ARG44420
anti-LRRN4 antibody
anti-LRRN4 antibody for Flow cytometry,ICC/IF,IHC-Formalin-fixed paraffin-embedded sections,Western blot and Human
概述
| 产品描述 | Rabbit Polyclonal antibody recognizes LRRN4 |
|---|---|
| 反应物种 | Hu |
| 应用 | FACS, ICC/IF, IHC-P, WB |
| 宿主 | Rabbit |
| 克隆 | Polyclonal |
| 同位型 | IgG |
| 靶点名称 | LRRN4 |
| 抗原物种 | Human |
| 抗原 | Human LRRN4 recombinant protein (aa. sequence: H125-R656). |
| 偶联标记 | Un-conjugated |
| 別名 | LRRN4; Leucine Rich Repeat Neuronal 4; DJ1056H1.1; C20orf75; NLRR4; Leucine-Rich Repeat Neuronal Protein 4; Neuronal Leucine-Rich Repeat Protein 4; NLRR-4; Chromosome 20 Open Reading Frame 75 |
应用说明
| 应用建议 |
|
||||||||||
|---|---|---|---|---|---|---|---|---|---|---|---|
| 应用说明 | The dilutions indicate recommended starting dilutions and the optimal dilutions or concentrations should be determined by the scientist. |
属性
| 形式 | Liquid |
|---|---|
| 纯化 | Affinity purified with Immunogen. |
| 缓冲液 | 0.9% NaCl, 0.2% Na2HPO4, 0.05% Sodium azide and 4% Trehalose. |
| 抗菌剂 | 0.05% Sodium azide |
| 稳定剂 | 4% Trehalose |
| 浓度 | 0.5 mg/ml |
| 存放说明 | For continuous use, store undiluted antibody at 2-8°C for up to a week. For long-term storage, aliquot and store at -20°C or below. Storage in frost free freezers is not recommended. Avoid repeated freeze/thaw cycles. Suggest spin the vial prior to opening. The antibody solution should be gently mixed before use. |
| 注意事项 | For laboratory research only, not for drug, diagnostic or other use. |
生物信息
| 数据库连接 |
Swiss-port # Q8WUT4 Human Leucine-rich repeat neuronal protein 4 |
|---|---|
| 基因名称 | LRRN4 |
| 全名 | Leucine Rich Repeat Neuronal 4 |
| 背景介绍 | Predicted to be involved in long-term memory. Predicted to act upstream of or within visual learning. Located in extracellular exosome. |
| 生物功能 | May play an important role in hippocampus-dependent long-lasting memory. |
| 细胞定位 | Membrane |
| 预测分子量 | 79 kDa |
| 翻译后修饰 | Glycoprotein |
检测图片 (4) Click the Picture to Zoom In
-
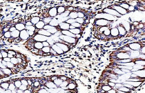
ARG44420 anti-LRRN4 antibody IHC-P image
Immunohistochemistry: Human colorectal adenocarcinoma stained with ARG44420 anti-LRRN4 antibody at 2 μg/mL dilution.
-
ARG44420 anti-LRRN4 antibody ICC/IF image
Immunofluorescence: U2OS stained with ARG44420 anti-LRRN4 antibody at 5 μg/mL dilution.
-
ARG44420 anti-LRRN4 antibody WB image
Western blot: Caco-2 and U20S stained with ARG44420 anti-LRRN4 antibody at 0.5 μg/mL dilution.
-
ARG44420 anti-LRRN4 antibody FACS image
Flow Cytometry: U20S stained with ARG44420 anti-LRRN4 antibody at 1 μg/10^6 cells dilution.
