ARG64831
anti-Laforin antibody
anti-Laforin antibody for IHC-Formalin-fixed paraffin-embedded sections,Western blot and Human
Metabolism antibody; Signaling Transduction antibody
概述
| 产品描述 | Goat Polyclonal antibody recognizes Laforin |
|---|---|
| 反应物种 | Hu |
| 预测物种 | Ms, Rat, Cow, Dog |
| 应用 | IHC-P, WB |
| 特异性 | This antibody is expected to recognize isoform a (NP_005661.1) only. |
| 宿主 | Goat |
| 克隆 | Polyclonal |
| 同位型 | IgG |
| 靶点名称 | Laforin |
| 抗原物种 | Human |
| 抗原 | C-EATGHTNEMKHTTD |
| 偶联标记 | Un-conjugated |
| 別名 | Laforin; EPM2; Glucan phosphatase; EC 3.1.3.16; EC 3.1.3.-; Lafora PTPase; LAFPTPase; EC 3.1.3.48; MELF |
应用说明
| 应用建议 |
|
||||||
|---|---|---|---|---|---|---|---|
| 应用说明 | WB: Recommend incubate at RT for 1h. IHC-P: Antigen Retrieval: Steam tissue section in Citrate buffer (pH 6.0). * The dilutions indicate recommended starting dilutions and the optimal dilutions or concentrations should be determined by the scientist. |
属性
| 形式 | Liquid |
|---|---|
| 纯化 | Purified from goat serum by antigen affinity chromatography. |
| 缓冲液 | Tris saline (pH 7.3), 0.02% Sodium azide and 0.5% BSA. |
| 抗菌剂 | 0.02% Sodium azide |
| 稳定剂 | 0.5% BSA |
| 浓度 | 0.5 mg/ml |
| 存放说明 | For continuous use, store undiluted antibody at 2-8°C for up to a week. For long-term storage, aliquot and store at -20°C or below. Storage in frost free freezers is not recommended. Avoid repeated freeze/thaw cycles. Suggest spin the vial prior to opening. The antibody solution should be gently mixed before use. |
| 注意事项 | For laboratory research only, not for drug, diagnostic or other use. |
生物信息
| 数据库连接 | |
|---|---|
| 背景介绍 | This gene encodes a dual-specificity phosphatase that associates with polyribosomes. The encoded protein may be involved in the regulation of glycogen metabolism. Mutations in this gene have been associated with myoclonic epilepsy of Lafora. Alternative splicing results in multiple transcript variants. [provided by RefSeq, Jul 2008] |
| 研究领域 | Metabolism antibody; Signaling Transduction antibody |
| 预测分子量 | 37 kDa |
| 翻译后修饰 | Polyubiquitinated by NHLRC1/malin. Phosphorylation on Ser-25 by AMPK affects the phosphatase activity of the enzyme and its ability to homodimerize and interact with NHLRC1, PPP1R3C or PRKAA2. |
检测图片 (3) Click the Picture to Zoom In
-
ARG64831 anti-Laforin antibody WB image
Western Blot: Human Cerebellum lysate (35 µg protein in RIPA buffer) stained with ARG64831 anti-Laforin (isoform a) antibody at 0.1 µg/ml dilution.
-
ARG64831 anti-Laforin antibody IHC-P image
Immunohistochemistry: Paraffin-embedded Human heart tissue. Antigen Retrieval: Steam tissue section in Citrate buffer (pH 6.0). The tissue section was stained with ARG64831 anti-Laforin antibody at 2.5 µg/ml dilution followed by AP-staining.
-
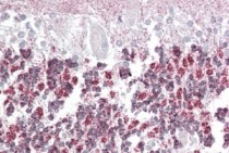
ARG64831 anti-Laforin antibody IHC-P image
Immunohistochemistry: paraffin embedded Human Cerebellum. (Steamed antigen retrieval with citrate buffer pH 6) stained with ARG64831 anti-Laforin (isoform a) antibody at 3.8 µg/ml dilution followed by AP-staining.
