ARG54850
anti-LPAR2 / EDG4 antibody
anti-LPAR2 / EDG4 antibody for IHC-Formalin-fixed paraffin-embedded sections,Western blot and Human
Gene Regulation antibody; Signaling Transduction antibody
概述
| 产品描述 | Rabbit Polyclonal antibody recognizes LPAR2 / EDG4 |
|---|---|
| 反应物种 | Hu |
| 预测物种 | Mk |
| 应用 | IHC-P, WB |
| 宿主 | Rabbit |
| 克隆 | Polyclonal |
| 同位型 | IgG |
| 靶点名称 | LPAR2 / EDG4 |
| 抗原物种 | Human |
| 抗原 | KLH-conjugated synthetic peptide corresponding to aa. 3-32 (N-terminus) of Human EDG4. |
| 偶联标记 | Un-conjugated |
| 別名 | LPA2; EDG4; Lysophosphatidic acid receptor Edg-4; EDG-4; Lysophosphatidic acid receptor 2; LPA receptor 2; LPA-2 |
应用说明
| 应用建议 |
|
||||||
|---|---|---|---|---|---|---|---|
| 应用说明 | * The dilutions indicate recommended starting dilutions and the optimal dilutions or concentrations should be determined by the scientist. | ||||||
| 阳性对照 | MDA-MB-231 |
属性
| 形式 | Liquid |
|---|---|
| 纯化 | Purification with Protein G. |
| 缓冲液 | PBS and 0.09% (W/V) Sodium azide |
| 抗菌剂 | 0.09% (W/V) Sodium azide |
| 存放说明 | For continuous use, store undiluted antibody at 2-8°C for up to a week. For long-term storage, aliquot and store at -20°C or below. Storage in frost free freezers is not recommended. Avoid repeated freeze/thaw cycles. Suggest spin the vial prior to opening. The antibody solution should be gently mixed before use. |
| 注意事项 | For laboratory research only, not for drug, diagnostic or other use. |
生物信息
| 数据库连接 | |
|---|---|
| 基因名称 | LPAR2 |
| 全名 | lysophosphatidic acid receptor 2 |
| 背景介绍 | This gene encodes a member of family I of the G protein-coupled receptors, as well as the EDG family of proteins. This protein functions as a lysophosphatidic acid (LPA) receptor and contributes to Ca2+ mobilization, a critical cellular response to LPA in cells, through association with Gi and Gq proteins. An alternative splice variant has been described but its full length sequence has not been determined. [provided by RefSeq, Jul 2008] |
| 生物功能 | Receptor for lysophosphatidic acid (LPA), a mediator of diverse cellular activities. Seems to be coupled to the G(i)/G(o), G(12)/G(13), and G(q) families of heteromeric G proteins. Plays a key role in phospholipase C-beta (PLC-beta) signaling pathway. Stimulates phospholipase C (PLC) activity in a manner that is independent of RALA activation. [UniProt] |
| 细胞定位 | Cell surface. Cell membrane; Multi-pass membrane protein. Note=Prior to LPA treatment found predominantly at the cell surface but in the presence of LPA colocalizes with RALA in the endocytic vesicles |
| 研究领域 | Gene Regulation antibody; Signaling Transduction antibody |
| 预测分子量 | 39 kDa |
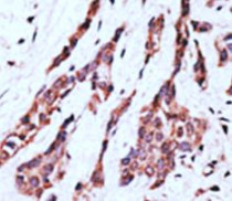
检测图片 (2) Click the Picture to Zoom In
-
ARG54850 anti-LPAR2 / EDG4 antibody (N-term) IHC-P image
Immunohistochemistry: Formalin-fixed and paraffin-embedded Human breast cancer tissue stained with ARG54850 anti-LPAR2 / EDG4 antibody (N-term).
-
ARG54850 anti-LPAR2 / EDG4 antibody (N-term) WB image
Western blot: 35 µg of MDA-MB-231 cell lysate stained with ARG54850 anti-LPAR2 / EDG4 antibody (N-term) at 1:1000 dilution.
