ARG46278
anti-MACC1 antibody
anti-MACC1 antibody for Western blot,IHC-Formalin-fixed paraffin-embedded sections and Human,Mouse,Rat
概述
| 产品描述 | Rabbit Polyclonal antibody recognizes MACC1 |
|---|---|
| 反应物种 | Hu, Ms, Rat |
| 应用 | IHC-P, WB |
| 宿主 | Rabbit |
| 克隆 | Polyclonal |
| 同位型 | IgG |
| 靶点名称 | MACC1 |
| 抗原物种 | Human |
| 抗原 | A 17 amino acid synthetic peptide within aa. 430 - 480 of human MACC1. |
| 偶联标记 | Un-conjugated |
| 別名 | MACC1; SH3BP4L; 7A5; SH3 domain-containing protein 7a5; Metastasis-associated in colon cancer protein 1 |
应用说明
| 应用建议 |
|
||||||
|---|---|---|---|---|---|---|---|
| 应用说明 | * The dilutions indicate recommended starting dilutions and the optimal dilutions or concentrations should be determined by the scientist. | ||||||
| 实际分子量 | 90 kDa |
属性
| 纯化 | Affinity chromatography purified |
|---|---|
| 缓冲液 | PBS and 0.02% Sodium azide. |
| 抗菌剂 | 0.02% Sodium azide |
| 浓度 | 1 mg/ml |
| 存放说明 | For continuous use, store undiluted antibody at 2-8°C for up to a week. For long-term storage, aliquot and store at -20°C. Storage in frost free freezers is not recommended. Avoid repeated freeze/thaw cycles. Suggest spin the vial prior to opening. The antibody solution should be gently mixed before use. |
| 注意事项 | For laboratory research only, not for drug, diagnostic or other use. |
生物信息
| 数据库连接 |
Swiss-port # Q6ZN28 Human Metastasis-associated in colon cancer protein 1 |
|---|---|
| 基因名称 | MACC1 |
| 全名 | metastasis associated in colon cancer 1 |
| 背景介绍 | MACC1 is a key regulator of the hepatocyte growth factor (HGF; MIM 142409)-HGF receptor (HGFR, or MET; MIM 164860) pathway, which is involved in cellular growth, epithelial-mesenchymal transition, angiogenesis, cell motility, invasiveness, and metastasis. Expression of MACC1 in colon cancer (MIM 114500) specimens is an independent prognostic indicator for metastasis formation and metastasis-free survival (Stein et al., 2009 [PubMed 19098908]).[supplied by OMIM, Mar 2009] |
| 生物功能 | Acts as a transcription activator for MET and as a key regulator of HGF-MET signaling. Promotes cell motility, proliferation and hepatocyte growth factor (HGF)-dependent scattering in vitro and tumor growth and metastasis in vivo. [UniProt] |
| 细胞定位 | Cytoplasm, Nucleus |
| 预测分子量 | 94 kDa |
检测图片 (3) Click the Picture to Zoom In
-
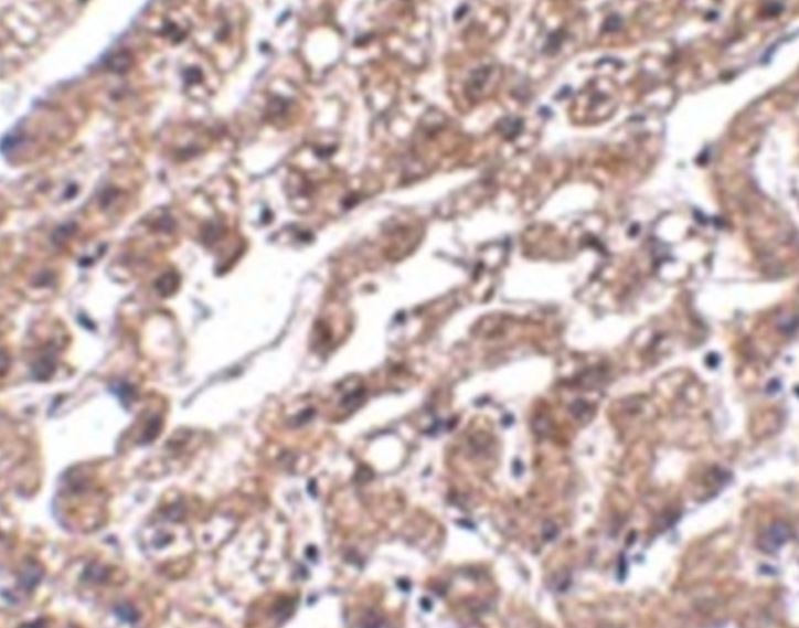
ARG46278 anti-MACC1 antibody IHC-P image
Immunohistochemistry: Human liver stained with ARG46278 anti-MACC1 antibody.
-
ARG46278 anti-MACC1 antibody ICC/IF image
Immunofluorescence: Human liver stained with ARG46278 anti-MACC1 antibody.
-
ARG46278 anti-MACC1 antibody WB image
Western blot: Mouse liver stained with ARG46278 anti-MACC1 antibody.
