ARG56303
anti-Lipoamide Dehydrogenase antibody
anti-Lipoamide Dehydrogenase antibody for IHC-Formalin-fixed paraffin-embedded sections,Western blot and Human,Mouse
概述
| 产品描述 | Rabbit Polyclonal antibody recognizes Lipoamide Dehydrogenase |
|---|---|
| 反应物种 | Hu, Ms |
| 应用 | IHC-P, WB |
| 宿主 | Rabbit |
| 克隆 | Polyclonal |
| 同位型 | IgG |
| 靶点名称 | Lipoamide Dehydrogenase |
| 抗原物种 | Human |
| 抗原 | Recombinant protein of Human Lipoamide Dehydrogenase |
| 偶联标记 | Un-conjugated |
| 別名 | DLDH; LAD; Dihydrolipoamide dehydrogenase; DLDD; PHE3; EC 1.8.1.4; Glycine cleavage system L protein; Dihydrolipoyl dehydrogenase, mitochondrial; GCSL; E3 |
应用说明
| 应用建议 |
|
||||||
|---|---|---|---|---|---|---|---|
| 应用说明 | * The dilutions indicate recommended starting dilutions and the optimal dilutions or concentrations should be determined by the scientist. | ||||||
| 阳性对照 | BT474 |
属性
| 形式 | Liquid |
|---|---|
| 纯化 | Affinity purification with immunogen. |
| 缓冲液 | PBS (pH 7.3), 0.02% Sodium azide and 50% Glycerol. |
| 抗菌剂 | 0.02% Sodium azide |
| 稳定剂 | 50% Glycerol |
| 存放说明 | For continuous use, store undiluted antibody at 2-8°C for up to a week. For long-term storage, aliquot and store at -20°C. Storage in frost free freezers is not recommended. Avoid repeated freeze/thaw cycles. Suggest spin the vial prior to opening. The antibody solution should be gently mixed before use. |
| 注意事项 | For laboratory research only, not for drug, diagnostic or other use. |
生物信息
| 数据库连接 |
Swiss-port # O08749 Mouse Dihydrolipoyl dehydrogenase, mitochondrial Swiss-port # P09622 Human Dihydrolipoyl dehydrogenase, mitochondrial |
|---|---|
| 基因名称 | DLD |
| 全名 | dihydrolipoamide dehydrogenase |
| 背景介绍 | This gene encodes a member of the class-I pyridine nucleotide-disulfide oxidoreductase family. The encoded protein has been identified as a moonlighting protein based on its ability to perform mechanistically distinct functions. In homodimeric form, the encoded protein functions as a dehydrogenase and is found in several multi-enzyme complexes that regulate energy metabolism. However, as a monomer, this protein can function as a protease. Mutations in this gene have been identified in patients with E3-deficient maple syrup urine disease and lipoamide dehydrogenase deficiency. Alternative splicing results in multiple transcript variants. [provided by RefSeq, Jan 2014] |
| 生物功能 | Lipoamide dehydrogenase is a component of the glycine cleavage system as well as of the alpha-ketoacid dehydrogenase complexes. Involved in the hyperactivation of spermatazoa during capacitation and in the spermatazoal acrosome reaction. [UniProt] |
| 预测分子量 | 54 kDa |
| 翻译后修饰 | Tyrosine phosphorylated. |
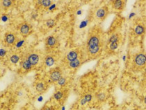
检测图片 (2) Click the Picture to Zoom In
-
ARG56303 anti-Lipoamide Dehydrogenase antibody IHC-P image
Immunohistochemistry: Paraffin-embedded Human liver injury stained with ARG56303 anti-Lipoamide Dehydrogenase antibody at 1:100 dilution.
-
ARG56303 anti-Lipoamide Dehydrogenase antibody WB image
Western blot: BT474 cell lysate stained with ARG56303 anti-Lipoamide Dehydrogenase antibody.
