ARG41413
anti-Lactoferrin antibody
anti-Lactoferrin antibody for Flow cytometry,IHC-Formalin-fixed paraffin-embedded sections,Western blot and Human,Mouse,Rat
概述
| 产品描述 | Rabbit Polyclonal antibody recognizes Lactoferrin |
|---|---|
| 反应物种 | Hu, Ms, Rat |
| 应用 | FACS, IHC-P, WB |
| 宿主 | Rabbit |
| 克隆 | Polyclonal |
| 同位型 | IgG |
| 靶点名称 | Lactoferrin |
| 抗原物种 | Human |
| 抗原 | Recombinant protein corresponding to D529-K710 of Human Lactoferrin. |
| 偶联标记 | Un-conjugated |
| 別名 | LF; Lfcin-H; HEL110; Lactoferrin; Lactotransferrin; Growth-inhibiting protein 12; GIG12; Talalactoferrin; EC 3.4.21.-; HLF2 |
应用说明
| 应用建议 |
|
||||||||
|---|---|---|---|---|---|---|---|---|---|
| 应用说明 | IHC-P: Antigen Retrieval: Heat mediation was performed in Citrate buffer (pH 6.0, epitope retrieval solution) for 20 min. * The dilutions indicate recommended starting dilutions and the optimal dilutions or concentrations should be determined by the scientist. |
||||||||
| 实际分子量 | ~ 80 kDa |
属性
| 形式 | Liquid |
|---|---|
| 纯化 | Affinity purification with immunogen. |
| 缓冲液 | 0.2% Na2HPO4, 0.9% NaCl, 0.05% Sodium azide and 4% Trehalose. |
| 抗菌剂 | 0.05% Sodium azide |
| 稳定剂 | 4% Trehalose |
| 浓度 | 0.5 mg/ml |
| 存放说明 | For continuous use, store undiluted antibody at 2-8°C for up to a week. For long-term storage, aliquot and store at -20°C or below. Storage in frost free freezers is not recommended. Avoid repeated freeze/thaw cycles. Suggest spin the vial prior to opening. The antibody solution should be gently mixed before use. |
| 注意事项 | For laboratory research only, not for drug, diagnostic or other use. |
生物信息
| 数据库连接 | |
|---|---|
| 基因名称 | LTF |
| 全名 | lactotransferrin |
| 背景介绍 | This gene is a member of the transferrin family of genes and its protein product is found in the secondary granules of neutrophils. The protein is a major iron-binding protein in milk and body secretions with an antimicrobial activity, making it an important component of the non-specific immune system. The protein demonstrates a broad spectrum of properties, including regulation of iron homeostasis, host defense against a broad range of microbial infections, anti-inflammatory activity, regulation of cellular growth and differentiation and protection against cancer development and metastasis. Antimicrobial, antiviral, antifungal and antiparasitic activity has been found for this protein and its peptides. Alternatively spliced transcript variants encoding different isoforms have been found for this gene. [provided by RefSeq, Sep 2014] |
| 生物功能 | Transferrins are iron binding transport proteins which can bind two Fe(3+) ions in association with the binding of an anion, usually bicarbonate. Lactotransferrin is a major iron-binding and multifunctional protein found in exocrine fluids such as breast milk and mucosal secretions. Has antimicrobial activity, which depends on the extracellular cation concentration. Antimicrobial properties include bacteriostasis, which is related to its ability to sequester free iron and thus inhibit microbial growth, as well as direct bactericidal properties leading to the release of lipopolysaccharides from the bacterial outer membrane. Can also prevent bacterial biofilm development in P.aeruginosa infection. Has weak antifungal activity against C.albicans. Has anabolic, differentiating and anti-apoptotic effects on osteoblasts and can also inhibit osteoclastogenesis, possibly playing a role in the regulation of bone growth. Promotes binding of species C adenoviruses to epithelial cells, promoting adenovirus infection. Can inhibit papillomavirus infections. Stimulates the TLR4 signaling pathway leading to NF-kappa-B activation and subsequent pro-inflammatory cytokine production while also interfering with the lipopolysaccharide (LPS)-stimulated TLR4 signaling. Inhibits neutrophil granulocyte migration to sites of apoptosis, when secreted by apoptotic cells. Stimulates VEGFA-mediated endothelial cell migration and proliferation. Binds heparin, chondroitin sulfate and possibly other glycosaminoglycans (GAGs). Also binds specifically to pneumococcal surface protein A (pspA), the lipid A portion of bacterial lipopolysaccharide (LPS), lysozyme and DNA. Lactoferricin binds to the bacterial surface and is crucial for the bactericidal functions. Has some antiviral activity against papillomavirus infection. N-terminal region shows strong antifungal activity against C.albicans. Contains two BBXB heparin-binding consensus sequences that appear to form the predominate functional GAG-binding site. Kaliocin-1 has antimicrobial activity and is able to permeabilize different ions through liposomal membranes. Lactoferroxins A, B and C have opioid antagonist activity. Lactoferroxin A shows preference for mu-receptors, while lactoferroxin B and C have somewhat higher degrees of preference for kappa-receptors than for mu-receptors. The lactotransferrin transferrin-like domain 1 functions as a serine protease of the peptidase S60 family that cuts arginine rich regions. This function contributes to the antimicrobial activity. Isoform DeltaLf: transcription factor with antiproliferative properties and ability to induce cell cycle arrest. Binds to the DeltaLf response element found in the SKP1, BAX, DCPS, and SELH promoters. [UniProt] |
| 细胞定位 | Isoform 1: Secreted. Cytoplasmic granule. Note=Secreted into most exocrine fluids by various endothelial cells. Stored in the secondary granules of neutrophils. Isoform DeltaLf: Cytoplasm. Nucleus. Note=Mainly localized in the cytoplasm. [UniProt] |
| 预测分子量 | 78 kDa |
| 翻译后修饰 | Isoform DeltaLf: Ubiquitinated at Lys-379 and Lys-391. Poly-N-acetyllactosaminic carbohydrate moiety seems to be needed for TLR4 activation. [UniProt] |
检测图片 (6) Click the Picture to Zoom In
-
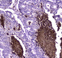
ARG41413 anti-Lactoferrin antibody IHC-P image
Immunohistochemistry: Paraffin-embedded Human intestinal cancer tissue. Antigen Retrieval: Heat mediation was performed in Citrate buffer (pH 6.0, epitope retrieval solution) for 20 min. The tissue section was blocked with 10% goat serum. The tissue section was then stained with ARG41413 anti-Lactoferrin antibody at 2 µg/ml dilution, overnight at 4°C.
-
ARG41413 anti-Lactoferrin antibody WB image
Western blot: 50 µg of samples under reducing conditions. Human placenta, Rat spleen and Mouse spleen lysates stained with ARG41413 anti-Lactoferrin antibody at 0.5 µg/ml dilution, overnight at 4°C.
-
ARG41413 anti-Lactoferrin antibody FACS image
Flow Cytometry: SiHa cells were blocked with 10% normal goat serum and then stained with ARG41413 anti-Lactoferrin antibody (blue) at 1 µg/10^6 cells for 30 min at 20°C, followed by incubation with DyLight®488 labelled secondary antibody. Isotype control antibody (green) was Rabbit IgG (1 µg/10^6 cells) used under the same conditions. Unlabelled sample (red) was also used as a control.
-
ARG41413 anti-Lactoferrin antibody IHC-P image
Immunohistochemistry: Paraffin-embedded Human lung cancer tissue. Antigen Retrieval: Heat mediation was performed in Citrate buffer (pH 6.0, epitope retrieval solution) for 20 min. The tissue section was blocked with 10% goat serum. The tissue section was then stained with ARG41413 anti-Lactoferrin antibody at 2 µg/ml dilution, overnight at 4°C.
-
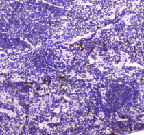
ARG41413 anti-Lactoferrin antibody IHC-P image
Immunohistochemistry: Paraffin-embedded Mouse spleen tissue. Antigen Retrieval: Heat mediation was performed in Citrate buffer (pH 6.0, epitope retrieval solution) for 20 min. The tissue section was blocked with 10% goat serum. The tissue section was then stained with ARG41413 anti-Lactoferrin antibody at 2 µg/ml dilution, overnight at 4°C.
-
ARG41413 anti-Lactoferrin antibody IHC-P image
Immunohistochemistry: Paraffin-embedded Human prostatic cancer tissue. Antigen Retrieval: Heat mediation was performed in Citrate buffer (pH 6.0, epitope retrieval solution) for 20 min. The tissue section was blocked with 10% goat serum. The tissue section was then stained with ARG41413 anti-Lactoferrin antibody at 1 µg/ml dilution, overnight at 4°C.
