ARG45903
anti-MAML3 antibody
anti-MAML3 antibody for Western blot,IHC-Formalin-fixed paraffin-embedded sections,ICC/IF,Flow cytometry and Human
概述
| 产品描述 | Rabbit Polyclonal antibody recognizes MAML3 |
|---|---|
| 反应物种 | Hu |
| 应用 | FACS, ICC/IF, IHC-P, WB |
| 宿主 | Rabbit |
| 克隆 | Polyclonal |
| 同位型 | IgG |
| 靶点名称 | MAML3 |
| 抗原物种 | Human |
| 抗原 | Recombinant protein containing to human MAML3. |
| 偶联标记 | Un-conjugated |
| 別名 | Mastermind Like Transcriptional Coactivator 3; MAML3; KIAA1816; Mastermind-like protein 3; Mam-3 |
应用说明
| 应用建议 |
|
||||||||||
|---|---|---|---|---|---|---|---|---|---|---|---|
| 应用说明 | * The dilutions indicate recommended starting dilutions and the optimal dilutions or concentrations should be determined by the scientist. | ||||||||||
| 实际分子量 | 140 - 150 kDa |
属性
| 形式 | Liquid |
|---|---|
| 纯化 | Affinity chromatography purified |
| 缓冲液 | 0.2% Na2HPO4, 0.9% NaCl and 4% Trehalose. |
| 稳定剂 | 4% Trehalose |
| 浓度 | 0.5 mg/ml |
| 存放说明 | For continuous use, store undiluted antibody at 2-8°C for up to a week. For long-term storage, aliquot and store at -22°C or below. Storage in frost free freezers is not recommended. Avoid repeated freeze/thaw cycles. Suggest spin the vial prior to opening. The antibody solution should be gently mixed before use. |
| 注意事项 | For laboratory research only, not for drug, diagnostic or other use. |
生物信息
| 数据库连接 | |
|---|---|
| 基因名称 | MAML3 |
| 全名 | Mastermind Like Transcriptional Coactivator 3 |
| 背景介绍 | Enables transcription coactivator activity. Involved in Notch signaling pathway and positive regulation of transcription by RNA polymerase II. Located in nuclear speck. [provided by Alliance of Genome Resources, Feb 2025] |
| 生物功能 | Acts as a transcriptional coactivator for NOTCH proteins. Has been shown to amplify NOTCH-induced transcription of HES1. [UniProt] |
| 细胞定位 | Nucleus. [UniProt] |
| 预测分子量 | 122 kDa |
| 翻译后修饰 | Acetylation. [UniProt] |
检测图片 (4) Click the Picture to Zoom In
-
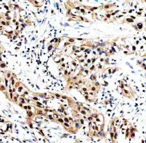
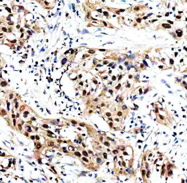
ARG45903 anti-MAML3 antibody IHC-P image
Immunohistochemistry: Human bladder cancer stained with ARG45903 anti-MAML3 antibody at 2 μg/ml dilution.
-
ARG45903 anti-MAML3 antibody ICC/IF image
Immunofluorescence: A549 stained with ARG45903 anti-MAML3 antibody at 5 μg/ml dilution.
-
ARG45903 anti-MAML3 antibody WB image
Western blot: RT4 stained with ARG45903 anti-MAML3 antibody at 0.5 μg/ml dilution.
-
ARG45903 anti-MAML3 antibody FACS image
Flow Cytometry: 293T stained with ARG45903 anti-MAML3 antibody at 1 µg/10^6 cells dilution.
