ARG45203
anti-LSM7 antibody
anti-LSM7 antibody for Flow cytometry,ICC/IF,IHC-Formalin-fixed paraffin-embedded sections,Western blot and Human,Mouse,Rat
概述
| 产品描述 | Rabbit Polyclonal antibody recognizes LSM7 |
|---|---|
| 反应物种 | Hu, Ms, Rat |
| 应用 | FACS, ICC/IF, IHC-P, WB |
| 宿主 | Rabbit |
| 克隆 | Polyclonal |
| 同位型 | IgG |
| 靶点名称 | LSM7 |
| 抗原物种 | Human |
| 抗原 | Recombinant protein containing to human LSM7. |
| 偶联标记 | Un-conjugated |
| 別名 | LSM7; LSM7 Homolog, U6 Small Nuclear RNA And MRNA Degradation Associated ; YER146W; U6 SnRNA-Associated Sm-Like Protein LSm5; LSM5 Homolog, U6 Small Nuclear RNA Associated (S. Cerevisiae); LSM5 U6; Small Nuclear RNA And MRNA Degradation Associated; LSM5 Homolog, U6 Small Nuclear RNA Associated |
应用说明
| 应用建议 |
|
||||||||||
|---|---|---|---|---|---|---|---|---|---|---|---|
| 应用说明 | * The dilutions indicate recommended starting dilutions and the optimal dilutions or concentrations should be determined by the scientist. | ||||||||||
| 实际分子量 | 12 kDa |
属性
| 形式 | Liquid |
|---|---|
| 纯化 | Affinity purification with immunogen. |
| 缓冲液 | 0.9% NaCl, 0.2% Na2HPO4, 0.01% Sodium azide and 4% Trehalose. |
| 抗菌剂 | 0.01% Sodium azide |
| 稳定剂 | 4% Trehalose |
| 浓度 | 0.5 mg/ml |
| 存放说明 | For continuous use, store undiluted antibody at 2-8°C for up to a week. For long-term storage, aliquot and store at -20°C or below. Storage in frost free freezers is not recommended. Avoid repeated freeze/thaw cycles. Suggest spin the vial prior to opening. The antibody solution should be gently mixed before use. |
| 注意事项 | For laboratory research only, not for drug, diagnostic or other use. |
生物信息
| 数据库连接 |
Swiss-port # Q9CQQ8 Mouse U6 snRNA-associated Sm-like protein LSm7 Swiss-port # Q9UK45 Human U6 snRNA-associated Sm-like protein LSm7 |
|---|---|
| 基因名称 | LSM7 |
| 全名 | LSM7 Homolog, U6 Small Nuclear RNA And MRNA Degradation Associated |
| 背景介绍 | Sm-like proteins were identified in a variety of organisms based on sequence homology with the Sm protein family (see SNRPD2; MIM 601061). Sm-like proteins contain the Sm sequence motif, which consists of 2 regions separated by a linker of variable length that folds as a loop. The Sm-like proteins are thought to form a stable heteromer present in tri-snRNP particles, which are important for pre-mRNA splicing.[supplied by OMIM, Apr 2004] |
| 生物功能 | Plays a role in pre-mRNA splicing as component of the U4/U6-U5 tri-snRNP complex that is involved in spliceosome assembly, and as component of the precatalytic spliceosome (spliceosome B complex). [UniProt] |
| 细胞定位 | Nucleus. [UniProt] |
| 预测分子量 | 12 kDa |
| 翻译后修饰 | Acetylation. [UniProt] |
检测图片 (8) Click the Picture to Zoom In
-
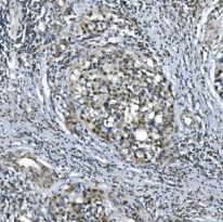
ARG45203 anti-LSM7 antibody IHC-P image
Immunohistochemistry: Human bladder cancer stained with ARG45203 anti-LSM7 antibody at 2 μg/ml dilution.
-
ARG45203 anti-LSM7 antibody ICC/IF image
Immunofluorescence: MCF-7 stained with ARG45203 anti-LSM7 antibody at 5 ug/ml dilution.
-
ARG45203 anti-LSM7 antibody WB image
Western blot: MCF-7, Jurkat, and Raji stained with ARG45203 anti-LSM7 antibody at 0.5 μg/ml dilution.
-
ARG45203 anti-LSM7 antibody FACS image
Flow Cytometry: A431 stained with ARG45203 anti-LSM7 antibody at 1 µg/10^6 cells dilution.
-
ARG45203 anti-LSM7 antibody IHC-P image
Immunohistochemistry: Rat brain stained with ARG45203 anti-LSM7 antibody at 2 μg/ml dilution.
-
ARG45203 anti-LSM7 antibody WB image
Western blot: Rat brain stained with ARG45203 anti-LSM7 antibody at 0.5 μg/ml dilution.
-
ARG45203 anti-LSM7 antibody IHC-P image
Immunohistochemistry: Mouse brain stained with ARG45203 anti-LSM7 antibody at 2 μg/ml dilution.
-
ARG45203 anti-LSM7 antibody WB image
Western blot: Mouse brain stained with ARG45203 anti-LSM7 antibody at 0.5 μg/ml dilution.
