
| 抗菌剂 | 0.05% Sodium azide |
| 稳定剂 | 5% BSA |
| 浓度 | 0.5 mg/ml |
| 存放说明 | For continuous use, store undiluted antibody at 2-8°C for up to a week. For long-term storage, aliquot and store at -20°C or below. Storage in frost free freezers is not recommended. Avoid repeated freeze/thaw cycles. Suggest spin the vial prior to opening. The antibody solution should be gently mixed before use. |
| 注意事项 | For laboratory research only, not for drug, diagnostic or other use. |
生物信息
| 数据库连接 | |
|---|---|
| 基因名称 | MAOB |
| 全名 | monoamine oxidase B |
| 背景介绍 | The protein encoded by this gene belongs to the flavin monoamine oxidase family. It is a enzyme located in the mitochondrial outer membrane. It catalyzes the oxidative deamination of biogenic and xenobiotic amines and plays an important role in the metabolism of neuroactive and vasoactive amines in the central nervous sysytem and peripheral tissues. This protein preferentially degrades benzylamine and phenylethylamine. [provided by RefSeq, Jul 2008] |
| 生物功能 | Catalyzes the oxidative deamination of biogenic and xenobiotic amines and has important functions in the metabolism of neuroactive and vasoactive amines in the central nervous system and peripheral tissues. MAOB preferentially degrades benzylamine and phenylethylamine. [UniProt] |
| 细胞定位 | Mitochondrion outer membrane; Single-pass type IV membrane protein; Cytoplasmic side. [UniProt] |
| 预测分子量 | 59 kDa |
检测图片 (5) Click the Picture to Zoom In
-
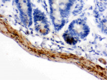
ARG40379 anti-MAOB antibody IHC-P image
Immunohistochemistry: Paraffin-embedded Mouse intestine stained with ARG40379 anti-MAOB antibody.
-
ARG40379 anti-MAOB antibody WB image
Western blot: 50 µg of Rat cardiac muscle, 50 µg of Rat kidney, 50 µg of Rat intestine, 50 µg of Mouse kidney, 50 µg of Mouse intestine, 50 µg of Mouse cardiac muscle, 40 µg of HepG2, 40 µg of HeLa and 40 µg of COLO320 whole cell lysates stained with ARG40379 anti-MAOB antibody at 0.5 µg/ml dilution.
-
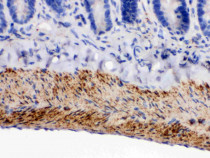
ARG40379 anti-MAOB antibody IHC-P image
Immunohistochemistry: Paraffin-embedded Rat intestine stained with ARG40379 anti-MAOB antibody.
-
ARG40379 anti-MAOB antibody IHC-P image
Immunohistochemistry: Paraffin-embedded Human lung cancer tissue stained with ARG40379 anti-MAOB antibody.
-
ARG40379 anti-MAOB antibody WB image
Western blot: 50 µg of Rat brain and Mouse brain lysates stained with ARG40379 anti-MAOB antibody at 0.5 µg/ml dilution.
