ARG43041
anti-Leupaxin antibody
anti-Leupaxin antibody for IHC-Formalin-fixed paraffin-embedded sections,Western blot and Human,Mouse,Rat
概述
| 产品描述 | Rabbit Polyclonal antibody recognizes Leupaxin |
|---|---|
| 反应物种 | Hu, Ms, Rat |
| 应用 | IHC-P, WB |
| 宿主 | Rabbit |
| 克隆 | Polyclonal |
| 同位型 | IgG |
| 靶点名称 | Leupaxin |
| 抗原物种 | Human |
| 抗原 | Synthetic peptide corresponding to aa. 115-129 of Human Leupaxin. (KKHLPDKQDHKASLD) |
| 偶联标记 | Un-conjugated |
| 別名 | LDPL; Leupaxin |
应用说明
| 应用建议 |
|
||||||
|---|---|---|---|---|---|---|---|
| 应用说明 | IHC-P: Antigen Retrieval: Heat mediation was performed in Citrate buffer (pH 6.0) for 20 min. * The dilutions indicate recommended starting dilutions and the optimal dilutions or concentrations should be determined by the scientist. |
属性
| 形式 | Liquid |
|---|---|
| 纯化 | Affinity purification with immunogen. |
| 缓冲液 | 0.2% Na2HPO4, 0.9% NaCl, 0.05% Thimerosal, 0.05% Sodium azide and 5% BSA. |
| 抗菌剂 | 0.05% Thimerosal and 0.05% Sodium azide |
| 稳定剂 | 5% BSA |
| 浓度 | 0.5 mg/ml |
| 存放说明 | For continuous use, store undiluted antibody at 2-8°C for up to a week. For long-term storage, aliquot and store at -20°C or below. Storage in frost free freezers is not recommended. Avoid repeated freeze/thaw cycles. Suggest spin the vial prior to opening. The antibody solution should be gently mixed before use. |
| 注意事项 | For laboratory research only, not for drug, diagnostic or other use. |
生物信息
| 数据库连接 | |
|---|---|
| 基因名称 | LPXN |
| 全名 | leupaxin |
| 背景介绍 | The product encoded by this gene is preferentially expressed in hematopoietic cells and belongs to the paxillin protein family. Similar to other members of this focal-adhesion-associated adaptor-protein family, it has four leucine-rich LD-motifs in the N-terminus and four LIM domains in the C-terminus. It may function in cell type-specific signaling by associating with PYK2, a member of focal adhesion kinase family. As a substrate for a tyrosine kinase in lymphoid cells, this protein may also function in, and be regulated by, tyrosine kinase activity. Alternative splicing results in multiple transcript variants encoding distinct isoforms. [provided by RefSeq, Jan 2009] |
| 生物功能 | Transcriptional coactivator for androgen receptor (AR) and serum response factor (SRF). Contributes to the regulation of cell adhesion, spreading and cell migration and acts as a negative regulator in integrin-mediated cell adhesion events. Suppresses the integrin-induced tyrosine phosphorylation of paxillin (PXN). May play a critical role as an adapter protein in the formation of the adhesion zone in osteoclasts. Negatively regulates B-cell antigen receptor (BCR) signaling. [UniProt] |
| 细胞定位 | Cytoplasm. Cell junction, focal adhesion. Nucleus. Cytoplasm, perinuclear region. Cell projection, podosome. Cell membrane. Note=Shuttles between the cytoplasm and nucleus. Recruited to the cell membrane following B-cell antigen receptor (BCR) cross-linking in B-cells. Enhanced focal adhesion kinase activity (PTK2/FAK) attenuates its nuclear accumulation and limits its ability to enhance serum response factor (SRF)-dependent gene transcription. [UniProt] |
| 预测分子量 | 43 kDa |
| 翻译后修饰 | Phosphorylated on tyrosine residues. Phosphorylation on Tyr-72 is important for its inhibitory function. Bombesin stimulates phosphorylation on Tyr-22, Tyr-62 and Tyr-72. [UniProt] |
检测图片 (4) Click the Picture to Zoom In
-
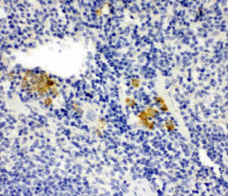
ARG43041 anti-Leupaxin antibody IHC-P image
Immunohistochemistry: Paraffin-embedded Rat spleen tissue stained with ARG43041 anti-Leupaxin antibody.
-
ARG43041 anti-Leupaxin antibody WB image
Western blot: Rat thymus and Jurkat cell lysates stained with ARG43041 anti-Leupaxin antibody.
-
ARG43041 anti-Leupaxin antibody IHC-P image
Immunohistochemistry: Paraffin-embedded Mouse spleen tissue stained with ARG43041 anti-Leupaxin antibody.
-
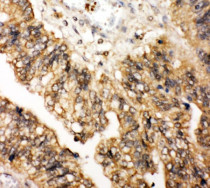
ARG43041 anti-Leupaxin antibody IHC-P image
Immunohistochemistry: Paraffin-embedded Human intestinal cancer tissue. Antigen Retrieval: Heat mediation was performed in Citrate buffer (pH 6.0) for 20 min. The tissue section was blocked with 10% goat serum. The tissue section was then stained with ARG43041 anti-Leupaxin antibody at 1 µg/ml dilution, overnight at 4°C.
