ARG44432
anti-LYPLA1 antibody
anti-LYPLA1 antibody for Flow cytometry,IHC-Formalin-fixed paraffin-embedded sections,Western blot and Human,Mouse,Rat
概述
| 产品描述 | Rabbit Polyclonal antibody recognizes LYPLA1 |
|---|---|
| 反应物种 | Hu, Ms, Rat |
| 应用 | FACS, IHC-P, WB |
| 宿主 | Rabbit |
| 克隆 | Polyclonal |
| 同位型 | IgG |
| 靶点名称 | LYPLA1 |
| 抗原物种 | Human |
| 抗原 | Human LYPLA1 recombinant protein |
| 偶联标记 | Un-conjugated |
| 別名 | LYPLA1; Lysophospholipase 1; APT-1; LPL1; Acyl-Protein Thioesterase 1; Lysophospholipase I; Palmitoyl-Protein Hydrolase; LysoPLA I; LPL-I; HAPT1; APT1 |
应用说明
| 应用建议 |
|
||||||||
|---|---|---|---|---|---|---|---|---|---|
| 应用说明 | The dilutions indicate recommended starting dilutions and the optimal dilutions or concentrations should be determined by the scientist. |
属性
| 形式 | Liquid |
|---|---|
| 纯化 | Affinity purified with Immunogen. |
| 缓冲液 | 0.9% NaCl, 0.2% Na2HPO4, 0.05% Sodium azide and 4% Trehalose. |
| 抗菌剂 | 0.05% Sodium azide |
| 稳定剂 | 4% Trehalose |
| 浓度 | 0.5 mg/ml |
| 存放说明 | For continuous use, store undiluted antibody at 2-8°C for up to a week. For long-term storage, aliquot and store at -20°C or below. Storage in frost free freezers is not recommended. Avoid repeated freeze/thaw cycles. Suggest spin the vial prior to opening. The antibody solution should be gently mixed before use. |
| 注意事项 | For laboratory research only, not for drug, diagnostic or other use. |
生物信息
| 数据库连接 | |
|---|---|
| 基因名称 | LYPLA1 |
| 全名 | Lysophospholipase 1 |
| 背景介绍 | This gene encodes a member of the alpha/beta hydrolase superfamily. The encoded protein functions as a homodimer, exhibiting both depalmitoylating as well as lysophospholipase activity, and may be involved in Ras localization and signaling. Alternate splicing results in multiple transcript variants. Pseudogenes of this gene have been defined on chromosomes 4, 6, and 7. |
| 生物功能 | Acts as a acyl-protein thioesterase. |
| 细胞定位 | Cell membrane, Cytoplasm, Endoplasmic reticulum, Membrane, Nucleus |
| 预测分子量 | 25 kDa |
| 翻译后修饰 | Acetylation |
检测图片 (5) Click the Picture to Zoom In
-
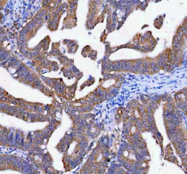
ARG44432 anti-LYPLA1 antibody IHC-P image
Immunohistochemistry: Human rectum adenocarcinoma stained with ARG44432 anti-LYPLA1 antibody at 2 μg/mL dilution.
-
ARG44432 anti-LYPLA1 antibody WB image
Western blot: K562, HEL and RT4 stained with ARG44432 anti-LYPLA1 antibody at 0.5 μg/mL dilution.
-
ARG44432 anti-LYPLA1 antibody FACS image
Flow Cytometry: HEL stained with ARG44432 anti-LYPLA1 antibody at 1 μg/10^6 cells dilution.
-
ARG44432 anti-LYPLA1 antibody WB image
Western blot: Rat live stained with ARG44432 anti-LYPLA1 antibody at 0.5 μg/mL dilution.
-
ARG44432 anti-LYPLA1 antibody WB image
Western blot: Mouse live stained with ARG44432 anti-LYPLA1 antibody at 0.5 μg/mL dilution.
