ARG44418
anti-LRRC75B antibody
anti-LRRC75B antibody for Flow cytometry,IHC-Formalin-fixed paraffin-embedded sections,Western blot and Human,Mouse,Rat
概述
| 产品描述 | Rabbit Polyclonal antibody recognizes LRRC75B |
|---|---|
| 反应物种 | Hu, Ms, Rat |
| 应用 | FACS, IHC-P, WB |
| 宿主 | Rabbit |
| 克隆 | Polyclonal |
| 同位型 | IgG |
| 靶点名称 | LRRC75B |
| 抗原物种 | Human |
| 抗原 | Human LRRC75B recombinant protein (aa. sequence: Q59-E283). |
| 偶联标记 | Un-conjugated |
| 別名 | LRRC75B; Leucine Rich Repeat Containing 75B; C22orf36; FAM211B; Leucine-Rich Repeat-Containing Protein FAM211B; Family With Sequence Similarity 211, Member B; Leucine-Rich Repeat-Containing Protein 75B |
应用说明
| 应用建议 |
|
||||||||
|---|---|---|---|---|---|---|---|---|---|
| 应用说明 | The dilutions indicate recommended starting dilutions and the optimal dilutions or concentrations should be determined by the scientist. |
属性
| 形式 | Liquid |
|---|---|
| 纯化 | Affinity purified with Immunogen. |
| 缓冲液 | 0.9% NaCl, 0.2% Na2HPO4, 0.05% Sodium azide and 4% Trehalose. |
| 抗菌剂 | 0.05% Sodium azide |
| 稳定剂 | 4% Trehalose |
| 浓度 | 0.5 mg/ml |
| 存放说明 | For continuous use, store undiluted antibody at 2-8°C for up to a week. For long-term storage, aliquot and store at -20°C or below. Storage in frost free freezers is not recommended. Avoid repeated freeze/thaw cycles. Suggest spin the vial prior to opening. The antibody solution should be gently mixed before use. |
| 注意事项 | For laboratory research only, not for drug, diagnostic or other use. |
生物信息
| 数据库连接 |
Swiss-port # Q2VPJ9 Human Leucine-rich repeat-containing protein 75B Swiss-port # Q7TPD7 Mouse Leucine-rich repeat-containing protein 75B |
|---|---|
| 基因名称 | LRRC75B |
| 全名 | Leucine Rich Repeat Containing 75B |
| 背景介绍 | Predicted to be active in cytoplasm. |
| 生物功能 | May suppress myogenic differentiation by modulating MYOG expression and Erk1/2 signaling. |
| 预测分子量 | 35 kDa |
检测图片 (5) Click the Picture to Zoom In
-
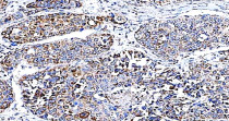
ARG44418 anti-LRRC75B antibody IHC-P image
Immunohistochemistry: Human liver cancer stained with ARG44418 anti-LRRC75B antibody at 2 μg/mL dilution.
-
ARG44418 anti-LRRC75B antibody WB image
Western blot: HepG2 and SH-SY5Y stained with ARG44418 anti-LRRC75B antibody at 0.5 μg/mL dilution.
-
ARG44418 anti-LRRC75B antibody FACS image
Flow Cytometry: PC-3 stained with ARG44418 anti-LRRC75B antibody at 1 μg/10^6 cells dilution.
-
ARG44418 anti-LRRC75B antibody WB image
Western blot: C6 stained with ARG44418 anti-LRRC75B antibody at 0.5 μg/mL dilution.
-
ARG44418 anti-LRRC75B antibody WB image
Western blot: Neuro-2a stained with ARG44418 anti-LRRC75B antibody at 0.5 μg/mL dilution.
