ARG41236
anti-LY86 / MD1 antibody
anti-LY86 / MD1 antibody for IHC-Formalin-fixed paraffin-embedded sections,Western blot and Human
概述
| 产品描述 | Rabbit Polyclonal antibody recognizes LY86 / MD1 |
|---|---|
| 反应物种 | Hu |
| 应用 | IHC-P, WB |
| 宿主 | Rabbit |
| 克隆 | Polyclonal |
| 同位型 | IgG |
| 靶点名称 | LY86 / MD1 |
| 抗原物种 | Human |
| 抗原 | A 14 amino acid synthetic peptide within the last 50 amino acids of Human LY86 / MD1. |
| 偶联标记 | Un-conjugated |
| 別名 | dJ80N2.1; Ly-86; Lymphocyte antigen 86; Protein MD-1; MD-1; MD1; MMD-1 |
应用说明
| 应用建议 |
|
||||||
|---|---|---|---|---|---|---|---|
| 应用说明 | * The dilutions indicate recommended starting dilutions and the optimal dilutions or concentrations should be determined by the scientist. | ||||||
| 阳性对照 | Daudi |
属性
| 形式 | Liquid |
|---|---|
| 纯化 | Affinity purification with immunogen. |
| 缓冲液 | PBS and 0.02% Sodium azide. |
| 抗菌剂 | 0.02% Sodium azide |
| 浓度 | 1 mg/ml |
| 存放说明 | For continuous use, store undiluted antibody at 2-8°C for up to a week. For long-term storage, aliquot and store at -20°C or below. Storage in frost free freezers is not recommended. Avoid repeated freeze/thaw cycles. Suggest spin the vial prior to opening. The antibody solution should be gently mixed before use. |
| 注意事项 | For laboratory research only, not for drug, diagnostic or other use. |
生物信息
| 数据库连接 | |
|---|---|
| 基因名称 | LY86 |
| 全名 | lymphocyte antigen 86 |
| 生物功能 | May cooperate with CD180 and TLR4 to mediate the innate immune response to bacterial lipopolysaccharide (LPS) and cytokine production. Important for efficient CD180 cell surface expression (By similarity). [UniProt] |
| 细胞定位 | Secreted, extracellular space. Note=Associated with CD180 at the cell surface. [UniProt] |
| 预测分子量 | 18 kDa |
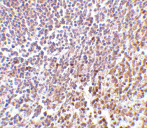
检测图片 (2) Click the Picture to Zoom In
-
ARG41236 anti-LY86 / MD1 antibody IHC-P image
Immunohistochemistry: Paraffin-embedded Human spleen tissue stained with ARG41236 anti-LY86 / MD1 antibody at 2 µg/ml dilution.
-
ARG41236 anti-LY86 / MD1 antibody WB image
Western blot: Daudi cell lysate stained with ARG41236 anti-LY86 / MD1 antibody at 0.5, 1 and 2 µg/ml dilution.
